Autori

Roberto Rossi

Medico chirurgo, specialista in Odontostomatologia, Master in Parodontologia, Master in Ortodonzia, Rho (Mi)

Corrispondenza: dr.rossi@sorriderho.it

Disgiunzione palatale con C-Expander in pazienti tardo-adolescenziali
- Ultima modifica: 2025-09-15T16:26:42+02:00
da Paola Brambilla

Abstract

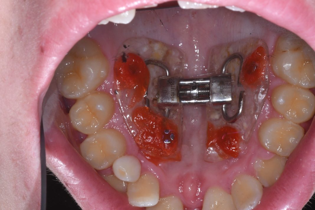
Scopo del lavoro: l’introduzione dei mini impianti ortodontici ha cambiato molti paradigmi in ortodonzia, spostando i limiti di utilizzo di molte apparecchiature. La disgiunzione rapida del palato (RPE) è sempre stata utilizzata nella prima fase della crescita; oggi, con l’avvento di questi strumenti e lo sviluppo delle apparecchiature ibride o esclusivamente ad ancoraggio scheletrico, la disgiunzione palatale può essere utilizzata anche in pazienti adulti (MARPE). Questo lavoro vuole mostrare come l’utilizzo del C-Expander può essere utilizzato in pazienti tardo adolescenziali senza dare luogo agli effetti collaterali spesso associati all’utilizzo della disgiunzione ancorata solamente agli elementi dentari (RPE).

Materiali e metodi: sono stati selezionati due pazienti con problematiche completamente differenti; entrambi per caratteristiche dento scheletriche necessitavano di una disgiunzione palatale, ma le fasi di crescita e le condizioni dentali non erano consone all’utilizzo di apparecchiature ad ancoraggio solo dentale. La metodica utilizzata è quella del singolo appuntamento, ossia si prepara l’apparecchiatura e, nella stessa seduta, si applicano il disgiuntore e i mini impianti, in modo da poter ottenere un ancoraggio primario importante, che garantisca il perfetto funzionamento dell’apparecchiatura.

Discussione: l’utilizzo di questa apparecchiatura offre molti vantaggi, riassumibili in alcuni punti fondamentali, primo fra tutti il fatto di non avere bisogno della dima chirurgica e, quindi, la possibilità di ridurre le radiazioni poiché non si ha l’obbligo di eseguire la CBCT. Il secondo grande vantaggio consiste nel fatto che, se non si riesce a ottenere la ritenzione primaria corretta, è possibile riposizionare il mini impianto senza la necessità di riprendere il lavoro dall’inizio.

Conclusioni: all’interno della famiglia dei disgiuntori con ancoraggio scheletrico (MARPE) il C-Expander appartiene alla categoria Bone-Borne, riduce gli effetti collaterali legati all’ancoraggio ibrido o solo dentale, risulta essere meno costoso in quanto non necessita obbligatoriamente di CBCT e dima chirurgica. La facilità di utilizzo è decisamente la caratteristica fondamentale di questa apparecchiatura.

Palatal disjuntion by C-Expander in late adolescent patients

Aim of the work: the introduction of orthodontic mini-implants has changed many paradigms in orthodontics, shifting the limits of the use of many devices. Rapid palatal disjunction (RPE) has always been used in the early phase of growth, with the advent of these instruments and the development of hybrid or exclusively skeletally anchored devices, palatal disjunction can also be used in adult patients (MARPE). This work aims to show how the C-Expander can be used in late adolescent patients without giving rise to the side effects often associated with disjunction anchored only to the teeth (RPE).

Materials and methods: two patients were selected with completely different problems but both due to dental-skeletal characteristics required a palatal disjunction but the growth phases and dental conditions were not suitable for the use of dental-only anchorage devices. The method used is that of the single appointment, that is, the device is prepared and in the same session, the disjunctor and mini implants are applied to obtain an important primary anchorage and to guarantee the perfect functioning of the device.

Discussion: the use of this device has many advantages, which can be basically summarized in some fundamental points, first of all the fact that it does not need the surgical template, therefore the possibility of reducing radiation as it is not necessary to perform the CBCT. The second major advantage is that if the correct primary retention is not achieved, it is possible to reposition the mini implant without having to restart the work from the beginning. Conclusions: within the family of skeletal anchorage disjunctors (MARPE), the C-Expander belongs to the Bone-borne category, reduces the side effects related to hybrid or dental-only anchorage, and is less expensive as it does not necessarily require a CBCT and surgical template. Ease of use is the fundamental characteristic of this device

Disgiunzione palatale con C-Expander in pazienti tardo-adolescenziali
- Ultima modifica: 2025-09-15T16:26:42+02:00
da Paola Brambilla

Questo contenuto è riservato agli abbonati a Il Dentista Moderno.

Abbonati e continua a leggere su DM Club, l'area premium de Il Dentista Moderno

Sei già abbonato? Effettua il login e leggi l’articolo completo.
[paperlit_lastnumber id=”prj_5c6d8cea0db39″]

Abbonati a Il Dentista Moderno

Disgiunzione palatale con C-Expander in pazienti tardo-adolescenziali - Ultima modifica: 2025-09-15T16:26:42+02:00 da Paola Brambilla
Disgiunzione palatale con C-Expander in pazienti tardo-adolescenziali - Ultima modifica: 2025-09-15T16:26:42+02:00 da Paola Brambilla