Presentiamo il caso di una paziente adulta in cui è stato eseguito un trattamento ortodontico con meccanica asimmetrica mediante apparecchiatura ortodontica linguale 2D. L’obiettivo: ottenere la correzione secondaria di una malocclusione caratterizzata da agenesia degli incisivi laterali superiori e di un premolare inferiore, associata ad affollamento dentale terziario a entrambe le arcate; al trattamento è seguita riabilitazione implanto-protesica di uno degli incisivi laterali agenesici.
Scheda clinica |
|
| Categoria | Ortodonzia |
| Tipo di intervento | Correzione ortodontica secondaria di affollamento terziario e agenesia dentali |
| Indicazioni | Estetico-funzionali-igiene orale |
| Tecnica chirurgica | Chirurgia estrattiva, rigenerativa-implanto-protesica |
| Tecnica ortodontica | Ortodonzia Linguale con meccanica asimmetrica |
| Grado di difficoltà | D |
| Tempo di esecuzione della chirurgia | 45 minuti a intervento |
| Tempo del trattamento ortodontico | 24 mesi |
Presentazione del caso
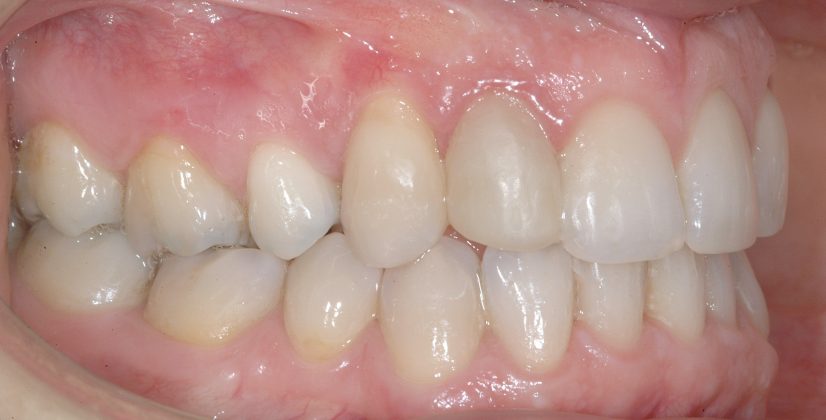
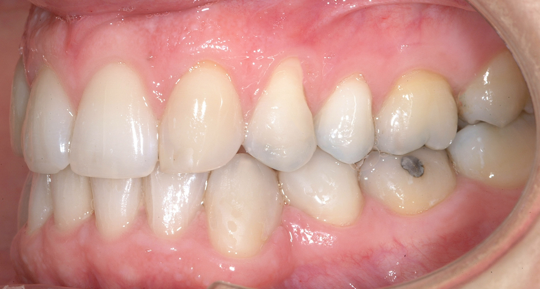
Una paziente di sesso femminile, 38 anni, già trattata ortodonticamente presso altra sede con apparecchiatura fissa a entrambe le arcate in età adolescenziale senza successiva applicazione di alcuna contenzione, si presenta alla nostra attenzione perché insoddisfatta dell’estetica del sorriso; richiede una valutazione per un trattamento ortodontico con apparecchiatura fissa linguale per la presenza di affollamento dentale a entrambe le arcate e difficoltà a mantenere una adeguata igiene orale; si riscontrano agenesia di entrambi gli incisivi laterali superiori (1.2 e 2.2) e del secondo premolare inferiore destro (4.5). Presentiamo la risoluzione del caso mediante trattamento ortodontico estrattivo a entrambe le arcate, eseguito con apparecchiatura linguale invisibile 2D e meccanica asimmetrica e seguito a medio termine da riabilitazione implanto-protesica e contenzione fissa.
Esami strumentali e valutazione diagnostica
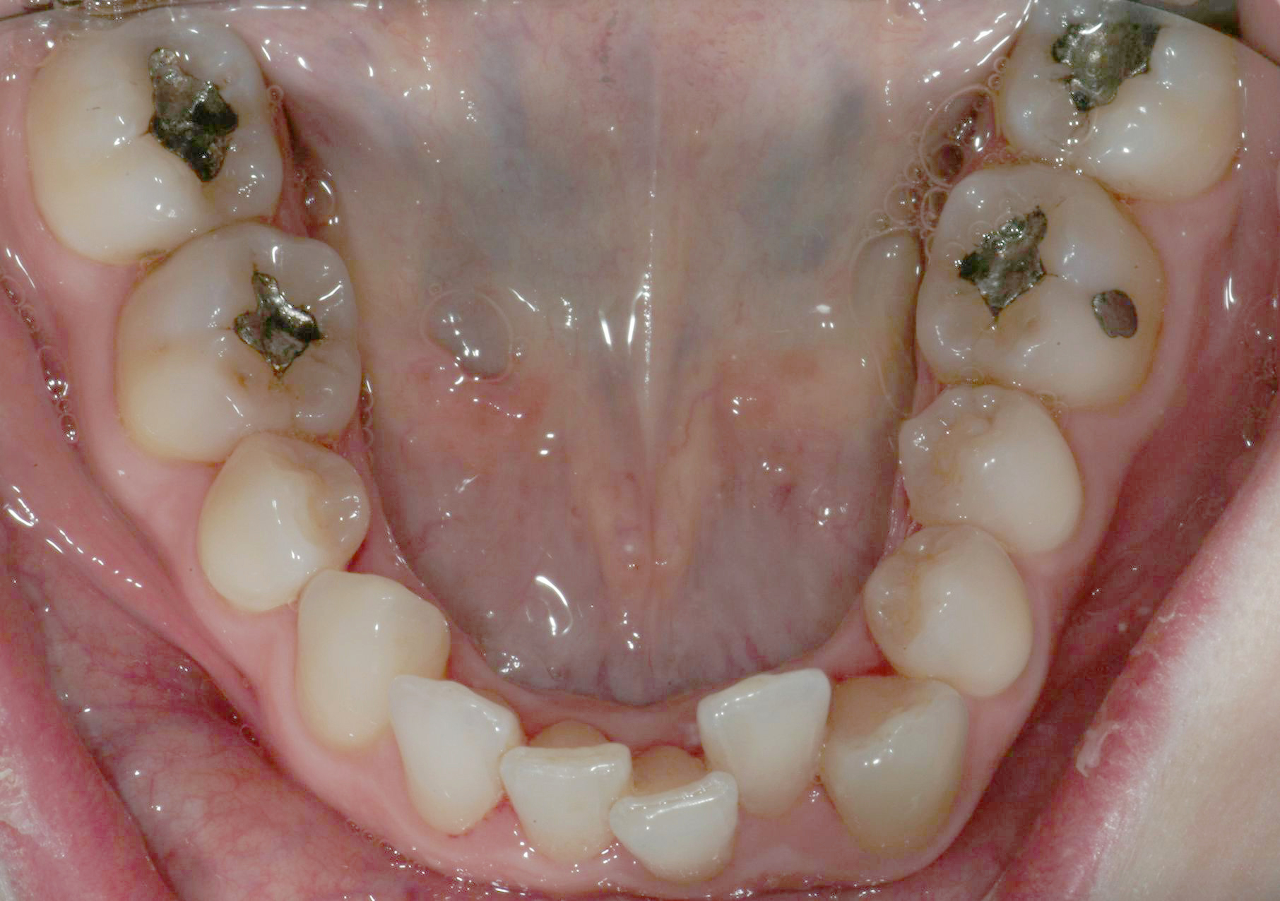
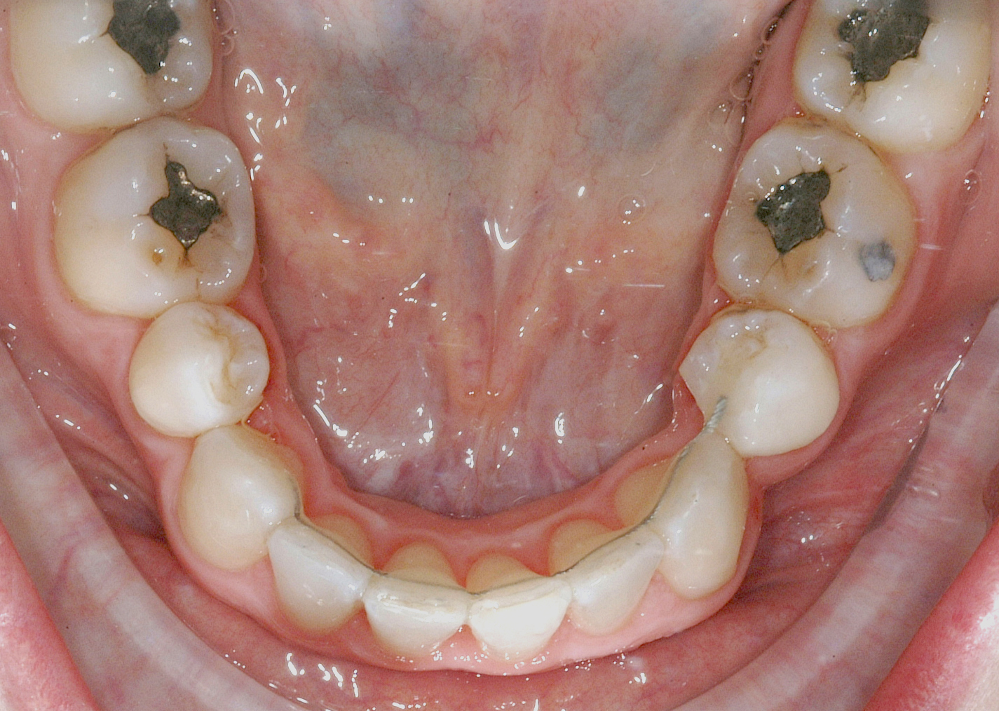
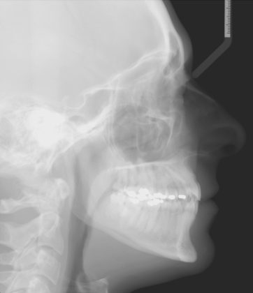
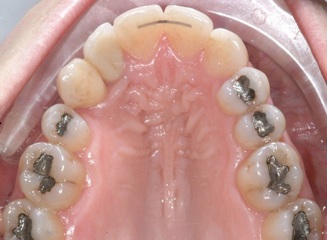
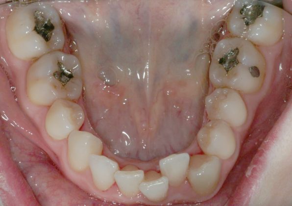
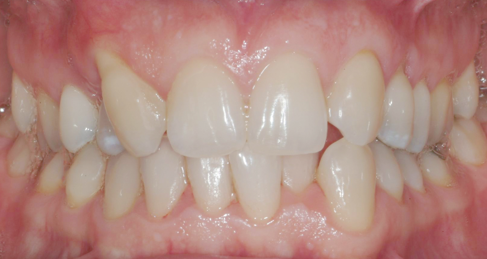
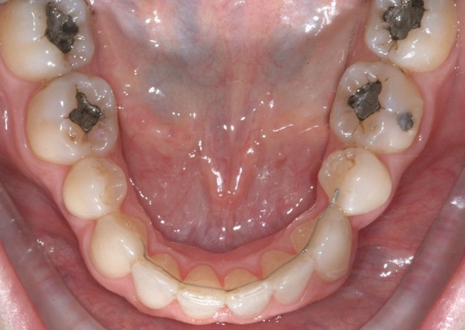
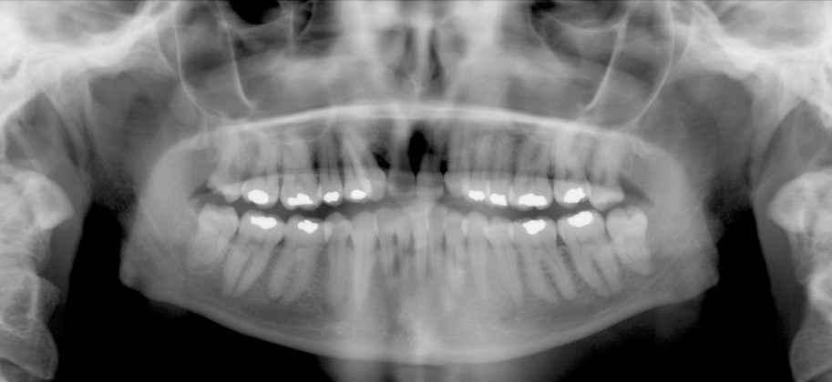
Per formulare corretta diagnosi e piano di cura, lo studio del caso ha previsto la raccolta di documentazione completa standard, ovvero fotografie del viso e intraorali (Figure 1a-e), radiografia panoramica e teleradiografia del cranio in proiezione laterale (Figure 2a-b) per la relativa analisi cefalometrica e modelli di studio.
La valutazione clinica e gli esami effettuati confermano la presenza di agenesia degli incisivi laterali superiori (1.2 e 2.2) e del secondo premolare inferiore destro (4.5).
L’analisi ortodontica e la valutazione parodontale, con particolare riferimento alla posizione della radice del canino superiore destro (1.3), distoinclinata e trasposta alla radice del primo premolare (1.4) come evidente dalla radiografia panoramica e dalle immagini intraorali, ci hanno guidati nella programmazione di un trattamento estrattivo asimmetrico a entrambe le arcate.
Descrizione del trattamento
È stato effettuato un trattamento ortodontico estetico mediante ortodonzia linguale per la correzione pre-protesica di una malocclusione in paziente adulto (1).
