Inquadramento, follow up e terapia delle lesioni del nervo alveolare inferiore
• Federico Biglioli1
• Fabiana Allevi1
• Alessandro Lozza2
1Università degli Studi di Milano, Unità Operativa
di Chirurgia Maxillo Facciale, Ospedale San Paolo, Milano (Direttore: Federico Biglioli)
2Struttura ...
La chirurgia degli ottavi: dalla programmazione dell’intervento alla gestione delle complicanze
L’avulsione dei terzi molari inferiori è una delle procedure di chirurgia orale maggiormente eseguite e che spesso può risultare difficoltosa, soprattutto se non è...
Enucleazione chirurgica di grossa cisti mascellare superiore in anestesia generale
Riassunto
Case report di enucleazione cisti di 65 mm dal seno mascellare di uomo adulto in anestesia loco-regionale.
La cisti aveva eroso una grossa quota di...
Diastema, frenulo e frenulectomia
Diastema, frenum and frenectomy
La principale indicazione alla frenulectomia mediana superiore è costituita dalla persistenza del diastema interincisivo oltre il fisiologico periodo della fase del...
Rigenerazione ossea guidata con griglie in titanio in settore estetico xCase report
Riassunto
Obiettivi. Rigenerazione ossea mediante l’utilizzo di micro mesh in titanio e osso bovino deproteinizzato con contestuale inserzione di impianto in zona ad alta valenza...
Rara neoformazione della mucosa geniena. Un case report
Marco Berardini
Enzo Di Iorio
L'ondotoiatria e il chirurgo orale sono spesso chiamati a fare diagnosi circa neoformazioni a carico dei tessuti molli del cavo...
Chirurgia orale: patologie sistemiche che aumentano il rischio d’infezione
Riassunto
La chirurgia in genere è un trattamento invasivo che espone il paziente operato a rischio infettivo. La chirurgia orale è spesso eseguita a livello...
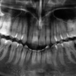
Parestesia differita: dopo l’estrazione di un dente del giudizio
Riassunto
In seguito a una lesione del nervo alveolare inferiore, nella maggior parte dei casi, la comparsa di un’alterata sensibilità inizia immediatamente dopo l’intervento chirurgico, altre volte...
Approccio minimamente invasivo nel rialzo di seno mascellare per via crestale
Minimally invasive way in maxillary sinus lift through crestal approach
Vengono presentati due casi di edentulismo del mascellare superiore trattati con una tecnica minimamente invasiva...
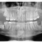
Autotrapianto di ottavo incluso a sostituzione di un settimo irrimediabilmente compromesso: case report
Luca Boschini1
Michele Melillo2
1Odontoiatra, libero professionista, Rimini
2Odontoiatra, libero professionista, Manfredonia (FG)
Specializzato in Chirurgia odontostomatologica presso l’Università G. D’Annunzio di Chieti
Riassunto
I trapianti dentali sono un capitolo...
Rimozione di cisti mucose del seno mascellare in associazione all’elevazione del pavimento sinusale: una...
Autori:
Matteo Chiapasco
David Palombo
Obiettivi. L’obiettivo di questo lavoro è quello di presentare una nuova tecnica chirurgica micro-invasiva, con approccio intra-orale, che consente l’enucleazione di grandi...
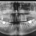
Trattamento chirurgico di un’estesa cisti aneurismatica mandibolare: un case report
Surgical treatment of a large aneurysmal mandibular cyst: a case report
I risultati di questo case report ci suggeriscono come il processo di ossificazione spontanea...
Corticotomie a scopo ortodontico: protocolli clinici e revisione della letteratura
L’intervento di corticotomia dento-alveolare è una metodica chirurgica consolidata, considerata una valida opzione terapeutica nel trattamento ortodontico del paziente adulto. Il meccanismo d’azione alla...
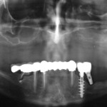
Chirurgia implantare guidata per il mascellare edentulo
L’osteointegrazione di impianti dentali endossei è universalmente accettata dai clinici di tutto il mondo sulla base di una ricerca pre-clinica e clinica significativa. Attualmente...
Chirurgia implantare in pazienti in terapia con farmaci anti-osteoporosi
Gregorio Guabello, Medico Chirurgo, Specialista in Medicina Interna ed Endocrinologia http://www.cmvm.com/lista-medici/guabello/
Con il crescente invecchiamento della popolazione, l’odontoiatra intercetta sempre più spesso pazienti in età medio-avanzata o...
Nuove tendenze in chirurgia ortognatica
Latest trends in orthognathic surgery
Negli ultimi anni la chirurgia ortognatica ha subito un notevole sviluppo sia nelle procedure sia nelle tecniche utilizzate. Basti pensare...















