Numerazione denti: i sistemi di classificazione più utilizzati
L'odontoiatra ha la necessità e l'obbligo di utilizzare un linguaggio che permetta l'identificazione precisa degli elementi dentari. Per ridurre i margini di errori e...
Malocclusioni: la diagnosi in ortodonzia comincia con l’analisi dentale
La pianificazione di un qualsiasi trattamento ortodontico inizia con il corretto inquadramento del paziente. Nel corso degli anni, questa fase ha subito un'evoluzione: si...
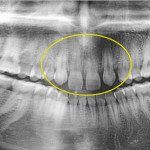
Dall’eruzione dentale ad anomalie e disodontiasi
Il processo di formazione dei denti e la loro eruzione fino ad una posizione funzionale in bocca comporta un periodo di sviluppo precoce in...
Utilizzo delle miniviti come ancoraggio ortodontico
Linee guida anatomiche per l’inserimento delle miniviti: siti interradicolari vestibolari
Anatomical guidelines for miniscrew insertion: vestibular interradicular sites
Ludwig B, Glasl B, Kinzinger GS, Lietz T, Lisson...
Tecnica chirurgica per espansione del palato nel subadulto
L'ossificazione del palato rappresenta un procedimento fondamentale nel complesso dello sviluppo del terzo medio del volto. La presenza di dimorfismi per difetto, con la...
Mantenitore di spazio: preservare il leeway space
Il recupero dello spazio è una delle problematiche fondamentali nella pratica ortodontica. A questo scopo si sceglie di tenere come arcata guida quella mandibolare,...
Correzione dell’open-bite in pazienti in fase dinamica di crescita: una revisione sistematica...
Lucia Giannini
Guido Galbiati
Luca Esposito
Cinzia Maspero
U.O.C. Chirurgia Maxillo facciale ed odontostomatologia (Direttore prof. AB Giannì)
Fondazione Cà Granda IRCCS Ospedale Maggiore Policlinico
Scuola di specializzazione in ortognatodonzia
Direttore...
I primi passi per la diagnosi in ortodonzia
L' Ortodonzia è quella branca dell'odontoiatria che si occupa del trattamento delle malposizoni dentarie. Non tutti gli approcci terapeutici però possono essere eseguiti a...
Ortodonzia linguale, dubbi e vantaggi per il “trattamento invisibile”
In ambito ortodontico, uno dei topic maggiormente dibattuti è senza dubbio l'approccio linguale.
Oltre ad essere una tematica estremamente stimolante per i professionisti e in...
Espansione rapida del palato chirurgicamente assistita e sue complicanze
I quadri deficitari dello sviluppo scheletrico sul piano trasverso sono tra i più comuni, anche nel soggetto adulto, a livello del mascellare superiore. Il...
Work-flow digitale e analogico in chirurgia ortognatica
La chirurgia ortognatica richiede una valutazione precisa di complesse deformità dentofacciali del distretto cranio-facciale.
Il successo della piano chirurgico non dipende solo dalla...
Analisi di Bolton: la “proporzione aurea” dell’ortodonzia
Le dimensioni dei singoli elementi dentari e le proporzioni presenti tra le arcate sono tra i più importanti dati da considerare nella diagnostica e...
Placca di Hawley e contenzione ortodontica invisibile
La contenzione ortodontica rappresenta quella fase immediatamente successiva al termine dei movimenti ortodontici e ha appunto lo scopo primario di stabilizzare e mantenere le...
Riassorbimento radicolare esterno in ortodonzia
La pianificazione di un trattamento ortodontico presenta diversi elementi di difficoltà e richiede perciò la piena consapevolezza dei possibili eventi indesiderati che ci si...
Remineralizzazione di white spot da bracket ortodontici
Uno dei punti chiave di un trattamento ortodontico fisso con bracket è rappresentato dalla gestione dell'igiene orale domiciliare. Nonostante l'impegno dei clinici e degli stessi pazienti, non sempre le manovre risultano agevoli e, di conseguenza, la placca tende ad accumularsi intorno ai bracket. La produzione di cataboliti acidi da parte dei batteri attiva il processo di demineralizzazione, che in tale sede inizia a manifestarsi nella forma della lesione detta white spot...
Gestione della distalizzazione canina con le mini-screw in un trattamento ortodontico SW MBT estetico ...
Riassunto
Il caso in esame descrive la riabilitazione ortodontica-implanto-protesica di una soggetta giovane caucasica, terza classe scheletrica e dentale con contrazione del mascellare anteriore e...