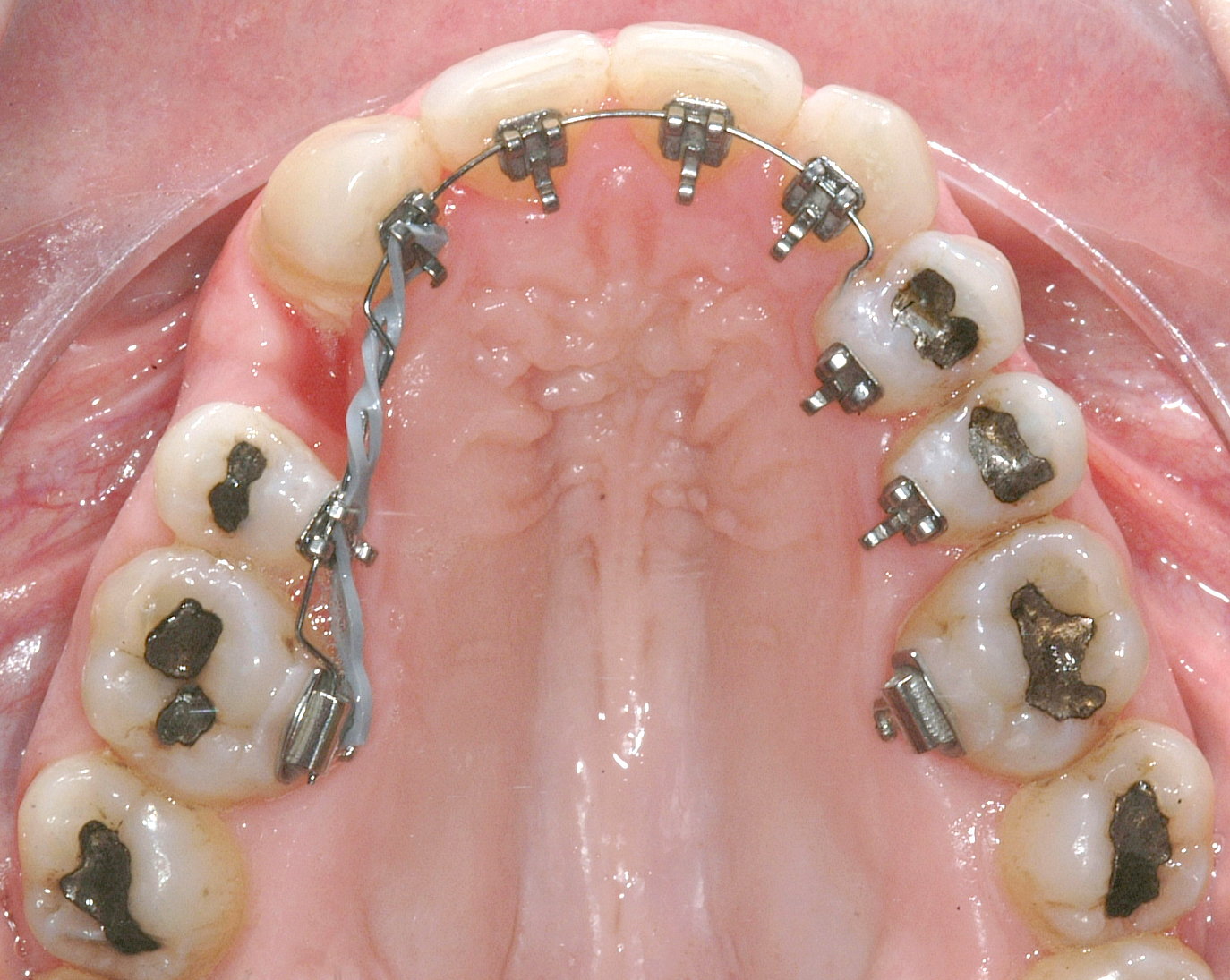
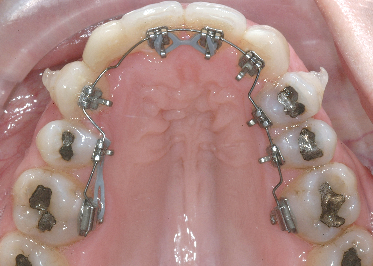
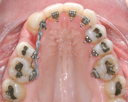
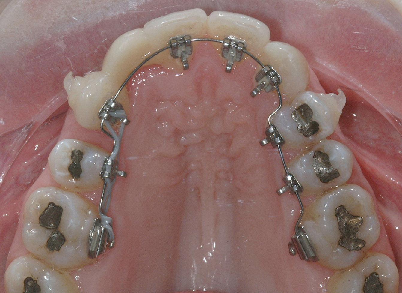
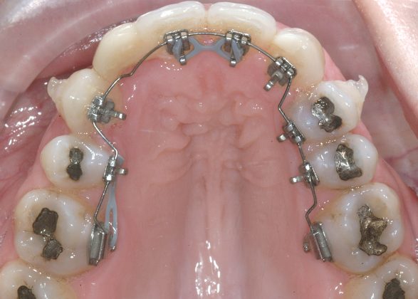
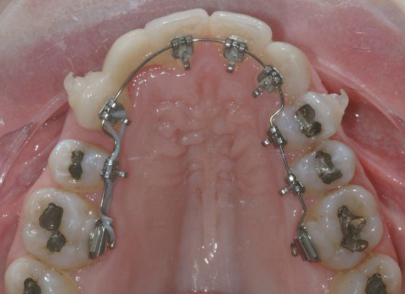
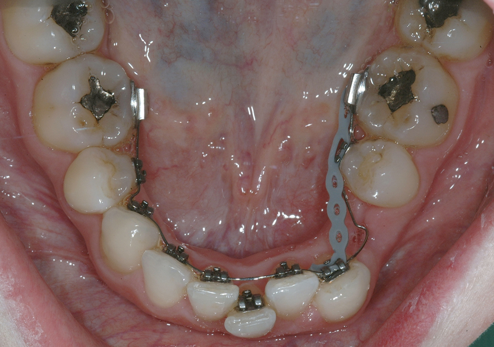
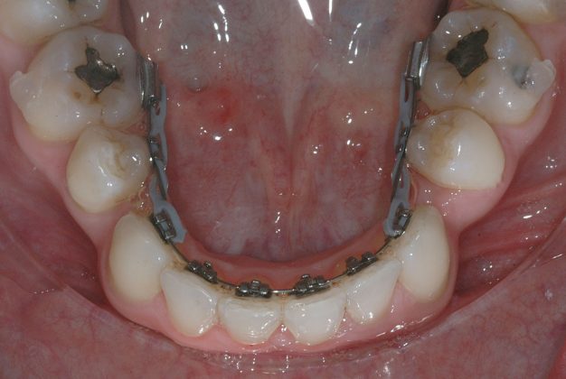
Il protocollo terapeutico ha previsto l’estrazione del primo premolare inferiore sinistro (3.4) e del primo superiore destro (1.4), l’applicazione di una apparecchiatura fissa linguale 2D e di una meccanica asimmetrica di ancoraggio e movimento ortodontico a entrambe le arcate (Figure 3a-b).
Il trattamento è iniziato con l’estrazione dei due premolari in unica seduta in anestesia locale e l’applicazione simultanea, dopo una settimana, della apparecchiatura linguale inferiore e superiore, non essendoci problemi di overbite e potenziali interferenze in occlusione tra l’apparecchiatura superiore e i frontali inferiori. All’arcata superiore è stata effettuata una iniziale chiusura dello spazio estrattivo con forze molto leggere in ancoraggio medio su arco .014” Nichel-Titanio e successivamente .016” Nichel-Titanio, bondato in prima fase per maggior stabilità direttamente sulla superficie mesiale di 2.4.
Nota tecnica: il movimento iniziale di distalizzazione della corona di 1.3 mediante tipping distale (vista la posizione radicolare iniziale) è stato ottenuto con una catenella elastica leggera inserita su 1.6, 1.5 e ancorata su 1.3, abbracciando per maggior controllo l’aletta disto-occlusale e quella gengivale del bracket linguale.
