Il trattamento odontoiatrico del paziente diabetico
di Luca Lione
Odontoiatric treatments in diabetic patient
Gli studi sull’associazione tra diabete e malattia parodontale hanno evidenziato come il diabete si associ a un aumento,...
La patologia delle mucose orali nella pratica clinica
La valutazione delle mucose orali è un atto imprescindibile nella routinaria visita odontoiatrica. Il riconoscimento di lesioni di varia natura eziopatogenetica è fondamentale per...
Faccette in ceramica: un work flow analogico
L’importanza dell’estetica al giorno d’oggi è preponderante in odontoiatria e va pesantemente considerata nella progettazione e realizzazione di un piano di trattamento.
Questa considerazione è...
Suoni linguistici e strutture anatomiche del cavo orale
Wanda Breviglieri Genero
Linguistic sounds and anatomical structures of the oral cavity
In ortodonzia il suono si fa immagine per essere emozione e pensiero
Riassunto
La suggestività fonico-articolatoria...
La corona a pontic nella moderna protesi su impianti
Luigi Baggi1 DDS Roberta Calcaterra1 MD, PhD Michele Di Girolamo2 DDS
The pontic crown in the modern implant prosthesis
La tecnica della corona a pontic consente non solo...
Cellule staminali della polpa dentale
di Barbara Zavan
Laureata in scienze biologiche con 110/110 e lode, dottorato in «Ingegneria dei tessuti e dei trapianti» presso l’Università degli Studi di Padova.
Professoressa...
Nuovi materiali e protocolli semplificati per una protesi di qualità
New materials and simplifield procedures, to an high quality prothesis
Il caso clinico illustrato evidenzia come i nuovi materiali proposti siano efficaci per ridurre il...
Tecnologie digitali e loro utilizzo clinico
E' online il video corso sulle Tecnologie Digitali e il loro utilizzo clinico di Riccardo Scaringi, promosso in partnership fra Il Dentista Moderno e Osteocom.
Il percorso...
Osteonecrosi dei mascellari: quando a causarla sono i bifosfonati
Linee guida per un corretto approccio al trattamento odontoiatrico dei pazienti facenti uso di bifosfonati o in procinto di farlo. Indicazioni chiare e inconfutabili...
Rilascio di bisfenolo A dai sigillanti
Release of bisphenol A from sealants
I materiali a base resinosa sono la scelta predominante tra i sigillanti dentali. Attraverso un’analisi della letteratura recente e...
Valutazione della prevalenza dei differenti tratti malocclusivi: revisione della letteratura
Evalutation of the prevalence of different malocclusal traits: a review of the literature
Diversi studi dimostrano come la presenza di malocclusioni nella società moderna sia...
Trattamento chirurgico di un’estesa cisti aneurismatica mandibolare: un case report
Surgical treatment of a large aneurysmal mandibular cyst: a case report
I risultati di questo case report ci suggeriscono come il processo di ossificazione spontanea...
Percentuali di successo clinico delle ricostruzioni indirette in composito nei settori posteriori
A causa della crescente domanda di restauri con materiali estetici, ceramiche e compositi sono divenuti materiali di prima scelta nelle riabilitazioni dei settori posteriori....
Chirurgia orale sul paziente emofilico: come intervenire nonostante i difetti di coagulazione
Evitare eventi avversi quali complicanze emorragiche e infettive nel paziente affetto da emofilia durante gli interventi odontoiatrici: tutto questo è possibile, anche in seduta...
Protesi fissa a supporto implantare mediante funzione immediata
Implant supported rehabilitation with immediate function
Attraverso la presentazione di un case report viene analizzata la procedura utilizzata nel gestire un carico immediato bimascellare, con...
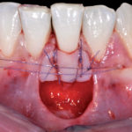
Innesti epitelio-connettivali eseguiti nell’arcata inferiore
Free gingival graft in the lower dental arch
In caso di recessioni gengivali di elementi dell’arcata inferiore è possibile ottenere risultati estetici soddisfacenti utilizzando l’innesto...














