Celiachia: non solo intestino, anche la bocca ne soffre
La celiachia è una enteropatia cronica immunomediata determinata dall’intolleranza al glutine (un complesso proteico tipicamente contenuto in cereali come grano, frumento, farro, spelta, kamut,...
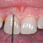
Trattamento di lesioni orali erosive bilaterali di tipo simil-lichenoide con olio ozonizzato
Si riporta il caso di una paziente affetta da lesioni orali simil-lichenoidi persistenti in cui il trattamento con olio ozonizzato si è mostrato estremamente utile, favorendo una drastica riduzione del dolore e delle dimensioni delle lesioni.
Sindrome di Eagle: una patologia di difficile interpretazione Premium
Una malattia rara caratterizzata da una sintomatologia molto varia che può facilmente simulare altre patologie del distretto cervico-facciale. Un ruolo molto importante ai fini della diagnosi può svolgerlo l’odontoiatra.
Un caso di fibroma ossificante gengivale Premium
Scopo di questo case report è quello di mostrare una lesione perfettamente aderente ai criteri diagnostici di questa patologia benigna, ma altamente recidivante. La lesione è stata trattata mediante escissione chirurgica preceduta da terapia causale per la riduzione della componente infiammatoria.
I tumori odontogeni: nuove entità e classificazioni Premium
Nel 2017 l’OMS ha definito i nuovi criteri di classificazione dei tumori odontogeni, semplificandone i termini ed eliminando le sottoclassificazioni che, istologicamente, ponevano dubbi diagnostici ed erano ininfluenti sulla qualità di vita dal punto di vista dell’andamento clinico. La riclassificazione di queste lesioni ossee è stata redatta in base alla sede di sviluppo del tumore e ai criteri diagnostici.
Ghirlanda a Rai Radio1: il caso Dentix e il ruolo dell’odontoiatria in Italia
Il Presidente Nazionale ANDI Carlo Ghirlanda è stato invitato a intervenire su Rai Radio1 nel corso del programma «Italia sotto inchiesta» per parlare del caso Dentix e del costo delle cure odontoiatriche nel nostro Paese.
Strategie terapeutiche nel lichen planus orale oltre la farmacologia convenzionale Premium
Questa revisione sistematica della letteratura suggerisce che le terapie non farmacologiche, tra cui la laserterapia e la terapia fotodinamica, possono rappresentare un’opzione terapeutica efficace per la gestione del lichen planus orale.
Diagnostica differenziale delle lesioni pigmentate del cavo orale Premium
Le varie localizzazioni e manifestazioni delle pigmentazioni della mucosa orale rendono difficile distinguere quelle attribuibili a malattie sistemiche, a malattie infiammatorie, a neoplasie, a...
Displasia fibrosa craniofacciale: patogenesi, diagnosi e opzioni terapeutiche
Oggi la TAC Cone Beam rappresenta il mezzo più efficace per la valutazione della displasia fibrosa craniofacciale, mentre la scintigrafia ossea risulta utile per verificare la presenza e distribuzione delle lesioni scheletriche.
Le lesioni ossee benigne della cavità orale Premium
In questo aggiornamento monografico vengono discusse le forme più frequenti di queste lesioni. Gli aspetti diagnostici riguardano un’anamnesi e un esame obiettivo accurati, tecniche radiologiche...
Problemi di diagnosi differenziale delle neoformazioni salivari intraorali e delle labbra Premium
«A volte ciò che sembra benigno per sede, aspetto e tempo di insorgenza, può non esserlo affatto». A dirlo è Rolando Crippa, Caporeparto di...
Aggiornamenti clinico-scientifici sull’osteonecrosi dei mascellari da bifosfonati
Chirurgia implantare: nei pazienti in terapia con bifosfonati a basse dosi questa non è infatti controindicata, soprattutto in assenza di ulteriori fattori di rischio concomitanti, quali ad esempio il diabete o una protratta terapia corticosteroidea.
Bifosfonati: il punto della situazione
Diverse pubblicazioni negli ultimi anni hanno suggerito che l’osteonecrosi della mandibola è associata alla terapia con bifosfonati. È importante per i pazienti essere informati...
Aspetti occlusali nella patogenesi della cheilite angolare
La cheilite angolare costituisce un quadro clinico di frequente osservazione. Si può presentare clinicamente in forma lieve, moderata o grave. La sua durata può andare da un mese fino a 4 anni e più nei casi cronici e recidivanti. La lesione della commissura labiale è solitamente simmetrica, ma può presentarsi anche in forma monolaterale, ed é di tipo eritemato-squamoso o eczematoso-ragadiforme.
Valutazione dell’effetto desensibilizzante del laser Nd:YAG, di una vernice al fluoro e del loro...
Evaluation of the desensitizing effect of the Nd:YAG laser, of a fluoride varnish and their combined use on the hypersensitive dentin. Study in vivo...