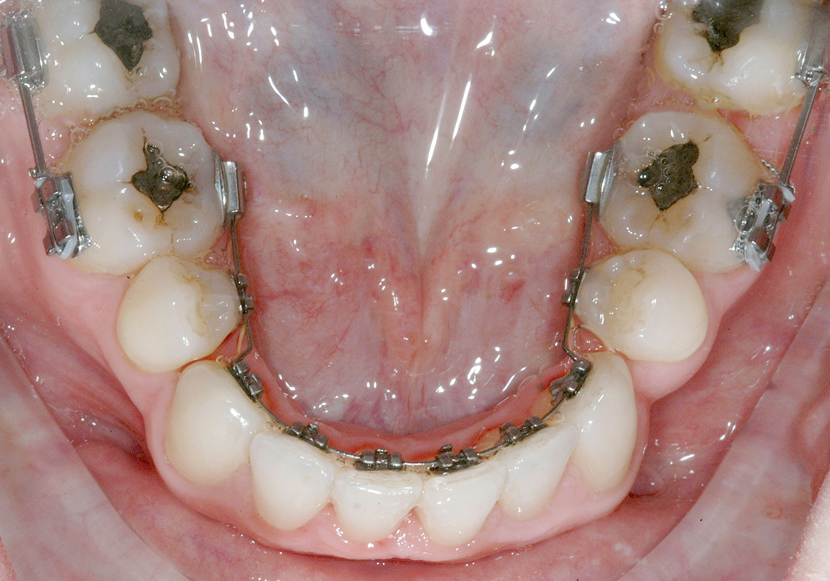
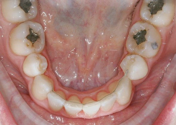
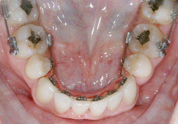
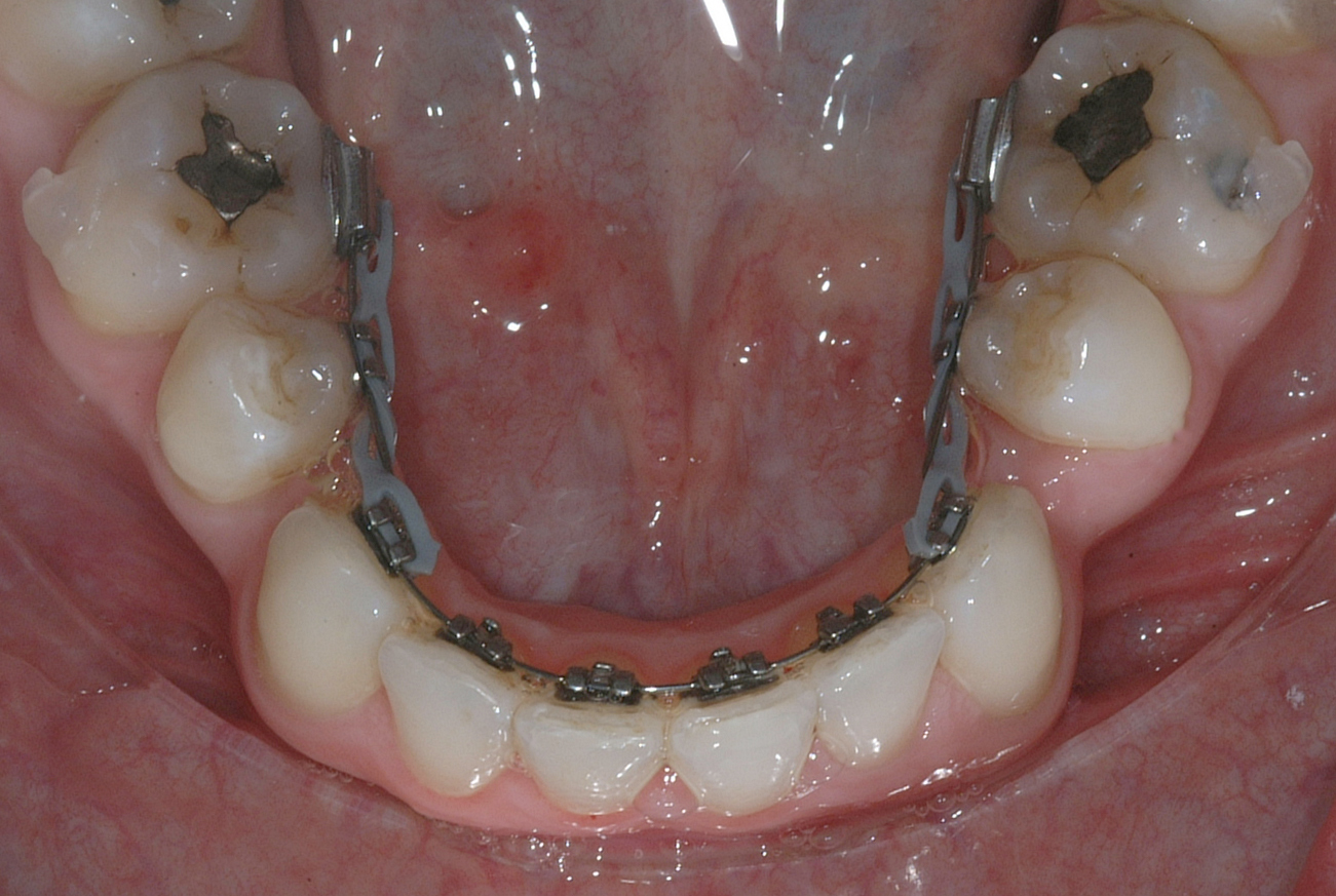
Per la chiusura dello spazio all’arcata inferiore, dopo la preliminare fase di allineamento e livellamento2, con la stessa sequenza iniziale di archi (.014” e poi .016” Nichel-Titanio), è stato temporaneamente applicato un sistema di ancoraggio ausiliario vestibolare, mediante fibre rinforzate, bondate sulla superficie vestibolare di 3.5, 3.6, 3.7 (Figura 4).

Successivamente, per controllare il movimento radicolare distale del canino inferiore sinistro (3.3), è stato applicato un sistema di forze che ha sfruttato: la forza singola distalizzante e di chiusura spazi data dalla catenella elastica con ruolo stabilizzante anche verticale su 3.3, inserita e agganciata in due segmenti, uno mesiale e uno distale, nelle rispettive alette dello slot occlusale del 3.3, e una coppia di forze di uprighting data dall’arco ortodontico .016” Nichel Titanio; quest’ultimo è stato inserito distalmente nello slot ausiliario dell’attacco linguale sul 3.5 ottenuto ripiegando verso occlusale la terza aletta gengivale, e poi nel tubo singolo sul 3.6, e mesialmente, da mesiale verso distale e da gengivale verso occlusale nello slot di 3.3, generando una flessione verticale di secondo ordine, la cui rotazione in senso linguale veniva controllata dalla catenella elastica stessa in appoggio su di esso. Il segmento di arco distale a 3.2 è stato ripiegato in senso gengivo-vestibolare (Figura 5).

