Infezione crociata e rischio biologico in ambito odontoiatrico
• Lorenzo Balsano
Riassunto
L’ambiente in cui operiamo, il cavo orale, e i complessi dispostivi medici che utilizziamo rendono particolarmente complicato il controllo del rischio biologico...
Diastema, frenulo e frenulectomia
Diastema, frenum and frenectomy
La principale indicazione alla frenulectomia mediana superiore è costituita dalla persistenza del diastema interincisivo oltre il fisiologico periodo della fase del...
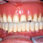
Riabilitazione di arcata superiore edentula mediante overdenture a supporto implantare. Utilizzo di attacchi a...
Riassunto
Obiettivi. Le protesi overdenture supportate da denti sono state per la prima volta documentate circa 150 anni fa, ma la loro realizzazione – mediante...
Tutto nasce da un sorriso Premium
Everything starts with a smile
L’estetica del viso e del sorriso è il terreno di confronto su cui la nuova odontoiatria, di fronte alla crescente...
Il mantenimento della vitalità della polpa in dentizione decidua: strategie terapeutiche e revisione della...
• Luigi Paglia1
• Giuseppe Marzo2
• Raffaella Docimo3
• Elena Bassani1
• Michela Paglia1
• Gianni Gallusi4
• Vincenzo Campanella5
1Dipartimento di Odontoiatria Materno-Infantile - Istituto Stomatologico Italiano - Milano
2Professore...
Metodi di riparazione intraorale di protesi fisse: procedure tecniche e cliniche Protocolli di...
Da oltre cinquant’anni le ceramiche dentali rappresentano il materiale estetico d’elezione per la realizzazione di protesi fisse in metallo-ceramica. Purtroppo la fragilità di questo...
Cisti naso-palatina Case report
Riassunto
In questo articolo si analizza un caso esemplificativo del trattamento della cisti naso-palatina. Si considereranno eziopatogenesi, sintomi, peculiarità radiografiche, caratteristiche istopatologiche, rapporti anatomici, approccio...
Tecniche ambulatoriali di sedazione cosciente in odontoiatria
Riassunto
Il lavoro descrive due metodiche di sedazione cosciente da utilizzare a livello ambulatoriale come supporto per il trattamento di casi difficili. Entrambe consentono, infatti,...
Come prevenire e trattare le “white spot lesions” in pazienti sottoposti a trattamento ortodontico
Le “white spot lesions” sono dei segni di decalcificazione dello smalto dentale molto spesso visibili dopo lo sbandaggio ortodontico. L’igiene orale nei pazienti sottoposti...
Indicazioni per un uso consapevole della CBCT in odontoiatria
La radiologia è essenziale in ambito odontoiatrico e maxillo-facciale per individuare la presenza e il grado della patologia presente; svolge inoltre un ruolo determinante...
Il ritrattamento endodontico: indicazioni, strumenti consigliati e procedure
Riassunto
Una percentuale dei trattamenti endodontici primari va incontro a fallimento: questo si può evidenziare, clinicamente, nel momento in cui si formi una fistola, quando...
Ranule e mucoceli del cavo orale: eziopatogenesi, varianti e trattamento
Alessandro Luigi Rossi1
Laura Serioli2
Andrea Montinari2
Alberto Clivio2
Matteo Chiapasco3
1Specialista in Chirurgia Odontostomatologica, Unità di Chirurgia Orale, Clinica Odontoiatrica - Dipartimento di Medicina,...
Il ruolo dell’ortodontista nella diagnosi e nel trattamento del russamento e delle OSA
• Domenico Viscuso1,5
• Massimiliano Di Giosia2
• Giulia Borromeo3
• Marco Persia4
• Vincenzo Piras5
1Istituto Stomatologico Italiano, Milano, Reparto di Gnatologia
2Consulente odontoiatrico per il Centro di Medicina...
Le miniviti ortodontiche
Riassunto
Introduzione. Nell’ultimo decennio la letteratura scientifica si è concentrata nel sottolineare l’utilità delle miniviti nel migliorare il piano di trattamento ortodontico in termini di velocità e...
Prevenzione nel paziente ortodontico
Riassunto
È ormai comprovato come una scarsa igiene orale sia la causa principale della maggior parte dei danni ai tessuti molli e duri del cavo...
Il paziente cardiopatico dal dentista
Le malattie del sistema cardiocircolatorio rappresentano attualmente in Italia uno dei più importanti problemi di sanità pubblica. L’aggiornamento monografico presentato si propone di riassumere...















