Beatrice Lorenzin: bisogna coltivare le proprie eccellenze in medicina
"L'Italia è un paese a rischio di analfabetizzazione scientifica", è il monito lanciato oggi dal ministro della Salute, Beatrice Lorenzin, in occasione del convegno...
Nasce la Società Italiana di Protesi Dentaria e Riabilitazione Orale
E’ nata alla fine del 2021 la SIPRO, Società Italiana di Protesi e Riabilitazione Orale, una società che vuole riunire tutte le persone interessate alla protesi e alle discipline correlate, all’insegna dell’inclusività e del pragmatismo.
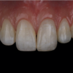
La polimerizzazione prolungata migliora durata e qualità dei restauri
La polimerizzazione prolungata di un adesivo universale potrebbe avere effetti positivi sulla qualità di un restauro. Con questa idea, un gruppo di ricercatori universitari...
Bruxismo e occlusione dentale ancora una volta allo studio
Il bruxismo è associato a diversi fattori, alcuni dei quali riguardano la bocca, come l'occlusione, l'articolazione e la forma del viso, mentre altri sono...
I vincitori dell’edizione italiana del Global Clinical Case Contest 2020/2021
Dentsply Sirona annuncia la vincitrice dell’edizione italiana del concorso universitario mondiale di conservativa organizzato fin dal 2004 che dovrà a questo punto difendere i colori italiani nella finalissima internazionale del prossimo 24 giugno.
60° Anniversario Amici di Brugg: continuiamo a guardare al futuro
Quest’anno, in onore del 60° Anniversario dell’Associazione, il Congresso Amici di Brugg si terrà a Stresa dal 29 giugno al 1 luglio, presso lo...
Decreto Milleproroghe: niente esenzione IVA per i DPI
Le Commissioni parlamentari hanno concluso l’esame del Decreto Legge 183/20 approvando alcuni emendamenti, ma non altri. Tra quelli scartati c’è anche l’emendamento relativo all’esenzione IVA per i dispositivi di protezione individuale.
ANDI Roma esprime la sua soddisfazione per le nuove normative nel Lazio
In un comunicato stampa, ANDI Roma ha espresso tutta la sua soddisfazione per l'approvazione della Delibera della Giunta Regionale del 9 settembre 2015 sul Bollettino...
Il controllo delle infezioni, come codificarlo meglio negli studi dentistici
Il controllo delle infezioni, anche nel contesto odontoiatrico, rappresenta una priorità assoluta. D'altro canto, la pandemia da COVID-19 ha ulteriormente evidenziato la necessità di...
Calligrafia dei medici incomprensibile: stampatello per evitare errori
E' stato dimostrato che scrivere in stampatello evita ben l'84% degli errori nelle prescrizioni mediche, diminuendo drasticamente il numero di errori sanitari che si...
Prorogata la possibilità di assumere ASO senza titolo
È stata prorogata di dodici mesi la possibilità di assumere gli ASO che non hanno ancora conseguito il titolo e devono quindi concludere il corso di formazione.
La Banca d’Italia annuncia il suo sostegno alle famiglie dei camici caduti durante il...
La Banca d’Italia sosterrà le famiglie dei medici, degli odontoiatri e degli infermieri che hanno perso la vita a causa del Covid-19.
Terremoto Centro Italia: raccolta fondi Andi onlus
Il terremoto che nei giorni scorsi ha straziato il nostro paese è un dramma che ci coinvolge tutti. ANDI e la sua Fondazione ANDI...
Riforma dello statuto Enpam
Ė stato dato il via libera alla riforma dello statuto Enpam: il numero dei componenti del consiglio d'amministrazione passa da 27 a 17, ci...
Burnout, negli USA colpisce anche i dipendenti strutturati
Il burnout, la sindrome legata al lavoro-correlato, è un problema che interessa tutte le professioni, in modo particolare quelle sanitarie. Anche il mondo odontoiatrico...














