Gestione immagini in odontoiatria: come farlo al meglio e in linea con la certificazione...
In campo odontoiatrico, così come in generale in quello medico e sanitario, i progressi della tecnologia sono tasselli importanti soprattutto nell’attività di definizione del...
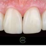
Chirurgia guidata con impianti in zirconia monocomponente Alveoline: case report
Gli impianti in zirconia rappresentano una valida soluzione terapeutica in situazioni specifiche. Le fixture monocomponenti, in particolare, presentano precise indicazioni per raggiungere il successo...
Finanza Agevolata di fine anno: investi sulla tua attività e risparmi
Sei alla ricerca di una soluzione per arginare il caro bollette o ti piacerebbe acquistare un nuovo dispositivo medico utile per migliorare le diagnosi...
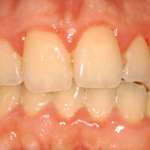
Riabilitazioni estetiche minimamente invasive: il ruolo dell’allineatore trasparente settoriale
L’estetica dentale al giorno d’oggi è sempre più richiesta dai pazienti: il sorriso è un biglietto da visita e bisogna curarne l’immagine. Ecco che...
La Giornata di implantologia mininvasiva 2022 si terrà a Roma il 19 novembre
Il 19 novembre, a Roma, sarà possibile partecipare alla Giornata di implantologia mininvasiva 2022, un approfondito corso teorico-pratico organizzato con il supporto non condizionante...
Produrre video di alta qualità per i tuoi interventi, in tutta semplicità
Per molti odontoiatri riprendere i propri interventi è ormai una prassi: è utile per rivedere i passaggi critici e verificare il proprio operato, per...
Case report: diagnosi e terapia per l’efficienza del tuo studio dentistico
In odontoiatria, lo studio del caso è uno step fondamentale per effettuare una diagnosi corretta, che permette di essere il più efficaci possibili con...
Insieme contro il tumore al seno
Per il secondo anno consecutivo TePe Italia si tinge di rosa e si unisce alla LILT, Lega italiana per la lotta contro i tumori per promuovere...
La salute orale si veste di rosa
Dedicata alle donne che hanno innovato il settore dentale, Curasept 4 WOMEN è la declinazione di Curasept 4, un progetto di ampio respiro che...
Conosci l’efficienza del tuo studio?
Il Controllo di Gestione è un mix di consapevolezza e progettazione che inizia con la raccolta di dati, prosegue con analisi ed elaborazioni e termina con numeri statistici utili alla gestione dello Studio Dentistico. Esistono specifici Indicatori che servono a capire se lo Studio sta lavorando in modo efficiente e profittevole o se, invece, sono presenti delle aree di inefficienza che vanno sistemate e riorganizzate.
Back to Office: l’importanza dell’igiene orale in ufficio
L’igiene orale fuori casa è fondamentale, ma purtroppo è spesso percepita dai pazienti come un ulteriore aggravio ai doveri della giornata. I dati lo...
Risparmiare pagando in modo digitale: i vantaggi per uno studio dentistico
Tutti gli esercizi sono obbligati ormai ad accettare i pagamenti digitali. Ma forse non tutti sanno quanti sono i vantaggi che l’utilizzo di carte...
Cancro orale: intercettazione e diagnosi precoce
Il cancro orale è una malattia letale, se non curata, che i sanitari del settore odontoiatrico possono incontrare nell'attività professionale. Pur non essendo di...
Case history: come ottimizzare il 95% delle attività dello studio odontoiatrico con XDENT
Cosa accade quando un piccolo studio dentistico comincia ad espandersi e le soluzioni tecnologiche che ha usato fino a quel momento non sono più in...
L’innovativa linea Curaspet ADS I DNA Trattamento Astringente riduce in modo mirato il sanguinamento...
In questa formulazione innovativa, la Clorexidina, gold standard dell’antisepsi del cavo orale, viene associata, in un’unica formulazione, all’estratto di Hamamelis Virginiana, nota per i...
IDI Evolution: da vent’anni nel futuro
IDI Evolution festeggia quest’anno 20 anni di attività. La Società italiana, operante nel settore dell’implantoprotesi dentale e della tecnologia a essa applicata, nasce nel 1989...















