Trattare la parodontite per ridurre i rischi cardiovascolari
Secondo quanto affermato dai ricercatori della Aston University recenti ricerche suggeriscono che un aumento della mortalità, nelle persone con insufficienza renale cronica, sia collegato...
Nelle caramelle alla lidocaina, il gusto della galenica per gli odontoiatri
La galenica in uno studio odontoiatrico può servire. Per aiutare i pazienti difficili ad accedere alle cure odontoiatriche più semplici, come sono le sedute di igiene orale, infatti, forse può bastare una caramella o un lecca-lecca, alla lidocaina però, e senza zuccheri, realizzata sulla base di una ricetta galenica. È una buona soluzione perché l'odontoiatra ha la facoltà di poter fare prescrizioni magistrali secondo le necessità terapeutiche del paziente.
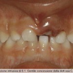
Lussazione intrusiva degli incisivi decidui superiori e sequele dei corrispettivi elementi permanenti
Lussazione intrusiva degli incisivi decidui superiori e sequele dei corrispettivi elementi permanenti: Studio Clinico e Follow-Up
Dott.ssa G.S. Salone
Relatore: Prof. A. Caprioglio
Lo scopo di questo...
Legionella, gli studi odontoiatrici più sicuri delle abitazioni
Il problema "legionella"è ben noto al mondo odontoiatrico che lo ha sempre affrontato con grande attenzione. Gli interventi riconosciuti validi nella riduzione del rischio di trasmissione dell'infezione, così come suggeriscono le linee guida e le norme di igiene, sono la prevenzione della contaminazione della linea idrica del riunito e la disinfezione chimica atta a ridurre la carica batterica presente nel circuito.
Work-flow digitale e analogico in chirurgia ortognatica
La chirurgia ortognatica richiede una valutazione precisa di complesse deformità dentofacciali del distretto cranio-facciale.
Il successo della piano chirurgico non dipende solo dalla...
Rinnovare studio odontoiatrico e strumenti è più facile: maxi ammortamento e bonus fiscale
Per incentivare professionisti ed imprese, la Legge di Stabilità 2016 ha introdotto un maxi ammortamento per gli investimenti in beni strumentali e materiali nuovi...
Legge di Bilancio 2018, le novità per i liberi professionisti
Superammortamento, iperammortamento, equo compenso: queste alcune delle novità fiscali più rilevanti per l'attività dell'odontoiatra introdotte dalla Legge 205/2017. Viene invece posticipata l’entrata in vigore degli ISA (Indici sintetici di affidabilità), che avrebbero dovuto rappresentare un rovesciamento di prospettiva rispetto agli Studi di settore.
Tecnologia per l’igiene dentale: aperto il Kickstarter per un nuovo spazzolino rivoluzionario
La tecnologia in soccorso degli italiani, che lavano i denti poco e male: uno spazzolino elettrico, regolato da un microprocessore, che in 10 secondi...
Ordine dei Medici di Milano e FNOMCeO : no a pubblicità sanitarie che vendono...
Troppa pubblicità in ambito sanitario fa male al paziente, soprattutto quando mira a trasformarlo in semplice cliente, non fornendogli reali informazioni sulle prestazioni, ma...
Manifestazioni orali della celiachia e della sindrome di Sjogren
La sindrome da malassorbimento si accompagna sovente con la sindrome di Sjogren, della quale sembra essere addirittura una delle cause. Questa ricerca, di impronta...
Cure odontoiatriche in gravidanza: importanti per la madre e il bambino
Gengiviti, parodontiti e carie, oltre ad essere disturbi frequenti e fastidiosi per le donne in gravidanza, posso creare problemi anche al nascituro, essendo legate...
Premio per le migliori tesi di laurea in Odontoiatria e Protesi Dentaria
La Casa Editrice Tecniche Nuove bandisce - come ogni anno - un premio per le migliori tesi di laurea in Odontoiatria e Protesi Dentaria...
Risoluzione di malattie infiammatorie e parodontali: aspetti molecolari e implicazioni terapeutiche
L’infiammazione parodontale è una malattia supportata sia da immunità congenita che acquisita ed è associata alla perdita permanente del legamento parodontale, del cemento e...
Laurea in odontoiatria: giovani senza lavoro e stipendi bassi
Una laurea in odontoiatria non garantisce più un impiego immediato. A un anno dalla laurea, quasi il 40% dei dentisti è disoccupato o precario.
Questo...
ANDI: è rischioso vietare l’utilizzo dell’amalgama
Secondo quanto dichiarato dalla Commissione ambiente del Parlamento Europeo, entro il 2023 l’amalgama dentale dovrebbe venire gradualmente eliminata, rispettando così la Convenzione di Minamata...
Jobs Act: le novità che interessano anche gli odontoiatri
E’ stato pubblicato nella Gazzetta Ufficiale di venerdì 13 marzo il decreto legislativo 4 marzo 2015 n. 23 contenente disposizioni in materia di contratto...














