Rigenerazione ossea guidata con griglie in titanio in settore estetico xCase report
Riassunto
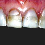
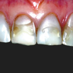
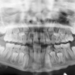
Obiettivi. Rigenerazione ossea mediante l’utilizzo di micro mesh in titanio e osso bovino deproteinizzato con contestuale inserzione di impianto in zona ad alta valenza...
Il paziente cardiopatico dal dentista
Le malattie del sistema cardiocircolatorio rappresentano attualmente in Italia uno dei più importanti problemi di sanità pubblica. L’aggiornamento monografico presentato si propone di riassumere...
Gli effetti dell’ossigeno sulla polimerizzazione del composito e accorgimenti per contrastarlo
Valutazione dell’inibizione ossidativa e del grado di adesione delle resine composite
Oxygen inhibition and incremental layer bond strengths of resin composites
Shawkat E, Shortall A, Addison...
Esercizi semplificati in terapia miofunzionale: presentazione di un protocollo terapeutico
Obiettivi. L’obiettivo di questo lavoro è quello di presentare un protocollo di terapia miofunzionale ripetibile eseguito con gli esercizi di logopedia per la riabilitazione...
Valutazione estetica e funzionale dei restauri in zirconia realizzati con tecnica tradizionale e tecnologia...
Background. Il fallimento più frequente delle ricostruzioni in zirconia-ceramica è il chipping della ceramica, mentre la struttura in zirconia rimane frequentemente più stabile nel...
Indicazioni per un uso consapevole della CBCT in odontoiatria
La radiologia è essenziale in ambito odontoiatrico e maxillo-facciale per individuare la presenza e il grado della patologia presente; svolge inoltre un ruolo determinante...
Trattamento combinato parodontale e restaurativo per la riabilitazione del settore anteriore
Rachele Censi1, Virna Vavassori 2, Andrea Enrico Borgonovo3, Dino Re4
1Reparto di Parodontologia e Implantologia III, Istituto Stomatologico Italiano, Milano
2Specializzanda in Chirurgia Orale, Università di...
Trattamento combinato parodontale e restaurativo per la riabilitazione del settore anteriore
Il caso clinico descrive un approccio inter-disciplinare di successo per il trattamento dei settori anteriori compromessi dal punto di vista estetico. In una prima...
Tecnologia 3D: limiti e applicazioni della CBCT in Ortodonzia
Elisabetta Bricchi1, Lucia Miggiano1, Francesca Nolet1, Niccolò Cenzato1
1Scuola di specializzazione in Ortognatodonzia dell’Università degli Studi di Milano (Prof. G. Farronato)
Riassunto
Gli ortodontisti sono chiamati oggi...
Indagine epidemiologica sullo stato della salute orale dei bambini africani nel nord del Burkina...
Marco Negro, Maria Luisa Giannavola, Cristiana Zerosi
Riassunto
Non sono molti né recenti i dati epidemiologici sullo stato di salute orale nel continente africano: nel 2010-2011 è stato...
Efficacia dell’Osteopatia nella gestione dei disordini temporomandibolari – Studio pilota
Alice Berri - Marzia Segù - Lorenzo Berri - Vittorio Collesano
Riassunto
Scopo del lavoro. La gestione dei TMD comprende un gran numero di alternative terapeutiche; a causa della loro...
Recupero chirurgico di una minivite ortodontica dislocata nel pavimento orale
Pietro Fusari1, Sara Giglio2
1DDS, Specialista in Chirurgia Odontostomatologica, Medico frequentatore dell’Unità di Chirurgia orale (Direttore: Prof. Matteo Chiapasco) - Clinica Odontoiatrica Dipartimento di Scienze della Salute A.O....
Fumo e stili di vita in Odontoiatria: un’indagine sui dentisti italiani
Giorgia Paglia1, Silvano Gallus2 , Rolando Crippa1, Giovanni Evangelista Mancini3, Piergiorgio Zuccaro4, Luigi Paglia1
1Fondazione Istituto Stomatologico Italiano (ISI), Milano
2Dipartimento di Epidemiologia; IRCCS - Istituto...
Effetti delle terapie per l’asma sulla salute dentale dei bambini ungheresi
Judit Nemes, D.M.D., Ph.D.1
Béla Nagy, M.D., Ph.D.2
Márta Alberth, M.D., L.D.S., Ph.D.1
1Department of Pediatric Dentistry and Orthodontics - University of Debrecen, Hungary
2Department of Pediatrics -...
Sindrome di Noonan: presentazione di un caso
Francisco Guinot Jimeno1
Raquel Torrents Gras1
Cristina Cuadros Fernandez2
Ana Isabel Lorente Rodriguez3
1Profesor/a asociado/a del Departamento de Odontopediatría - Universitat Internacional de Catalunya, Facultad de Ciencias...
Tecnica chirurgica Pinhole: prospettive storiche
John Chao, d.d.s., J.D., M.A.G.D.
Inventor of the Pinhole Surgical Technique Faculty, Ostrow School of Dentistry of the University of Southerm California Doctor of Jurisprudence, School...















