Le membrane in parodontologia
Sono strumenti essenziali per la rigenerazione tissutale guidata, utilizzate per promuovere la guarigione dell’osso e del legamento parodontale. Questo articolo esplora le diverse tipologie...
Parodontite, il ruolo dell’inflammasoma NLRP3
La parodontite è una malattia infiammatoria del cavo orale che si sviluppa a causa degli effetti dannosi della risposta immunitaria contro la microflora subgengivale....
La stabilità parodontale dopo l’allungamento della corona clinica
La stabilità parodontale è uno dei fattori principali per valutare la salute dentale, ma anche il successo di una terapia. Un gruppo di ricercatori...
Trattamento parodontale non chirurgico, due metodi a confronto
Il trattamento parodontale non chirurgico può essere condotto in diversi modi, più o meno consolidati. Un gruppo di ricercatori afferenti all'Università di Pavia ha...
Perimplantite, quanto è efficace la cura di supporto dopo la terapia
La perimplantite è una patologia che richiede un approccio di intervento tempestivo e costante nel tempo. La miglior cura resta però la prevenzione primaria,...
Collaborazione “orto – perio”: una sinergia per incrementare funzione ed estetica Premium
Un approccio basato sulla stretta cooperazione tra ortodonzista e parodontologo, con il supporto costante da parte dell’igienista, consente di sviluppare azioni coordinate tali da implementare i risultati clinici, favorendo la riduzione degli indici infiammatori e la risoluzione della malattia parodontale in fase attiva, fondamentali per l’esecuzione dei movimenti ortodontici.
Un coadiuvante nel trattamento non chirurgico delle patologie parodontali Premium
In questo studio preliminare in vivo è stata valutata una soluzione a base di sodio ipoclorito a bassa concentrazione 0,02% con alta concentrazione di surfactante come coadiuvante di una corretta tecnica di spazzolamento nel controllo della placca batterica sopragengivale.
Acido 5-delta-aminolevulinico: una nuova frontiera nella terapia fotodinamica Premium
L’eliminazione totale dei batteri dopo la terapia parodontale diventa un fattore chiave per garantire la stabilità del risultato ed evitare ricolonizzazioni dei siti trattati. Il metodo non invasivo qui presentato, che agisce attraverso l’attivazione di un fotosensibilizzante, inserito nelle tasche parodontali, con una luce led artificiale 630nm, potrebbe essere una terapia di supporto alle manovre parodontali non chirurgiche favorendo i processi di perdita dell’infiammazione dei tessuti parodontali anche nelle tasche più profonde.
Esiste un’associazione tra parodontite e ipertensione arteriosa? Free
La parodontite è l’infiammazione più comune nell’uomo e può potenzialmente contribuire alla risposta immunitaria pro-ipertensiva in diversi modi; potrebbe anche essere associata a una disfunzione endoteliale permanente. Inoltre, è diventato evidente che l’infiammazione e il sistema immunitario svolgono un ruolo causale nella patogenesi dell’ipertensione.
Risultati preliminari di una nuova membrana non riassorbibile per la rigenerazione ossea guidata
Nel campo della GBR, uno dei grandi obiettivi della ricerca consiste nell’introduzione di membrane non riassorbibili sempre più efficaci e predicibili. Lo studio preliminare qui considerato illustra i primi risultati di un nuovo prodotto in polietilene poroso nella riabilitazione di difetti combinati a livello del settore mandibolare posteriore.
Platelet-rich fibrin: una opportunità in casi clinici specifici Premium
Per le sue caratteristiche istologiche, il PRF sembra essere un mezzo appropriato per promuovere la guarigione delle ferite nella chirurgia rigenerativa parodontale. Studi pre-clinici dimostrano che questo materiale è in grado di promuovere migrazione e proliferazione di cellule epiteliali, fibroblasti e osteoblasti. Inoltre, sembrerebbe favorire processi di neo-angiogenesi nei tessuti parodontali in riparazione.
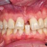
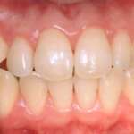
Correzione di inestetismi gengivali con due diverse tecniche chirurgiche Premium
Due tecniche contrapposte tra loro sono applicate nel corso di un unico intervento eseguito sullo stesso paziente per trattare due elementi con recessione apicale, riducendo così la morbilità e il decorso post operatorio.
Un nuovo test diagnostico per la parodontite apicale acuta
Viene descritto un metodo di semplice esecuzione, basato sull’aumentata concentrazione degli enzimi antiossidanti nel tessuto parodontale infiammato, utile per diagnosticare la parodontite apicale acuta...
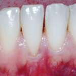
Innesto gengivale libero esteso per il trattamento di una recessione post-ortodontica: un caso clinico
Viene presentato il trattamento di una recessione isolata in un caso post-ortodontico. A causa della mancanza di tessuto cheratinizzato sia apicale che mesio-distale, l’innesto...















