La protesi full digitale 4.0 Premium
Reverse Maryland un’alternativa nella riabilitazione orale di edentulismi in area estetica Premium
Viene proposta una terapia sostitutiva alla chirurgia implantare e alla protesi fissa convenzionale in un caso di assenza di elementi dentali. Le problematiche evidenziate hanno posto gli operatori clinici e tecnici di fronte alla necessità di valutare soluzioni che considerassero anche gli aspetti etici legati all’intervento su tessuti sani, evitando metodiche più invasive
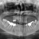
Riabilitazione implantoprotesica con metodica computer guidata un caso clinico Premium
Il ricorso alla tecnologia digitale trova sempre maggiori indicazioni in campo progettuale per riabilitazioni estese di intere arcate dentarie o per il posizionamento di un singolo impianto in zone. Il caso clinico presentato è stato trattato con pianificazione guidata e successivo inserimento implantare con dima chirurgica dedicata
Il workflow digitale nel carico immediato Premium
Viene documentato un case report, progettato e finalizzato attraverso un workflow digitale, per la realizzazione di una protesi superiore a supporto implantare e a carico immediato entro le 48 ore successive alla chirurgia
Lo scanner intraorale e lo studio del 2022
Come evolve il modo di lavorare con l'odontoiatria digitale fra scanner intraorale, cone beam, impronta digitale e manufatti protesici chairside.
Integrazione biologica, estetica e funzionale in protesi fissa attuali orientamenti Premium
Per avere successo in protesi fissa la “sola funzione” del manufatto protesico è un obiettivo oggi dato oramai per scontato che deve integrarsi con una serie complessa di requisiti strettamente correlati a biologia ed estetica. Questa “triade” di caratteristiche sono poste in relazione sia alle evidenze della letteratura, sia a un’iconografia esemplificativa, riferita a restauri parziali e totali, in situazioni semplici, di media difficoltà, sino alle riabilitazioni più complesse.
Riabilitazione orale full-arch su quattro impianti mediante pianificazione computer guidata Premium
Vengono descritte le procedure chirurgiche e protesiche per la realizzazione di una riabilitazione full-arch mandibolare fissa su quattro impianti mediante pianificazione computer-guidata del caso,...
Strategia interdisciplinare per un dente gravemente compromesso Premium
In questo caso clinico è stata utilizzata l’estrusione ortodontica per il recupero del cerchiaggio cervicale e ciò ha permesso di ritrattare endodonticamente un dente...
Dispositivo protesico mobile in pazienti non candidati all’implantologia Premium
Viene documentato l’uso di un particolare dispositivo protesico mobile, versatile e semplice da realizzare, in pazienti che non possono essere sottoposti a implantologia o...
Il canale della vite angolato realizzato con tecnologia CAD/CAM: un fattore di rischio...
Questo studio retrospettivo ha avuto lo scopo di analizzare la frequenza delle complicanze protesiche nelle protesi avvitate su impianti in cui fosse stata eseguita...
L’adesione del materiale d’impronta su un portaimpronta ricoperto con Flock PA66
Vengono descritti i fattori principali che influenzano questo passaggio cruciale nella presa dell’impronta, che può influenzare in maniera importante la precisione dei manufatti protesici....
Connessione biconometrica sferica Progettazione di un moncone di connessione tra impianto endoosseo e manufatto...
Viene descritta la progettazione, realizzata in laboratorio, di un moncone di connessione dotato di una parte inferiore e di una superiore unite con una...
I protagonisti del metal-free: zirconia e disilicato di litio. Caratteristiche e impieghi clinici Premium
Una revisione clinica e sperimentale dell’impiego di zirconia e disilicato di litio nelle riabilitazioni protesiche e una serie di consigli clinici validati dalla più...
Fast and Easy Loading Procedure (FELP): sistema di gestione di protesi provvisorie in riabilitazioni...
Viene illustrata una tecnica per realizzare la protesi provvisoria del paziente prima della chirurgia: utilizzando un software di programmazione chirurgica e le relative tecniche...
Protesi e sbiancamento: gestione del trattamento dopo i restauri
La combinazione di tecniche adesive dirette e indirette associate a sbiancamento pre, intra o postoperatorio sono le armi a disposizione dell’odontoiatra che ha l’esigenza...
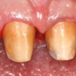
Valutazione clinica della risposta dei tessuti gengivali alla tecnica BOPT
Clinical evaluation of the gingival tissues response to BOPT technique La tecnica BOPT può fornire una valida alternativa alla chirurgia parodontale nella correzione di lievi...















