Covid-19 e risk management, 4 domande ancora senza risposta
Lorenzo Balsano, esperto nella prevenzione delle infezioni crociate in odontoiatria, evidenzia quattro punti chiave nella valutazione del rischio e nella scelta delle misure preventive da adottare negli studi odontoiatrici dopo il lockdown.
ANDI Brescia: la risposta a SIASO sull’uso di DPI nello studio odontoiatrico
Il presidente della sezione di Brescia dell’Associazione Nazionale Dentisti Italiani (ANDI) Giovanni Roveglia e il consigliere Marco Santina hanno deciso di replicare a quanto...
La settimana della formazione online in odontoiatria
Accademia Tecniche Nuove propone 7 giorni di offerte su tutti i corsi FAD presenti nel proprio catalogo formativo: una modalità di formazione a distanza studiata apposta per arricchire il percorso di aggiornamento professionale con i vantaggi e la qualità dei corsi in formato digitale.
Covid-19: la sospensione delle rate dei mutui e dei leasing dei professionisti Premium
L’articolo 56 del Decreto Legge 17 marzo 2020, n.18, dispone per le “attività imprenditoriali danneggiate” delle tutele rispetto ai rapporti in essere con le banche e gli intermediari finanziari, sia per le aperture di credito in conto corrente, i “fidi”, che per altre forme tecniche di prestito, come mutui e leasing.
Iandolo agli odontoiatri: limitate i contatti con i pazienti per prevenire il contagio
Raffaele Iandolo chiede ai dentisti di limitare i trattamenti alle urgenze non rimandabili per aiutare a prevenire il contagio da Coronavirus, e chiede allo Stato di indennizzare i liberi professionisti e aiutare gli studi a mantenere i propri dipendenti.
Coronavirus e studio odontoiatrico, come comportarsi
L'emergenza Covid-19 impone a tutti regole stringenti. In ambito odontoiatrico la raccomandazione è di limitare l’esecuzione delle prestazioni ai pazienti che necessitano di terapie urgenti e non demandabili. In ogni caso, è opportuno seguire le indicazioni basate sulle linee guida rilasciate dalla National Health Commission of the People’s Republic of China e recentemente pubblicate su Nature.
Sono le misure messe in atto in Cina, dove il contagio è iniziato e dove oggi la vita sta gradualmente tornando alla normalità.
Impatto dell’epidemia Covid-19 sulla fornitura di medicinali, le misure dell’Ema
L'Agenzia europea del farmaco e le agenzie regolatorie nazionali si sono attivate per monitorare il potenziale impatto del focolaio sulle catene di approvvigionamento dei farmaci in Ue
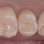
Cementazione: non è solo questione di chimica Premium
La presenza sul mercato dentale di innumerevoli prodotti per la cementazione rende a volta difficile la scelta del cemento ottimale, soprattutto se non si sanno interpretare correttamente errori e fallimenti. Ecco tutto quel che c’è da sapere (o quasi) su questo tema di grande interesse.
Coronavirus, le regole (6+1) per tener aperto lo studio in sicurezza
Resta alta l'allerta per contenere l'epidemia causata dal coronavirus Covid-19. Lorenzo Balsano, titolare di uno studio odontoiatrico a Pandino, in un territorio al confine con una delle "zone rosse", ha messo in atto nella propria struttura una procedura che, oltre a tener conto delle indicazioni istituzionali, sembra aver posto in primo piano ragionevolezza e senso civico.
Osas in età pediatrica spiegate da una neuropsichiatra infantile
L’approccio multidisciplinare nei confronti della sindrome delle apnee ostruttive del sonno è il migliore, perché permette di affrontare il problema tempestivamente e nella sua vera complessità. Intervista a Silvia Miano, neuropsichiatra infantile e medico esperto in medicina del sonno
Filippo Anelli a Porta a Porta: un grazie a tutti i medici che combattono...
Filippo Anelli, Presidente delle Federazione Nazionale degli Ordini dei Medici Chirurghi e degli Odontoiatri (FNOMCeO) ha partecipato alla puntata di Porta a Porta del 28 febbraio per rassicurare la popolazione e ringraziare i medici
Coronavirus: pubblicate le raccomandazioni alla professione
Sul sito dell’Associazione Nazionale Dentisti Italiani (ANDI) sono state pubblicate le raccomandazioni alla professione per la prevenzione del Coronavirus Covid-19 .











