Trattamento non estrattivo delle II classi con Invisalign®
Scopo di questo lavoro è quello di illustrare, attraverso la presentazione di casi clinici di pazienti adulti, le possibilità di trattamento non estrattivo delle...
Il Protocollo Easy Damon (PED)
Il Protocollo Easy Damon (PED): un approccio semplificato alla sistematica self-ligating passiva Damon
• Chiara Buraglio
• Fabio Tamanza
ISI, Milano
Riassunto
Dopo una breve presentazione sulla storia dei...
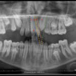
Problematiche diagnostiche dei canini inclusi: errori e complicanze
La gestione di un canino incluso può essere una situazione complessa che necessita di un confronto tra ortodontista e chirurgo orale, come mostra il caso presentato da due giovani odontoiatri a Giovanni Evangelista Mancini, professore a contratto presso la Scuola di specializzazione in Ortognatodonzia dell’Università degli Studi di Milano.
Splintaggio linguale dell’arcata inferiore per mezzo di composito rinforzato
• Davide Farronato
• Dino Re
• Giacomo Santoro
Università degli Studi di Milano
Istituto di Clinica Odontoiatrica e Stomatologica Direttore Prof. F. Santoro
Corso di Laurea in Odontoiatria...
Efficacia antinfiammatoria e antiplacca dell’idrolato di Melaleuca alternifolia: studio clinico su pazienti portatori... Premium
È stata valutata l’efficacia clinica, come collutorio in pazienti portatori di apparecchio ortodontico fisso, dell’idrolato di Melaleuca alternifolia che, a differenza di diluizioni dell’olio...
Trattamento ortodontico e carie: i risultati di una ricerca sugli adolescenti
Il trattamento ortodontico rappresenta un intervento ampiamente adottato per migliorare l'estetica dentale e correggere le malocclusioni nei pazienti in crescita. Tuttavia, in alcune circostanze...
La tecnica Invisalign® nel paziente in crescita Premium
i principi di base della tecnica ortodontica digitale Invisalign nel trattamento delle malocclusioni nel bambino e nell’adolescente
Benefici correlati all’utilizzo del flusso digitale nel trattamento della disgiunzione palatale Premium
La procedura standard per il posizionamento di un disgiuntore rapido palatale prevede una serie di appuntamenti scanditi nel tempo. Scopo di questo lavoro è stato quello di analizzare questi passaggi e sovrapporli a quelli utilizzati per il flusso digitale, valutando pro e contro dei due percorsi.
Intercettare l’inclusione del canino superiore mediante estrazione precoce del canino deciduo Premium
Viene valutata clinicamente la validità dell’estrazione precoce dei canini decidui in dentatura mista per prevenire l’inclusione dei canini permanenti. Lo studio si è svolto analizzando le ortopantomografie di quattro pazienti per un totale di sei canini, a distanza di circa 14 mesi dopo l’estrazione del canino deciduo.
Approccio ortognatico e chirurgico per il trattamento dell’apnea notturna ostruttiva
Il sonno occupa un terzo della vita di un uomo. Qualsiasi problema o malattia che interrompono il nostro sonno sono di estrema importanza per...
Disgiuntore con bande vs disgiuntore bondato: effetti nei tre piani dello spazio
• Cinzia Maspero1
• Guido Galbiati2
• Lucia Giannini2
1MD, DDS, Dirigente Medico, Reparto di Ortognatodonzia, Università degli Studi di Milano, IRCCS Cà Granda - Ospedale Maggiore...
L’espansore rapido tipo Haas
Questi abstract esaminano un dispositivo ortodontico ben noto agli specialisti in ortodonzia: l’espansore rapido tipo Haas. Generalmente l’ancoraggio si ottiene mediante delle bande sui...
Dente fantasma: aspetti ortodontici e radiologici
Si illustrano le possibili varianti dell’odontodisplasia regionale, anomalia conosciuta come “dente fantasma” che origina dalla componente ectodermale e mesodermale del dente. Una rara ma...
Il sistema ortodontico ”Made in Italy” che sfrutta la forza dei magneti Free
Un dispositivo ideato da Claudio Bellu, quando era ancora studente di Odontoiatria all’Università degli Studi di Cagliari e che per validarne l’efficacia l’ha testato su se stesso, sotto la supervisione del suo relatore, Domenico Viscuso, che qui risponde ai dubbi del giovane ricercatore, oggi alla guida di una startup pluripremiata.
Profili di responsabilità professionale in ortodonzia: errori e complicanze
Claudio Radice1, Marcello Maddalone2, Moira Pellegrinelli3
1Professore a.c. Clinica Odontoiatrica Università
degli Studi Milano Bicocca - direttore: Prof. M. Baldoni
2Ricercatore Clinica Odontoiatrica Università
degli Studi Milano Bicocca...















