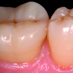
Restauri conservativi di V classe secondo i principi della tecnica BOPT: le...
Class V conservative restorations according to the principles of BOPT technique: the tissue responses Case report with a 40 month follow-up
Viene presentato un caso clinico,...
L’overlay in composito per il restauro dei denti posteriori
Il successo a lungo termine del trattamento endodontico dipende da un’accurata detersione dello spazio endodontico1, da una sagomatura mini-invasiva2,3 nel rispetto dell’anatomia originaria4,5, da un’otturazione tridimensionale del...
Il ritrattamento endodontico ortogrado Premium
Può essere un’alternativa all’estrazione e alla riabilitazione implanto-protesica di un elemento trattato endodonticamente che presenti una lesione periapicale. È quanto sostiene Gianluca Fumei: nel rispondere al dubbio di Riccardo Baratto spiega come e quando adottare questa terapia a beneficio del paziente.
Perforazioni radicolari: dalla diagnosi a una gestione ottimale
Le perforazioni radicolari rappresentano una complicanza significativa nei trattamenti endodontici. Si verificano, com'è noto, quando il sistema canalare comunica con la superficie esterna del...
Il ruolo degli ultrasuoni nel ritrattamento ortogrado
Fabio Gorni1, Francesca Cerutti2
1Già Professore a Contratto presso l’Università degli Studi di Milano, Past President della Società Italiana di Endodonzia
2Dottoranda di ricerca in Materiali...
Moderne leghe in Ni-Ti Trattamenti endodontici sicuri e predicibili
Modern Ni-Ti alloys. Safe and predictable endodontic treatments
Viene descritto un protocollo clinico per l’utilizzo di files endodontici prodotti con moderne leghe in Ni-Ti. La...
L’overlay in composito per il restauro dei denti posteriori trattati endodonticamente. Un...
Il successo a lungo termine del trattamento endodontico dipende da un’accurata detersione dello spazio endodontico1, da una sagomatura mini-invasiva2,3 nel rispetto dell’anatomia originaria4,5, da...
L’importanza di sagomatura e detersione dei canali radicolari Premium
Conoscere con precisione la morfologia dell’elemento dentale per pianificare le fasi del trattamento e scegliere lo strumentario più adatto
a cura di Francesca Cerutti
L’odontoiatra chiamato...
Prestazioni cliniche dei cementi bioceramici: una revisione della letteratura
I materiali bioceramici oggi sono sempre più diffusi e in virtù delle loro proprietà vengono impiegati con successo in diverse procedure endodontiche. Nel presente...
Strumenti in lega Nichel-Titanio azionati con movimento reciprocante: una nuova prospettiva nella sagomatura canalare
• Vittorio Franco
• Roberto Fornara
• Gianluca Plotino1
• Gianluca Gambarini1
1“Sapienza” Università di Roma, dipartimento di Scienze Odontostomatologiche e Maxillo-Facciali
Riassunto
L’evoluzione degli strumenti in lega Nichel-Titanio (Ni-Ti)...
Vital Pulp Therapy, il ragionamento clinico funzionale al successo
Nella procedura VPT sono diversi i parametri da tenere in considerazione per ottenere un buon esito terapeutico: vanno conosciuti tutti e analizzati con attenzione,...
Otturazione tridimensionale dei canali radicolari con guttaperca riscaldata: una nuova tecnica Premium
Una tecnica per la condensazione verticale a caldo della guttaperca che utilizza inserti duttili e flessibili, che possono seguire le curvature dei canali radicolari...
Il ritrattamento endodontico: indicazioni, strumenti consigliati e procedure
Riassunto
Una percentuale dei trattamenti endodontici primari va incontro a fallimento: questo si può evidenziare, clinicamente, nel momento in cui si formi una fistola, quando...
L’uso di EDTA in endodonzia interferisce sull’incidenza di crack dentinali e dei trasporti...
L’effetto dell’utilizzo dell’RC-Prep nei trattamenti canalari sull’incidenza dei difetti dentina
The effect of using RC-Prep during root canal preparation on the incidence of dentinal defects
Alireza Adl,...
Confronto tra la quantità di sigillante nell’otturazione canalare con l’uso di strumentazione e tecniche...
Abstract
Lo scopo era quello di valutare la quantità di sigillante usato in due tecniche di trattamento endodontico. Sono stati selezionati 40 molari (superiori e...
Resilon™: un nuovo materiale sintetico per l’otturazione canalare
Matteo Luciani1
Giovanni Anglesio Farina2
Davide Giangrandi3
1 Dirigente medico reparto odontostomatologia A.O. ordine Mauriziano di Torino
2 Professore a contratto in Chirurgia Endodontica presso la Scuola di Specialità in...