Nota tecnica: una volta ottenuto il corretto posizionamento del 3.3, al fine di simmetrizzare l’arcata inferiore e centrare le linee di simmetria, è stata applicata una molla ad anse aperte tra 4.4 e 4.3 su arco .016” in acciaio (Figura 6).

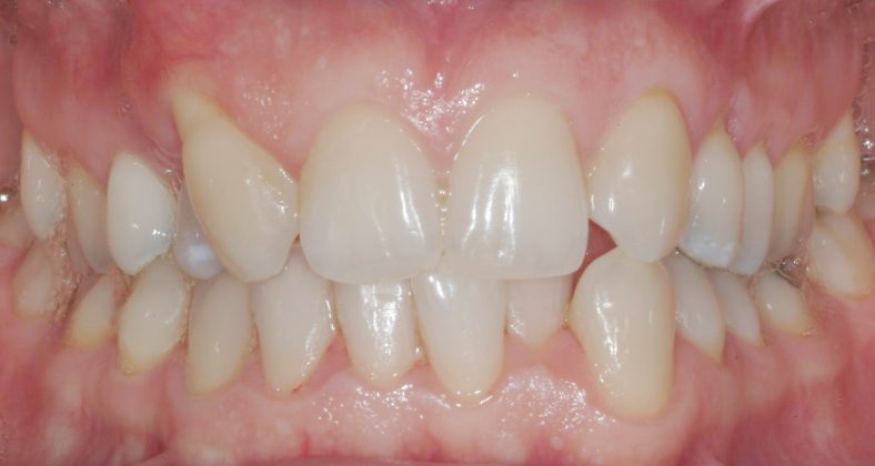
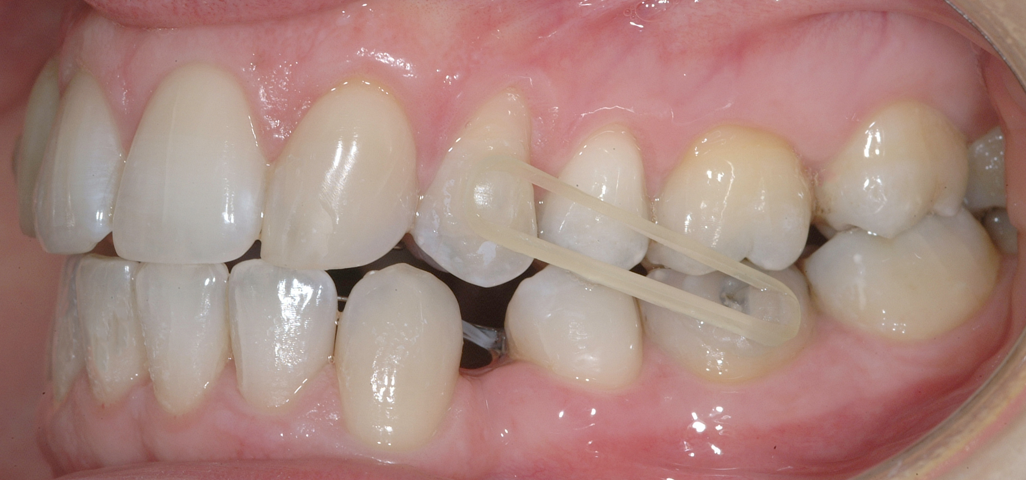
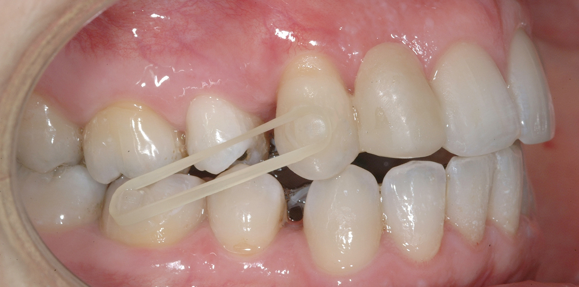
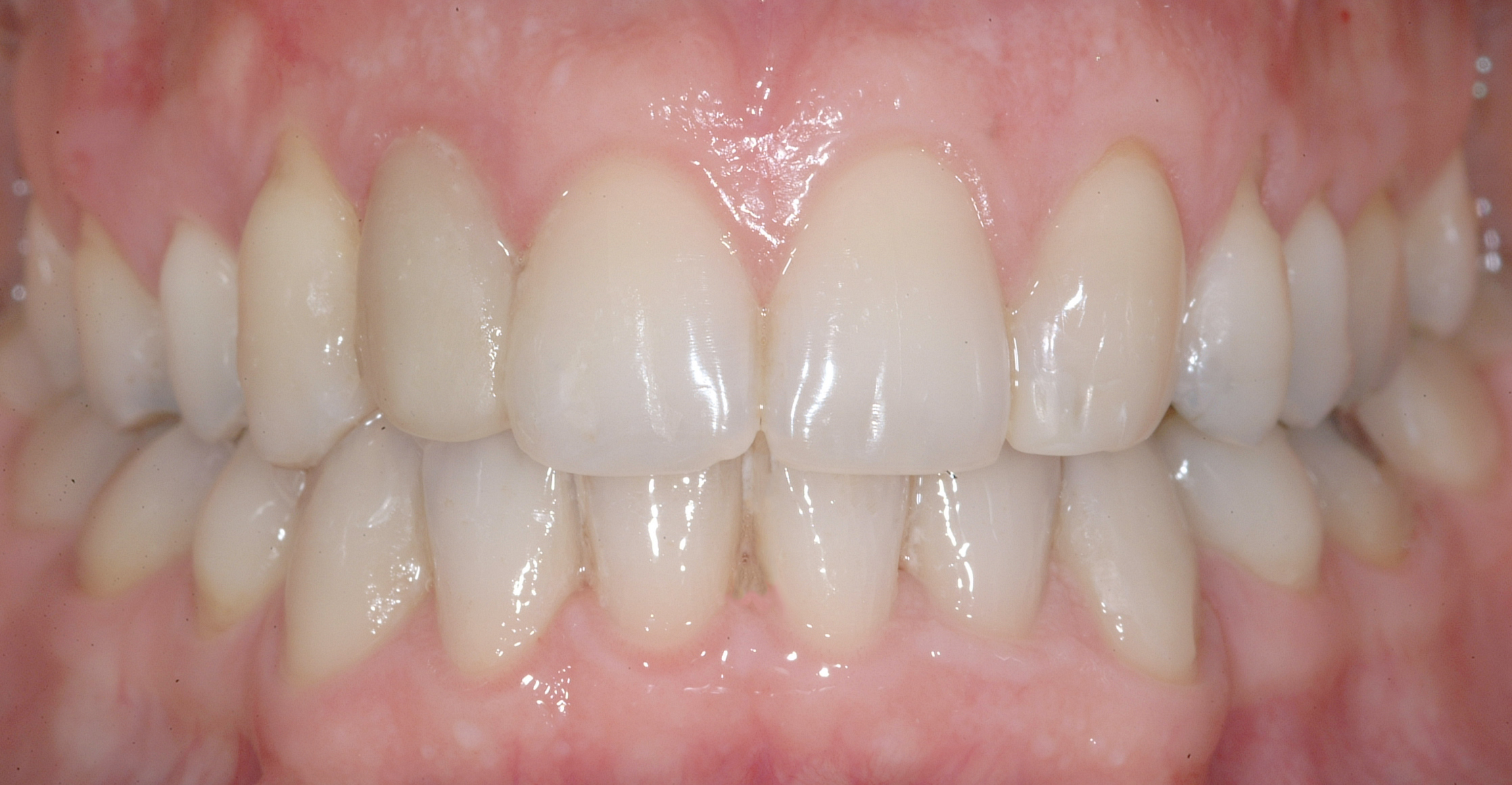
In seguito, è stato modellato e applicato con tecnica adesiva diretta un pontic estetico in resina composita in sede 1.2, bondato sia distalmente a 1.1 sia mesialmente a 1.3, per un movimento en-masse in ancoraggio medio del gruppo frontale superiore, ottenuto nel settore 1 mediante forza elastica singola su arco .016” acciaio.
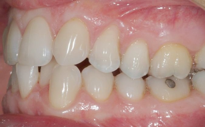
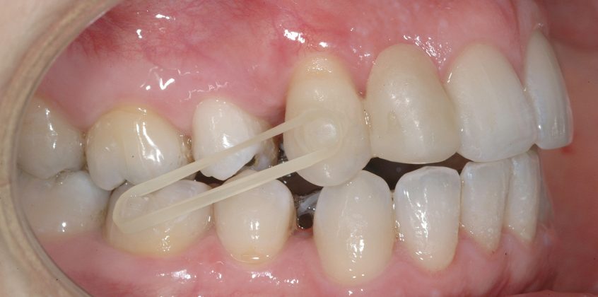
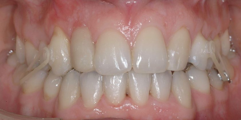
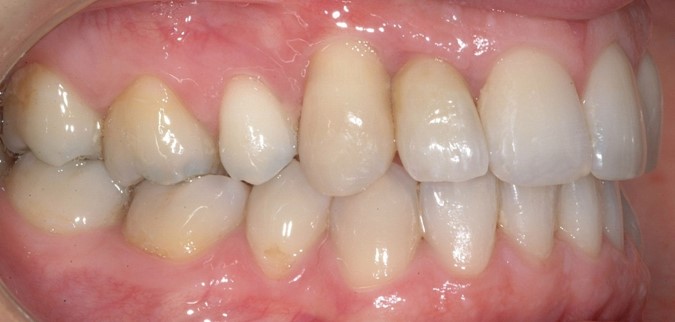
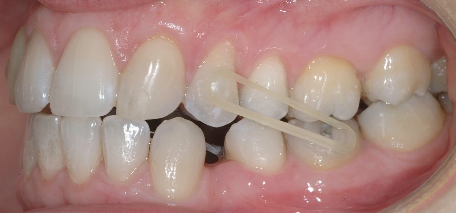
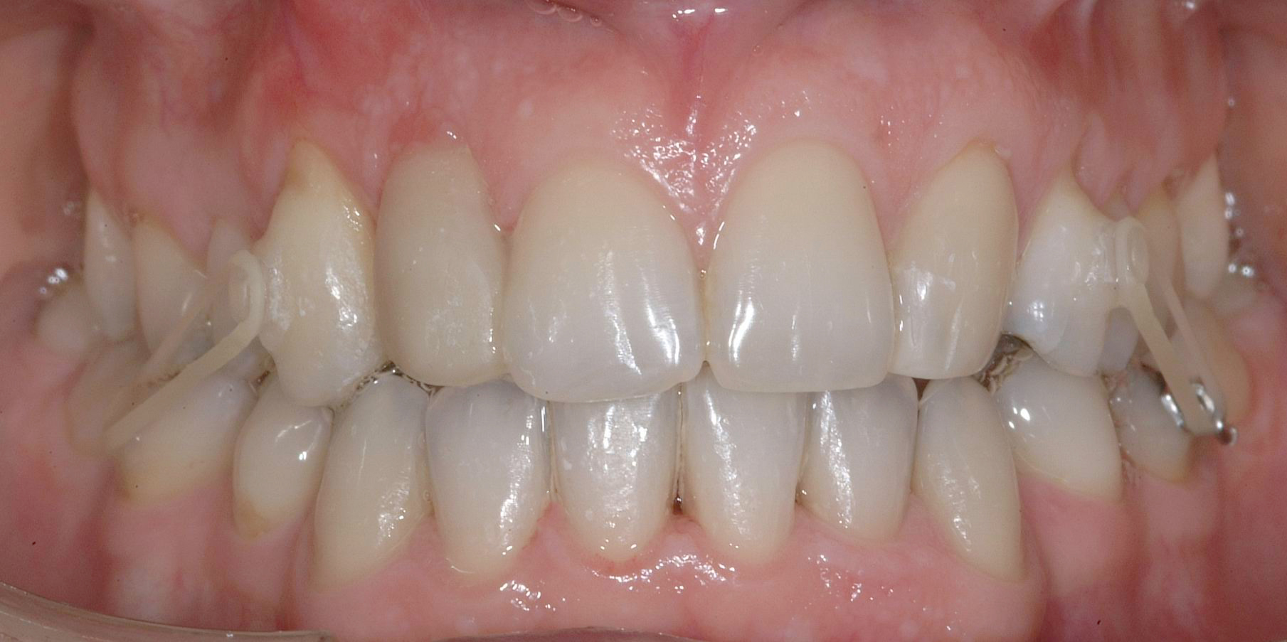
Per completare la chiusura degli spazi inferiori in ancoraggio medio è stata applicata una catenella elastica leggera da 3 a 6 ed elastici di Classe II (3/16 da 4.5 once) bilaterali e domiciliari-notturni, applicati vestibolarmente su bottoni estetici bondati su 3.6, 4.6, 1.3 e 2.4 (Figure 7a-e).
