La patologia delle mucose orali nella pratica clinica
La valutazione delle mucose orali è un atto imprescindibile nella routinaria visita odontoiatrica. Il riconoscimento di lesioni di varia natura eziopatogenetica è fondamentale per...
Esercizi semplificati in terapia miofunzionale: presentazione di un protocollo terapeutico
Obiettivi. L’obiettivo di questo lavoro è quello di presentare un protocollo di terapia miofunzionale ripetibile eseguito con gli esercizi di logopedia per la riabilitazione...
Mucocele del labbro inferiore: un caso clinico
Riassunto
Viene presentato un caso clinico di cisti da stravaso mucoso del labbro inferiore, risolto mediante exeresi chirurgica. Nella fase operatoria, per la divaricazione è...
Rimozione di cisti mucose del seno mascellare in associazione all’elevazione del pavimento sinusale: una...
Autori:
Matteo Chiapasco
David Palombo
Obiettivi. L’obiettivo di questo lavoro è quello di presentare una nuova tecnica chirurgica micro-invasiva, con approccio intra-orale, che consente l’enucleazione di grandi...
Inquadramento, follow up e terapia delle lesioni del nervo alveolare inferiore
• Federico Biglioli1
• Fabiana Allevi1
• Alessandro Lozza2
1Università degli Studi di Milano, Unità Operativa
di Chirurgia Maxillo Facciale, Ospedale San Paolo, Milano (Direttore: Federico Biglioli)
2Struttura ...
Uso aggiuntivo di metronidazolo e amoxicillina nel trattamento delle infezioni parodontali
>English Version>
Ricardo Teles1
Flavia R. Teles2
1Senior Member of the Staff Department of Applied Oral Science, Center for Periodontology, the Forsyth Institute
2Assistant Member of the Staff Department...
Impronta di precisione in protesi fissa: caratteristiche dei materiali
Enrico Manca
Dino Re1
Gabriele Augusti1
Davide Augusti1
Ugo Torquati Gritti1
1Istituto Stomatologico Italiano, Università degli Studi di Milano, Reparto di Riabilitazione Orale
L’impronta di precisione è uno dei passaggi clinici...
Agenesia degli incisivi laterali superiori: approccio e trattamento
• Niccolò Cenzato1
• Elisabetta Bricchi1
• Pollyanna Pereira1
• Lucia Miggiano1
• Cinzia Maspero1
1Scuola di Specializzazione in Ortognatodonzia Università degli Studi di Milano (Direttore G. Farronato)
Riassunto
Le agenesie...
Infezione da HPV delle mucose orali: rapporto di un caso clinico e ruolo dell’odontoiatra...
Viene presentato un caso di lesione esofitica di tipo papillomatoso del palato duro in un paziente femmina di anni 39, di razza caucasica. Il...
La profilassi antibiotica in odontoiatria
Riassunto
Finalità del lavoro è individuare i criteri e stabilire gli schemi posologici per il trattamento antibiotico profilattico dei pazienti che si sottopongono a terapie...
Parestesia differita: dopo l’estrazione di un dente del giudizio
Riassunto
In seguito a una lesione del nervo alveolare inferiore, nella maggior parte dei casi, la comparsa di un’alterata sensibilità inizia immediatamente dopo l’intervento chirurgico, altre volte...
Enucleazione chirurgica di grossa cisti mascellare superiore in anestesia generale
Riassunto
Case report di enucleazione cisti di 65 mm dal seno mascellare di uomo adulto in anestesia loco-regionale.
La cisti aveva eroso una grossa quota di...
Profili di responsabilità professionale in ortodonzia: errori e complicanze
Claudio Radice1, Marcello Maddalone2, Moira Pellegrinelli3
1Professore a.c. Clinica Odontoiatrica Università
degli Studi Milano Bicocca - direttore: Prof. M. Baldoni
2Ricercatore Clinica Odontoiatrica Università
degli Studi Milano Bicocca...
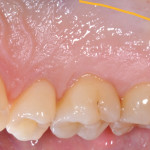
Attuale utilizzo del prelievo epitelio-connettivale in chirurgia mucogengivale
Riassunto
Varie sono le tecniche utilizzate in chirurgia mucogengivale per ottenere prelievi dal palato. In quest’articolo è presentata, in particolare, la tecnica di prelievo epitelio-connettivale....
La chirurgia degli ottavi: dalla programmazione dell’intervento alla gestione delle complicanze
L’avulsione dei terzi molari inferiori è una delle procedure di chirurgia orale maggiormente eseguite e che spesso può risultare difficoltosa, soprattutto se non è...
Trattamento non estrattivo delle II classi con Invisalign®
Scopo di questo lavoro è quello di illustrare, attraverso la presentazione di casi clinici di pazienti adulti, le possibilità di trattamento non estrattivo delle...














