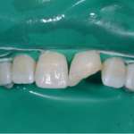
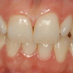
Resmile template mode: case report
In questo video viene illustrato un caso clinico in cui è stata applicata la tecnica Resmile template mode. Si tratta di un nuovo modello restaurativo che consente di ovviare ai limiti delle tecniche tradizionali a mano libera e di aumentare predicibilità e precisione del trattamento estetico, rendendo il flusso di lavoro più semplice e veloce.
I vantaggi della chirurgia piezoelettrica, novità videocorsi con Angelo Cardarelli
Il nuovo video-corso sugli intarsi, realizzato in collaborazione con il dottor Luca Tacchini, mira a fare chiarezza in maniera didattica e allo stesso tempo visiva e pratica, su tutti quei momenti la cui precisione è fondamentale per approcciare correttamente la riabilitazione del paziente con restauri parziali.
Anestesia locale mediante sistema STA per inserimento di un impianto post-estrattivo a superficie macchinata
Il video propone un intervento di chirurgia implantare durante il quale è stato utilizzato un sistema innovativo per la somministrazione dell’anestetico locale. L’intervento ripreso mostra...
Tre video, dallo splintaggio al preplating passando per l’impianto
SPLINTAGGIO POST-ORTODONTICO INFERIORE CON COMPOSITO RINFORZATO IN FIBRA Il Dr. Davide Farronato mostra i passaggi necessari per la realizzazione di uno splintaggio in composito rinforzato...
La comunicazione odontoiatra-paziente
La comunicazione odontoiatra-paziente Migliorare la relazione con la PNL e il counseling Il volume di Michele Cassetta – odontoiatra ed esperto di comunicazione in ambito sanitario...
Endodonzia, conservativa e ritrattamenti, tre video arricchiscono il nostro sito
Lesione endo perio Perforazioni iatrogene di un elemento dentario possono chiaramente avere come conseguenza la formazione di lesioni endo-parodontali, che spesso compromettono la prognosi di...
Faccette in ceramica integrale
Faccette in ceramica integrale: preparazione e fase protesica provvisoria Il dottor Coraini ripercorre in tre video le fasi fondamentali per la realizzazione di due faccette...
Ė di scena la protesi
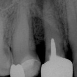
Per garantire un’adeguata resistenza alle forze masticatorie, l’elemento devitalizzato viene ricostruito in seguito all’inserzione di due perni endocanalari. Nel video Ricostruzione di elemento pluriradicolato...
Chirurgia on line in tre video
Estrazione di elemento dentario 18 in completa inclusione ossea Il video mostra l’avulsione di un 18 in completa inclusione ossea. Questa tipologia...
Restauro vestibolare micro-invasivo (Approccio multidisciplinare)
Questo interessante video presenta la realizzazione di un restauro vestibolare estetico eseguito tramite un approccio multidisciplinare che prevede la realizzazione di un lembo di...
Nella categoria “video” tre filmati di patologia orale
Leucoplachia sulla mucosa alveolare in zona 24 Biopsia escissionale con tecnologia laser di una lesione leucoplasica sulla mucosa alveolare. In questo tipo di biopsie il prelievo...
On line quattro video di ortodonzia e odontoiatria pediatrica
Splintaggio linguale intercanino in fibra polietilenica: il primo video riassume le proprietà che caratterizzano un corretto splintaggio linguale intercanino che includono estetica, funzionalità e...