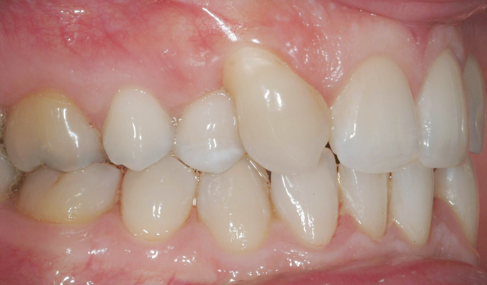
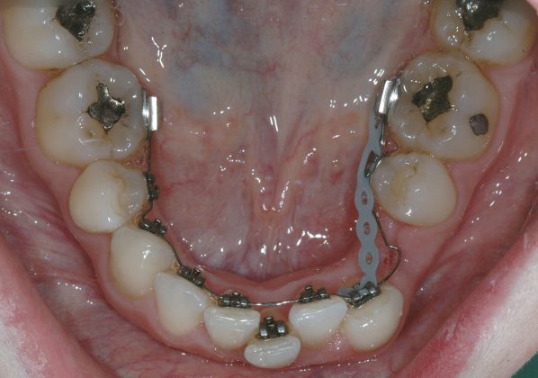
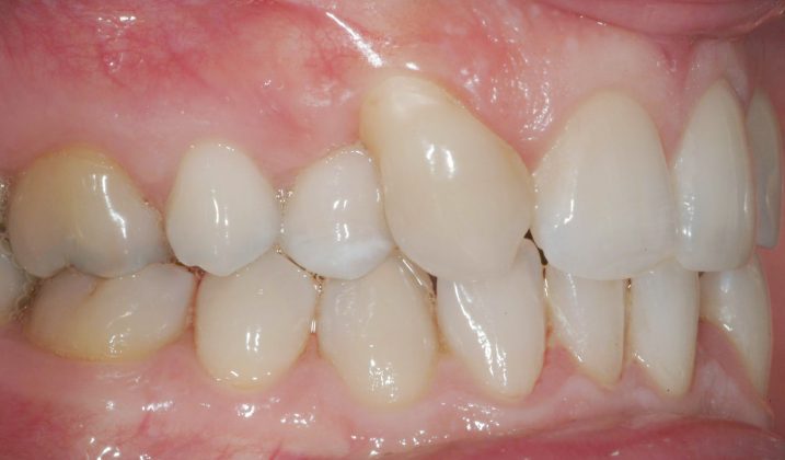
La rifinitura del caso ha previsto il completamento del livellamento del piano occlusale posteriore inferiore mediante meccanica cross-over con sezionali in acciaio .017”x .025” applicati sui primi e secondi molari e catenelle di derotazione tra i centrali superiori e tra 1.6 e 1.5 (Figure 8a-b).
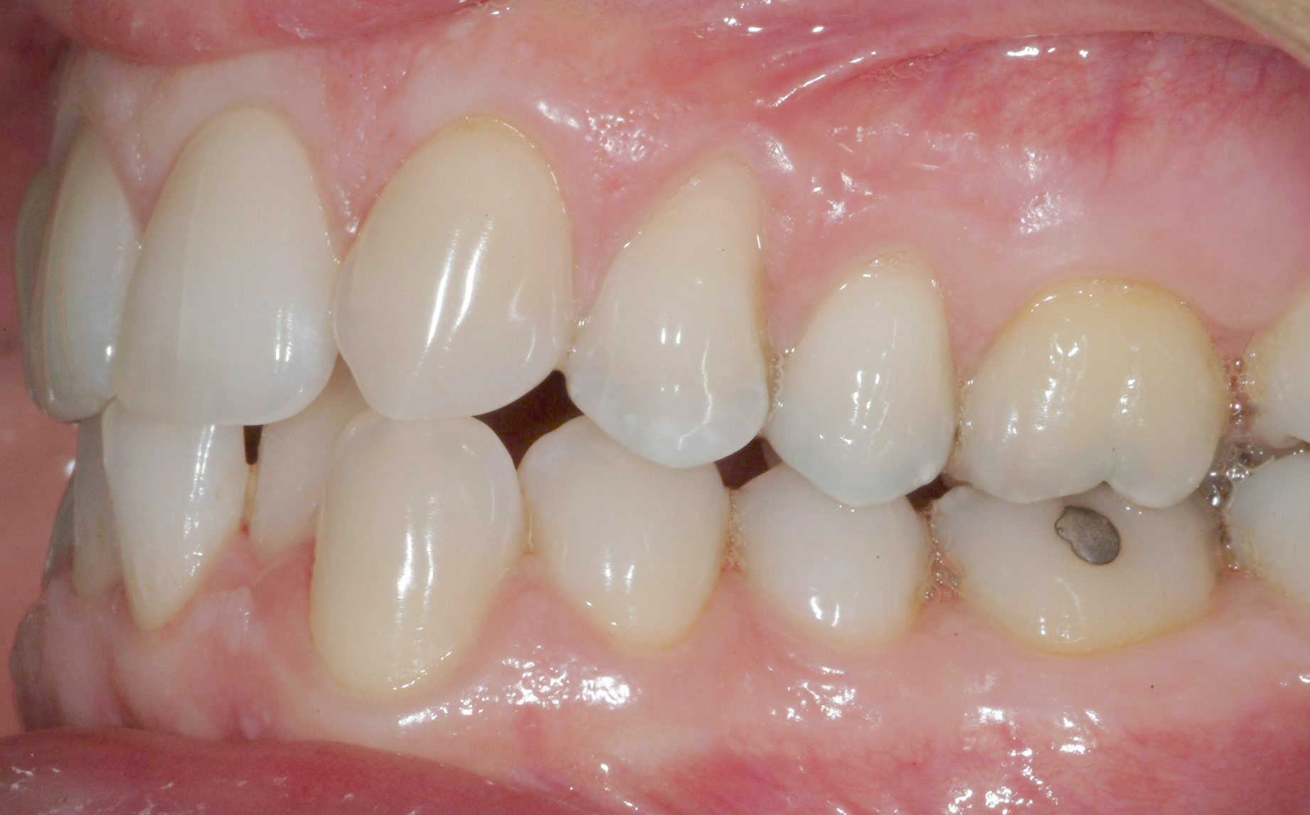
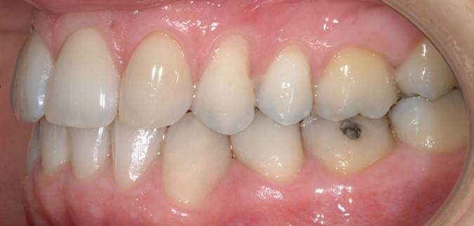
