Effetto protettivo del consumo lieve di alcool sulla salute perimplantare
Carr e colleghi hanno constatato l'assenza di studi che valutassero gli effetti del consumo di alcol sulla salute perimplantare ed, eventualmente, nello sviluppo della perimplantite.
Possibili vantaggi di free gingival graft preimplantare
Lo studio in esame valuta i possibili vantaggi derivanti dall’innesto preventivo di tessuto cheratinizzato sul successivo trattamento implanto-protesico. La possibilità di impiegare tale tecnica dipende necessariamente da un’attenta valutazione della quota di mucosa a livello del sito edentulo.
I supporti visivi per dare spiegazioni al paziente parodontale
La prevenzione e il trattamento della malattia parodontale si basano strettamente sui livelli di consapevolezza e di collaborazione raggiunti dal paziente. Lo studio preliminare qui presentato propone l’impiego, in questo senso, di supporti visivi, metodica già impiegata con successo in altri ambiti della medicina e anche dell’odontoiatria.
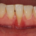
Recessioni gengivali: fattori predisponenti
Le recessioni gengivali costituiscono una tematica sempre attuale e, anzi, stanno incontrando un maggiore interesse sia da parte dei clinici che da quello dei...
Quale tecnica e quali materiali per la ricopertura delle recessioni gengivali singole?
In tema di recessione gengivale, secondo la letteratura scientifica, sono stati proposti numerosi protocolli per quanto riguarda il riposizionamento del lembo a livello coronale,...
Recessioni gengivali: lembo avanzato coronalmente, tunnel technique; connective tissue graft e derivati di matrice...
Un trial clinico randomizzato si è proposto di valutare due combinazioni chirurgiche doppiamente opposte nel trattamento delle recessioni gengivali. I risultati, a due anni di follow-up, evidenziano il ruolo mantenuto dall’innesto connettivale nella definizione della metodica gold standard.
L’uso del PRF nel trattamento di recessioni multiple
Delle diverse tecniche proposte per il trattamento delle recessioni gengivali multiple, la più nota è probabilmente il lembo avanzato coronale (CAF). Questo può essere impiegato da solo o accoppiato all'inserimento di un innesto connettivale (CTG) di provenienza palatina.
Un raro caso di cisti parodontale laterale: caso clinico
A rare case of lateral periodontal cyst: clinical case
Alberto Merlini1, Joseph Garibaldi2, Matteo Piazzai3, Luca Giorgis, Paolo Balbi3
1 Direttore medico di II livello, Struttura complessa di Odontostomatologia, Ospedale...
Batteri probiotici per la terapia parodontale
Effetto di tavolette sciolte in bocca contenenti il probiotico Lactobacillus salivarius sui batteri parodontopatogeni: studio clinico randomizzato, doppio cieco, placebo-controllo
Probiotic effects of orally...
La diagnostica per immagini in parodontologia
L'imaging rappresenta il secondo livello della diagnostica della malattia parodontale. L'esame standard è costituito dalla radiografia endorale periapicale: nell'approccio al sospetto di parodontopatia, può essere indicato valutare il quadro dell'intera dentatura attraverso lo status radiografico, da alcuni chiamato anche “panoramica di endorali”.
Prelievo di tessuto dal tuber maxillae e posizionamento con lembo parziale o totale a...
I lembi a spessore totale o parziale vengono utilizzati per consentire l’ispessimento dei tessuti molli attorno agli impianti. Obiettivo di questo recente studio è valutare l’aspetto della cheratinizzazione e l’aumento dello spessore del tessuto che matura dopo il posizionamento di connettivo sotto o sopra il periostio.
Aspetti biomolecolari della risposta alla terapia non chirurgica
Le moderne tecnologie della biologia molecolare hanno aperto grandi opportunità a una più accurata conoscenza dei processi biochimici che sovrintendono alle più importanti patologie. Essendo la malattia un quadro essenzialmente infiammatorio, sono stati ritrovati legami con l'attività di numerose citochine proinfiammatorie, enzimi come le metalloproteinasi di matrice (MMP) e molto altro...
Gli effetti del fumo sulla salute parodontale Premium
Molte evidenze scientifiche legano il fumo a problemi parodontali e perimplantari. L’eliminazione di questa abitudine deve essere considerata una componente essenziale per ottimizzare l’effetto della terapia parodontale non chirurgica e chirurgica. Senza questo i risultati ottenuti non potranno che essere un compromesso terapeutico.
Ozono nella terapia causale parodontale
Un interessante studio microbiologico giapponese ha valutato l'azione di gel ozonizzati su una varietà di specie microbiche, con particolare riguardo per quelle parodontali. Il lavoro ha osservato un'azione battericida nei confronti di Porphyromonas gingivalis, Prevotella intermedia, Fusobacterium nucleatum, Aggregatibacter actinomycetemcomitans ed Eikenella corrodens.
Rigenerazione ossea di difetti infraossei: i risultati di una metanalisi
Recentemente il gruppo italiano di Clementini si è proposto di effettuare una revisione sistematica della letteratura, al fine di valutare l'efficacia delle chirurgie parodontali mininvasive, in termini di outcome clinici, radiografici e patient‐related. L'outcome secondario è invece rappresentato dalla comparazione con gli approcci chirurgici tradizionali.
Utilizzo di fattori di crescita fibroblastici nella rigenerativa parodontale
Il complesso ingegneria tissutale/medicina rigenerativa rappresenta ormai una realtà terapeutica applicabile a diversi substrati organici, con il fine di riparare tessuti deficitari e ripristinare...














