Approccio Surgery First alle malocclusioni dentoscheletriche: una nuova metodica che riduce i tempi... Premium
Una metodica che si differenzia dal trattamento ortodontico-chirurgico tradizionale per l’assenza della fase pre-chirurgica di decompensazione ortodontica e consta di due sole fasi: l’intervento chirurgico di riposizionamento delle basi scheletriche e la terapia ortodontica post chirurgica. In questo lavoro gli autori confrontano i dati riguardanti la loro serie di pazienti con quelli desunti dalla letteratura internazionale.
Ruolo della stampa 3D in fase diagnostica e nella preparazione chirurgica dei casi complessi Premium
Una precisa valutazione pre-chirurgica con questa tecnologia può consentire interventi complessi con notevole riduzione dei rischi , dei tempi e con pazienti ben informati sulla procedura chirurgica pianificata.
Come si valuta la difficoltà dell’intervento di estrazione dei terzi molari? ... Premium
Stabilire il grado di complessità di un’estrazione dei terzi molari è fondamentale sia per il chirurgo che per il paziente. Gli aspetti clinico-radiografici forniscono...
Autotrapianto di terzo molare superiore: case report con 6 mesi di follow up Premium
Un’alternativa alla protesi fissa o rimovibile, ma anche un trattamento per migliorare la prognosi di denti persi. Questo case report mostra l’efficacia nel breve...
Chirurgia degli elementi dentari inclusi con applicazione delle tecniche piezoelettriche Premium
Un intervento odontoiatrico di routine, che può essere relativamente semplice o estremamente arduo in relazione a molte variabili legate all’elemento da estrarre. Il presente...
Il rialzo del seno mascellare per via crestale con strumenti rotanti: risultati a 4...
Una procedura, oramai ben documentata, in grado di aumentare l’altezza di osso disponibile nel mascellare posteriore, consentendo in tal modo si inserire impianti dentali di lunghezza ottimale. Uno studio retrospettivo presenta i risultati ottenuti a 4 anni di distanza dall’intervento di rialzo del seno mascellare e contestuale inserimento implantare con una metodica mininvasiva ad approccio crestale
Impianto post-estrattivo in settore latero-posteriore: tecnica chirurgica mininvasiva Premium
Esistono molte tecniche per approcciare un rialzo del seno mascellare per via crestale. Matteo Invernizzi illustra un caso dove ha utilizzato le frese implantari tradizionali a un basso numero di giri per avvicinarsi alla parete del seno, per poi chiedere un “secondo parere” a Tiziano Testori, past president della IAO e riferimento internazionale nelle tecniche di rialzo del seno mascellare.
Efficacia dell’associazione di bromelina, serratio-peptidasi, metilsulfonilmetano e vitamina C nel discomfort post-chirurgico... Premium
La maneggevolezza e la quasi totale assenza di effetti collaterali candidano questa associazione come ottima alternativa o ausilio aggiuntivo ai classici FANS e corticosteroidi nel trattamento post-operatorio del paziente sottoposto all’estrazione del terzo molare inferiore.
Rigenerazione verticale con griglie in titanio e rigenerazione parodontale: caso clinico a 7... Premium
L’utilizzo delle griglie in titanio nell’induzione della rigenerazione ossea dei siti edentuli è a oggi considerata una soluzione dall’efficacia nota e riproducibile, per i...
Rigenerazione perimplantare con sostituto osseo e membrana corticale di origine equina un caso... Premium
Viene presentato un caso clinico in cui sono stati utilizzati un innesto osseo equino in forma granulare e una membrana corticale, anch’essa ottenuta da...
Rialzo del seno mascellare per via crestale mediante osseodensificazione
Con l’obiettivo di aumentare la stabilità dell’impianto dentale ai fini del successo dell’osteointegrazione, è stato sviluppato un nuovo metodo per la preparazione dell’osteotomia implantare....
La sutura in chirurgia orale, come influenza la guarigione Premium
I fattori chiave per la buona guarigione delle lesioni del cavo orale
Predisporre un lembo di dimensioni e spessori adeguati
Scegliere la tecnica...
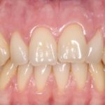
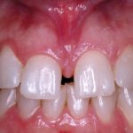
Il trattamento di copertura radicolare nei casi di recessioni multiple
Quali sono le condizioni necessarie e sufficienti a giustificare l’esecuzione di un innesto connettivale nel trattamento delle recessioni gengivali multiple? È quanto chiede Sebastian Tansella a Francesco Epifani, professionista dall’esperienza decennale nel campo della chirurgia orale e della microchirurgia mucogengivale.
I frenuli labiali: diagnosi e tecniche chirurgiche nel bambino, nell’adolescente e nell’adulto
Quali scenari clinici possono avere un’indicazione per la frenectomia labiale mediana superiore che giustifichi il riposizionamento precoce del frenulo?
L’utilizzo del laser rappresenta una tecnica...
Reimpianto intenzionale di un elemento semi-incluso con l’utilizzo di amelogenine e osso bovino...
In questo case report viene documentata l’estrazione di un elemento incluso in sede canina e il suo successivo reimpianto. La guarigione è stata seguita...
Utilizzo di mesh in titanio nella rigenerazione ossea ai fini implantoprotesici: case report
Le griglie in titanio possono essere utilizzate con successo in GBR come alternativa alle classiche membrane non riassorbibili, sebbene richiedano le medesime abilità chirurgiche....