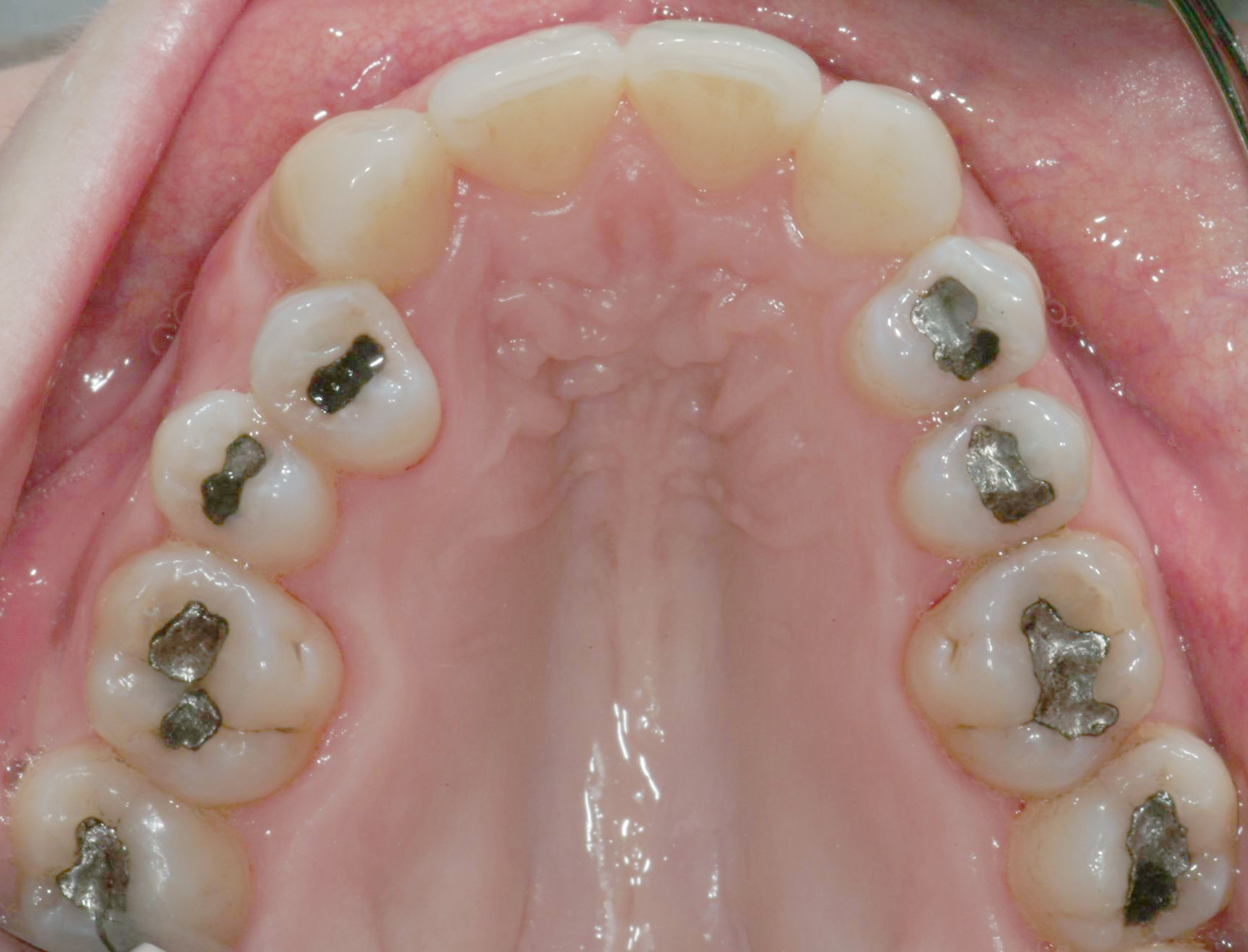
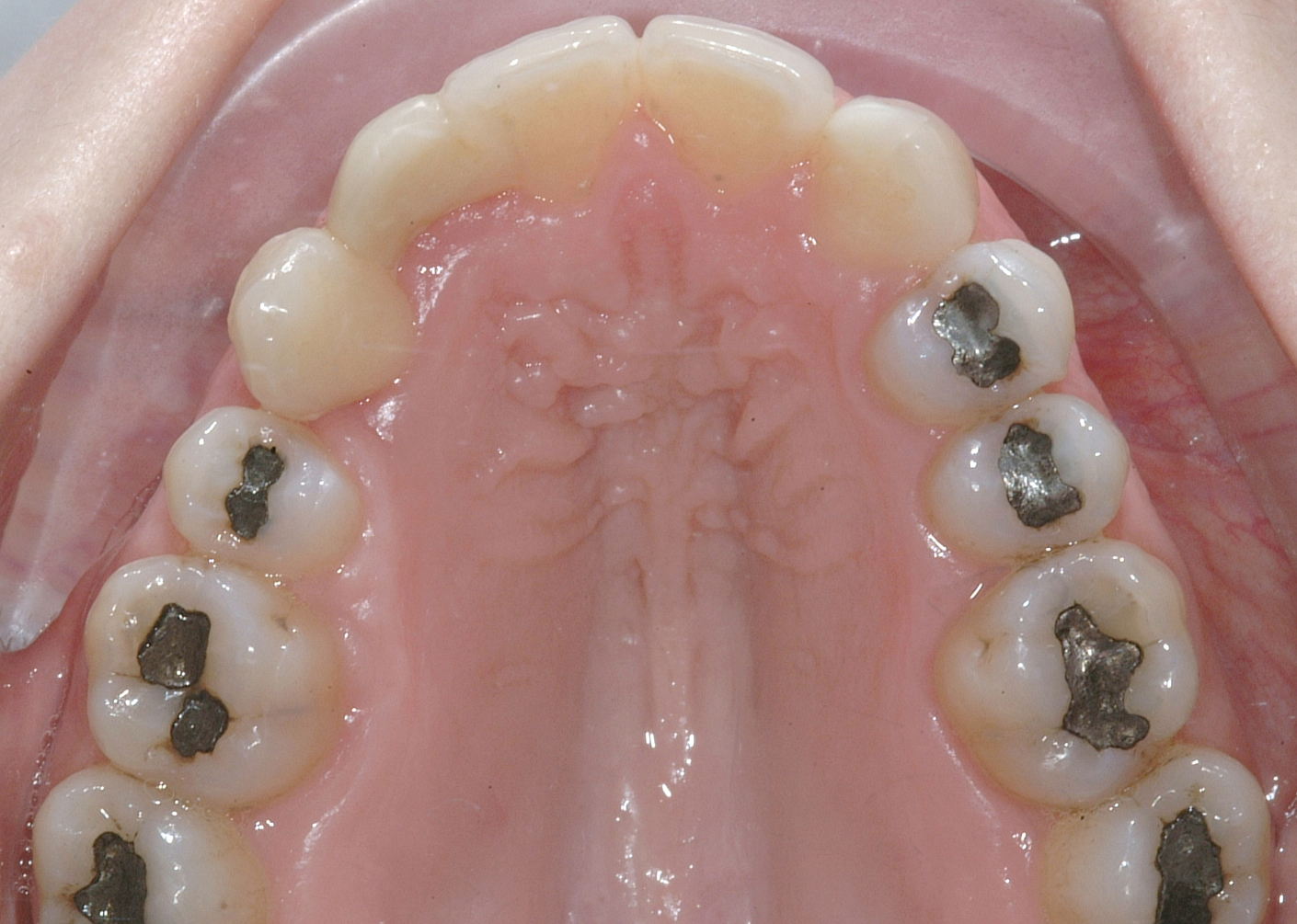
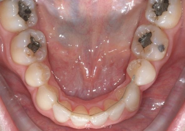
Al termine del trattamento ortodontico, che ha richiesto 24 mesi di terapia, è stata applicata una contenzione fissa3 all’arcata inferiore mediante filo multi-intrecciato coassiale .0195” esteso da 4.4 a 3.5 al fine non solo di stabilizzare il risultato sia sul piano orizzontale sia verticale, ma soprattutto per prevenire adeguatamente l’affollamento dentale terziario (Figure 9a-e).
