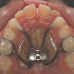
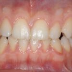
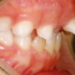
L’ortodonzia mini-invasiva in caso di prossimità radicolari Case Report Premium
Riassunto
Scopo del presente lavoro è descrivere un caso clinico in cui è stato necessario servirsi dell’ortodonzia per risolvere un problema di natura parodontale: in...
ABO Discrepancy Index Valutazione di due sistematiche Premium
È questo l’indicatore più affidabile per descrivere la complessità di una malocclusione e non è influenzato né dall’età, né dal sesso, né dallo stadio di...
Un apparecchio funzionale di scelta in corso di terapia ortodontica: l’attivatore “ellenizzato” ...
Caratteristiche costruttive e modalità d’uso di un apparecchio funzionale utilizzabile sia in epoca precoce in corso di terapia intercettiva, sia nelle ultime fasi di...
Dente fantasma: aspetti ortodontici e radiologici
Si illustrano le possibili varianti dell’odontodisplasia regionale, anomalia conosciuta come “dente fantasma” che origina dalla componente ectodermale e mesodermale del dente. Una rara ma...
Allineatori ortodontici e ortopedia mandibolare. Case report Premium
Due casi clinici con malocclusione di classe II in pazienti in crescita trattati con avanzamento mandibolare tramite la nuova funzione del dispositivo Invisalign®
Attualità nell’utilizzo del morfocorrettore di Frankel nelle seconde e terze classi scheletriche
Vengono valutate l’efficacia e l’utilità complessiva nella pratica clinica attuale del morfocorrettore di Frankel per il trattamento delle seconde e terze classi scheletriche in...
L’espansione del palato, come e quando attuarla
Rappresenta senza dubbio il “gold standard” nei casi di morso crociato in pazienti in crescita, tuttavia è possibile effettuare tale terapia anche in altre circostanze. Lo spiega Alberto Caprioglio, direttore della Scuola di specializzazione in Ortognatodonzia presso l’Università degli Studi dell’Insubria, rispondendo ai dubbi di una giovane odontoiatra.
L’ortodonzia minimamente invasiva con ancoraggio strategico nel trattamento delle fratture radicolari
Quando si trattano pazienti con fratture coronali e radicolari è sempre richiesto un trattamento multidisciplinare e l’ortodonzia può essere di grande aiuto se si...
Comportamento eruttivo anomalo di un mesiodens monitorato con CBCT
Viene descritto il comportamento anomalo di un elemento sovrannumerario incluso che, da un orientamento inizialmente favorevole a una eruzione spontanea, si è ruotato di...
Ortodonzia mini-invasiva con ancoraggio strategico in caso di denti sovrannumerari: case report
Nel caso di eruzione in arcata di denti soprannumerari una delle opzioni terapeutiche è l’estrazione e la gestione dello spazio che ne deriva. In...
Metodica semplificata per il bandaggio indiretto con attacchi 2D
Simplified technique for indirect bonding with 2D brackets
Scopo del lavoro è quello di illustrare una semplice tecnica per realizzare in studio delle mascherine in...
Trattamento dell’affollamento nella dentatura mista
The relieving of crowding in the mandibular arch in the mixed dentition
Una malocclusione che non si autocorregge, anzi tende a peggiorare nel tempo: l’articolo...
L’ipertrofia gengivale indotta da farmaci Revisione della letteratura
Laura Mantovani1 Cecilia Puddu1 Cinzia Maspero2 Giampietro Farronato3
Drug-induced gingival overgrowth: a literature review
Tramite la banca dati Medline è stata fatta una revisione sistematica della letteratura sul...
Suoni linguistici e strutture anatomiche del cavo orale
Wanda Breviglieri Genero
Linguistic sounds and anatomical structures of the oral cavity
In ortodonzia il suono si fa immagine per essere emozione e pensiero
Riassunto
La suggestività fonico-articolatoria...
Valutazione della prevalenza dei differenti tratti malocclusivi: revisione della letteratura
Evalutation of the prevalence of different malocclusal traits: a review of the literature
Diversi studi dimostrano come la presenza di malocclusioni nella società moderna sia...
L’espansore rapido tipo Haas
Questi abstract esaminano un dispositivo ortodontico ben noto agli specialisti in ortodonzia: l’espansore rapido tipo Haas. Generalmente l’ancoraggio si ottiene mediante delle bande sui...














