Implantologia a carico immediato e chirurgia computer guidata
L'implantologia a carico immediato nei mascellari edentuli è stata riportato in numerose pubblicazioni con tassi di sopravvivenza cumulativi paragonabili a quelli dei protocolli convenzionali...
Affidabilità dei modelli CAD-CAM realizzati per implantologia
Una delle più diffuse procedure di chirurgia guidata prevede la scansione del sito da trattare e la realizzazione di un modello stereolitografico su cui...
Chirurgia e implantologia computer guidata, il ruolo del digitale
Come verrà analizzato dal prof. Hugo de Bruyn nella terza sessione del congresso internazionale Innovazione, sostenibilità e stili di vita, organizzato da “Il Dentista...
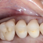
Preservazione dell’estetica in paziente esigente: impianto post-estrattivo a carico differito, case report
Autori: Davide Fumagalli, Andrea A. Orsina, Pietro M. Pasini, Eleonora Pionati, Marco Farronato, Davide Farronato
La paziente si presenta all’attenzione clinica con una frattura radicolare verticale di 25. L’elemento...
Dati sulla perimplantite: follow-up a 9-14 anni
Follow-up a 9-14 anni del trattamento implantare – parte III: fattori associati a perimplantite.
Obiettivo:analizzare i fattori di rischio delle lesioni dei tessuti perimplantari, legati...
Prevalenza e variabili di rischio della perimplantite
Viene qui presentato un importante studio epidemiologico. Aggiungiamo che, secondo la recente revisione di Ziztmann (Zitzmann NU, Berglundh T. (2008) Definition and prevalence of peri-implant...
Risultati della terapia implantare nel paziente con storia di parodontite grave
Background: è frequente oggetto di dibattito se il trattamento implantare in soggetti che abbiano perso i denti a causa di una parodontopatia sia caratterizzato...
Perimplantite: più rischi per i pazienti con storia di parodontite
All'alba di quello che alcuni hanno definito lo “tsunami” delle perimplantiti, questa ed altre revisioni hanno fornito delle linee guida su come orientarsi di...
I polimorfismi del gene IL1-RN sono associati alla perimplatite
Obiettivi: l'interleuchina (IL)-1α e IL-1β, e il loro recettore antagonista specifico (IL-1ra) svolgono un ruolo chiave nella regolazione della risposta infiammatoria nei tessuti parodontali....
lI primo articolo che descrisse la metodica “All-on-4” , come la conosciamo ancora oggi
Background: la funzionalizzazione immediata dell'impianto è ormai una modalità di trattamento accettata per protesi fisse in mandibole totalmente edentule, mentre per quanto riguarda il...
Vantaggi e affidabilità della tecnica “all-on-4”
La Riabilitazione del mascellare edentulo e della mandibola atrofica con protesi implanto ritenuta ha comportato in passato, l'uso di impianti collocati modo assiale in regione mascellare...
La sopravvivenza a 10 anni delle riabilitazioni mandibolari All-on-4®
Background: il carico immediato è ormai un'alternativa accettata nel trattamento con protesi fissa in mandibole completamente edentule, sulla base degli elevati tassi di successo...
All-on-4: riabilitazione immediata dei mascellari completamente edentuli
In un mercato ampio e variegato come quello dell'implantologia, la crescente offerta ha reso il paziente sempre più esigente, anche per quanto riguarda il...
L’uso di impianti angolati nei mascellari fortemente atrofici
Una delle pratiche ad oggi più note e discusse in ambito odontoiatrico, anche in ragione del suo impatto commerciale, è la All-on-4®.
L'espressione “All-on-4®”...
Revisione: formazione del biofilm su materiali restaurativi ed implantari
Gli autori della revisione di oggi ci ricordano come il processo di apposizione del film batterico alle superfici dentarie sia, dal punto di vista...
Il tessuto peri-implantare: studio istopatologico
Le caratteristiche cliniche dei tessuti molli peri-implantari devono essere valutate per la presenza o l’assenza di edema e rossore, così come per le variazioni...