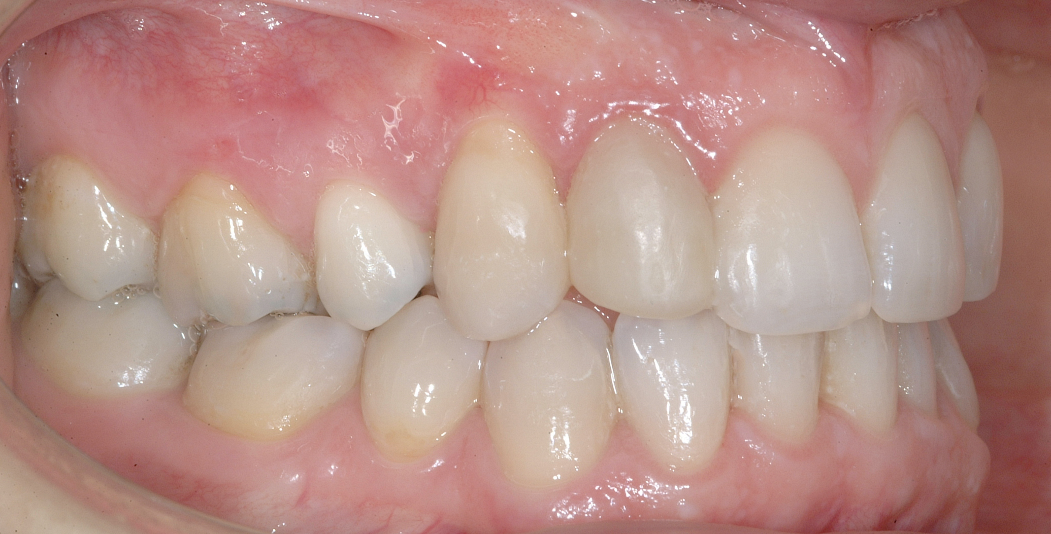
All’arcata superiore è stato mantenuto il pontic in composito in sede 1.2, poiché la paziente, per esigenze personali, aveva preferito rimandare a un tempo successivo la sostituzione implantare di 1.2 agenesico, così come la coronoplastica definitiva di 2.3.
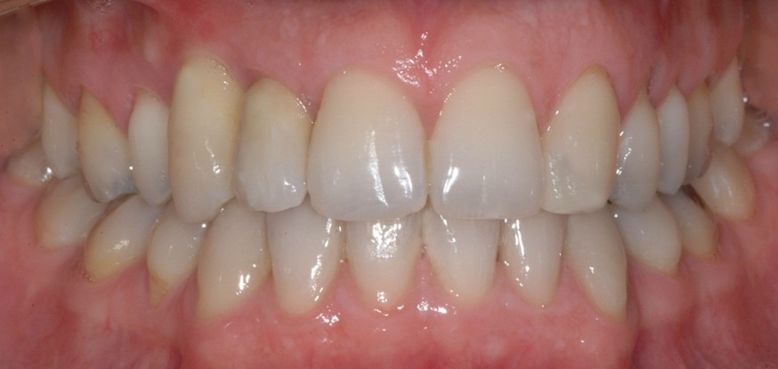
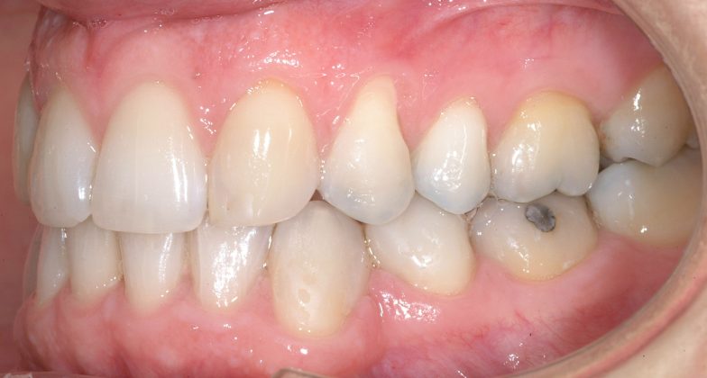
Dopo tre anni dal termine del trattamento ortodontico, la paziente ha richiesto di finalizzare il suo caso; è dunque stata effettuata la sostituzione implanto-protesica dell’elemento 1.2, senza necessità di ulteriori rifiniture ortodontiche, avendo mantenuto, grazie al pontic in composito, un ottimo parallelismo radicolare tra 1.1 e 1.3.
È stata eseguita contestuale terapia rigenerativa, per ottimizzare qualità e quantità dei tessuti nel sito implantare. Come si rileva dalle immagini di follow up, dopo la fase implanto-protesica superiore, è stata applicata anche una parziale contenzione fissa tra gli incisivi centrali superiori e il risultato ortodontico si è mantenuto stabile nel tempo (Figure 10 a-e).
Conclusioni
Il trattamento ortodontico presentato è stato progettato e realizzato in tutte le sue fasi da un solo operatore, mentre la parte chirurgica estrattiva, parodontale e implantare è stata eseguita dallo Specialista in Chirurgia Orale (Dr. Roberto Marino, che ringrazio). Ritengo pertanto fondamentale che, operando in squadra, l’ortodontista e il chirurgo orale pianifichino insieme la gestione del caso, lavorando a “due menti e a quattro mani”, chiave cruciale del successo terapeutico a lungo termine. L’estetica richiesta dalla paziente durante il trattamento è stata rispettata al meglio grazie all’utilizzo della tecnica ortodontica linguale e del pontic estetico adesivo in resina composita, durante e al termine della apertura dello spazio in sede 1.2.
Il caso illustrato, trattato 17 anni fa da neospecialista in ortognatodonzia e poi utilizzato tra i casi selezionati per diventare socio attivo della SIDO (Società Italiana di Ortodonzia), dimostra che i possibili e apparenti limiti di una meccanica ortodontica che si avvale di una apparecchiatura linguale 2D, ovvero che prevede l’uso di soli archi a sezione rotonda e non rettangolari, possono essere superati, gestiti e addirittura valorizzati conoscendone a fondo le caratteristiche e sfruttando la fantasia, sempre partendo da solide conoscenze meccaniche e biomeccaniche, che non sono la stessa cosa e vanno al di là delle esigenze estetiche e di comfort del paziente, completandole e arricchendole, come diceva il mio Maestro, il Prof. Aldo Macchi.
1. Macchi A, Tagliabue A, Levrini L, Trezzi G. Philippe self-ligating lingual brackets. J Clin Orthod. 2002 Jan;36(1):42-5. PMID: 11887642.
2. Macchi A, Beretta M, Cirulli N, et al. Lower incisor intrusion using self-ligating lingual bracket mechanics. EJCO 2015; 3:80-86
3. Beretta M. Contenzione fissa in Ortodonzia: analogica, digitale, responsabile e 4D. Il Dentista Moderno 2022; 11:54-63



