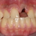
La PRF e EMD nel trattamento dei difetti infraossei parodontali a 2-3 pareti
La Fibrina Ricca di Piastrine (PRF) e Derivato della Matrice dello Smalto (EMD) nel trattamento dei difetti infraossei paradontali a 2-3 pareti: uno studio...
La diagnosi dell’OSAS nel bambino
La prevalenza dei disordini respiratori del sonno colpisce i bambini in età scolare in una percentuale variabile tra l’1% e il 6%, in funzione dei diversi metodi di valutazione. Il dato è significativo, ma poco conosciuto. Eppure le conseguenze di questa patologia possono essere molto serie, già nell'infanzia, se il disturbo non viene diagnosticato tempestivamente.
Caratteristiche scheletriche e dentali nel paziente con sindrome di Williams – Beuren
Tesi di laurea: Gaia Rosati
Relatore: Efisio Defraia
La sindrome di Williams – Beuren (SWB) è un disordine genetico, con prevalenza stimata tra 1/7500–20000 neonati, dovuta...
Il Decreto di adeguamento al GDPR al vaglio della Commissione UE
Entrerà in vigore il 19 settembre 2018 il Decreto legislativo di adeguamento al GDPR, che va a integrare il Regolamento generale comunitario sulla protezione dei dati personal nei punti in cui veniva lasciato limitato spazio agli Stati Membri, per esempio in materia di trattamento di dati e minori, sanzioni, modalità di operatività delle autorità di controllo.
Utilizzo dell’ozonoterapia nel trattamento delle osteonecrosi da bifosfosnati dei mascellari
Ferrario L.,
Lauritano D.,
Porcaro G.
INTRODUZIONE
Tramite l’utilizzo di ozono sottoforma di gel sono state trattate lesioni osteonecrotiche maxillo-mandibolari in soggetti sottoposti a terapie con...
Ideato un nuovo materiale antibatterico per le otturazioni
Un materiale "intelligente", costituito da nanoparticelle antibatteriche, potrebbe risolvere il problema delle carie ricorrenti, in particolare delle recidive nei bambini e nei soggetti già curati ma evidentemente più suscettibili alla malattia.
Ministero della salute: prestazioni odontoiatriche sotto “stretta osservazione”
Ci sono anche estrazioni e ricostruzioni dentali tra le 208 prestazioni ed esami che finiranno sotto "stretta osservazione" con il provvedimento in preparazione al...
Legame diabete e malattie parodontali: il ruolo del dentista
Il legame tra diabete, malattia parodontale e nutrizione è stato al centro della quarta sessione europea del seminario Joslin-Sunstar Diabetes Education (JSDEI), organizzato dalla...
Congresso internazionale Il Dentista Moderno: vi presentiamo uno dei relatori, Francesca Vailati
Quali saranno i relatori del congresso internazionale Innovazione, sostenibilità e stili di vita, organizzato da "Il Dentista Moderno", che si terrà a Milano il 3...
Traumatologia dentale: le linee guida, preziose come la check-list
Le “Linee Guida Nazionali per la prevenzione e la gestione clinica dei traumi dentali negli individui in età evolutiva”, recentemente aggiornate, sono uno strumento prezioso per gli odontoiatri, ma non solo. A dirlo è Dino Re, presidente della Società italiana di traumatologia dentale.
Comunicare con i pazienti: Spazzolamento con spazzolino manuale
Gli spazzolini da denti sono tutti uguali?
La stragrande maggioranza della popolazione utilizza ogni giorno il comune spazzolino manuale, anche se un numero crescente di...
Decreto sulla trasmissione dei dati tramite il Sistema Tessera Sanitaria: ANDI difende i dentisti
E' una decisione che il Presidente Nazionale ANDI Gianfanco Prada ha definito "folle", quella che verrà discussa dal Consiglio Nazionale ANDI, convocato per sabato...
Odontoiatria e medicina estetica
Sul tema oggetto dell’ultima inchiesta pubblicata su “il dentista moderno”, Pietro di Michele, Presidente nazionale della Società Italiana di Odontoiatria Forense (SIOF), spiega qual...
Enpam: convenzione per rateizzare cure odontoiatriche
Sarà possibile rateizzare le cure odontoiatriche, per agevolare da un lato i pazienti nei pagamenti, e dall'altro costituirà una garanzia aggiuntiva per i dentisti....
Il 75% dei bambini sotto i 5 anni non è mai andato dal dentista
Negli ultimi cinque anni la patologa cariosa ha subito un aumento del 15% in pazienti in età pediatrica. A quanto pare, la colpa andrebbe...
Influenza della velocità rotazionale sulla superelasticità dei file Ni-Ti Mtwo
Dott. Francesco Paolo Pistacchio
Relatore: Prof. Vito Antonio Malagnino
Correlatore: Prof. Domenico Tripodi
Obiettivo
Valutare se la riduzione della velocità rotazionale degli strumenti endodontici Ni-Ti condizioni la risposta...














