Impronta di precisione in protesi fissa: caratteristiche dei materiali
Enrico Manca
Dino Re1
Gabriele Augusti1
Davide Augusti1
Ugo Torquati Gritti1
1Istituto Stomatologico Italiano, Università degli Studi di Milano, Reparto di Riabilitazione Orale
L’impronta di precisione è uno dei passaggi clinici...
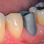
Quali materiali in protesi fissa oggi?
Riassunto
L’evoluzione recente di materiali e tecnologie ha reso disponibili molti differenti tipi di materiali con i quali è possibile realizzare trattamenti protesici fissi. Mentre...
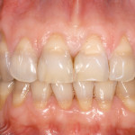
Riabilitazione estetica con disilicato di litio e cementazione adesiva. Caso clinico
Riassunto
Obiettivi. Presentare una riabilitazione estetica con restauri totali e parziali in disilicato di litio cementati adesivamente.
Materiali e metodi. All’esame clinico la paziente si è...
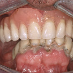
Riabilitazione di arcata superiore edentula mediante overdenture a supporto implantare. Utilizzo di attacchi a...
Riassunto
Obiettivi. Le protesi overdenture supportate da denti sono state per la prima volta documentate circa 150 anni fa, ma la loro realizzazione – mediante...
Metodi di riparazione intraorale di protesi fisse: procedure tecniche e cliniche Protocolli di...
Da oltre cinquant’anni le ceramiche dentali rappresentano il materiale estetico d’elezione per la realizzazione di protesi fisse in metallo-ceramica. Purtroppo la fragilità di questo...
Tips&Tricks Isolamento a finire
• Giuseppe Chiodera
• Ombretta Papini
Riassunto
Lo scopo di questo articolo è proporre una tecnica di isolamento che consenta di posizionare la diga nel rispetto...
La cementazione provvisoria delle corone su impianto: caratteristiche e metodiche per la sua rimozione
La ritenzione di corone fissate ad abutment implantari con cementi provvisori
Nagasawa Y, Hibino Y, Nakajima H. Dental Materials Journal 2014;33(6):835-44.
Lo scopo di questo studio...
Rapporti occlusali: selezione e montaggio degli elementi posteriori
Le considerazioni riguardanti la fisionomia e l’estetica hanno una grande importanza nella realizzazione di una riabilitazione protesica a supporto osteo-mucoso; infatti, come già ricordato,...
Faccette palatali e frontali per il trattamento dell’erosione dentale grave: caso clinico ...
Dal 2006 presso l’Università di Ginevra i pazienti affetti da erosione dentale vengono trattati non appena possibile dopo l’identificazione di dentina esposta tramite il...
Impronta con scanner intraorale digitale Cadent iTero
Riassunto
Una presa di impronta precisa e prevedibile e la registrazione occlusale sono da sempre le procedure più difficili da effettuare. Il successo dei nostri restauri...
Valutazione estetica e funzionale dei restauri in zirconia realizzati con tecnica tradizionale e tecnologia...
Background. Il fallimento più frequente delle ricostruzioni in zirconia-ceramica è il chipping della ceramica, mentre la struttura in zirconia rimane frequentemente più stabile nel...
Oro: un’odontoiatria fuori dal tempo o una reale alternativa clinica?
Riassunto
L’attualità delle ricostruzioni indirette in lega aurea è sempre oggetto di discussione; numerosi infatti sono gli studi longitudinali che riportano ottimi risultati riguardo agli intarsi in...
Risoluzione di un caso complesso di pigmentazione da tetraciclina
Riassunto
Lo scopo di questo lavoro è stato quello di ripristinare l’estetica del settore centrale dell’arcata superiore utilizzando sei faccette in ceramica in una paziente...
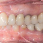
La protesi inferiore fissa impianto-sostenuta in un caso di II classe scheletrica...
Riassunto
Uno degli obiettivi della riabilitazione protesica è la sostituzione dei tessuti persi, al fine di restituire un’adeguata funzionalità in un contesto armonico con un’estetica...
Quali materiali in protesi fissa oggi?
Riassunto
L’evoluzione recente di materiali e tecnologie ha reso disponibili molti differenti tipi di materiali con i quali è possibile realizzare trattamenti protesici fissi. Mentre ancora pochi...
Ponte su intarsi inlay: quale materiale utilizzare?
Riabilitazione di edentulia singola posteriore, un approccio conservativo utilizzando FRC: quattro case report
Conservative approach for restoring posterior missing tooth with fiber reinforcement materials: four...















