Utilizzo del Pink Esthetic Score nella valutazione dei tessuti molli attorno a impianti...
Riassunto
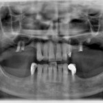
Introduzione. Lo scopo di questo studio è stato quello di valutare il risultato estetico di impianti monocomponenti in zirconia, inseriti nei settori frontali dei...
Estetica e tessuti molli in implantologia
Stefano Volpe
Clinica Feltre/Fiera di Primiero Implant Research Group
Riassunto
Gli obiettivi estetici dell’odontoiatria implantare dovrebbero essere simili a quelli della protesi convenzionale. Nelle riabilitazioni implanto-protesiche nei settori anteriori la...
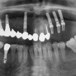
Riabilitazione parziale del mascellare edentulo posteriore con applicazione del principio All-on-4
La riabilitazione dell’edentulia parziale nel mascellare posteriore rappresenta una sfida a causa della densità ossea inferiore e dell’insufficiente quantità di osso dovuta alla presenza...
La gestione di un caso complesso implantare: dall’analisi pre-operatoria alla realizzazione della protesi...
Riassunto
Una programmazione pre-chirurgica scorretta e una gestione del sito implantare altrettanto poco curata possono portare a inconvenienti quali risultati finali poco predicibili dal punto...
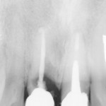
Riabilitazione di due incisivi centrali con impianti bone level e corone in zirconia
Riassunto
Obiettivi. Scopo del seguente lavoro è quello di mostrare le procedure operative che portano al successo estetico nella riabilitazione di una lacuna ad altissimo...
Espansione controllata della cresta alveolare atrofica a scopo implantare
Riassunto
Difetti della cresta alveolare possono compromettere il posizionamento degli impianti dentali e un corretto ripristino estetico degli elementi da sostituire. Viene presentato un caso...
Torque d’inserzione di impianti con differente morfologia delle spire in differenti qualità...
Riassunto
In chirurgia ortopedica vengono impiegati differenti tipi di viti di fissaggio. Nei siti in cui la corticale ossea è molto rappresentata sono richieste viti...
Riabilitazione con approccio multidisciplinare Caso clinico
La riabilitazione di pazienti edentuli con protesi mobile si associa solitamente a diverse limitazioni. Le soluzioni supportate da impianti stanno sempre più confermando la...
La rigenerazione ossea guidata (GBR) a scopo implantare
Gli obiettivi di questo lavoro sono quelli di presentare dati aggiornati sulle indicazioni, controindicazioni, possibilità e limiti della rigenerazione ossea guidata (GBR) a scopo...
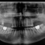
L’espansione ossea nella riabilitazione implantare di monoedentulie a carico immediato del mascellare superiore. Case...
Riassunto
Negli ultimi anni, il carico immediato è diventato uno dei principali argomenti di ricerca in implantologia perché riduce i tempi di trattamento e migliora...
Rialzo del seno mascellare e impianti endossei. Risultati clinici a distanza di tempo e...
Riassunto
Scopo di questo studio è presentare una classificazione dei difetti ossei mascellari che necessitano di procedure di elevazione del seno mascellare con due obiettivi:...
Rigenerazione ossea localizzata con osso suino: evidenze cliniche e istologiche
Riassunto
La presenza di difetti ossei, localizzati nei processi alveolari, può impedire l’uso di impianti, a causa dell’insufficiente volume osseo atto all’ottenimento dell’osteointegrazione. Il riassorbimento...
Corone singole su impianti a connessione conometrica nei settori posteriori dei mascellari: carico dilazionato...
Riassunto
Questo studio prospettico, controllato e randomizzato intende valutare sopravvivenza e successo di 270 impianti a connessione conometrica, a sostegno di corone singole, inseriti nei...
Prevenzione e trattamento dell’atrofia ossea a fini implantari: una serie di casi clinici
Riassunto
Attraverso alcuni casi esemplificativi vengono presentate le principali tecniche
di ricostruzione ossea oggi in uso per la il trattamento di difetti localizzati
del processo alveolare. Viene...
Studio clinico preliminare sulla prevedibilità dell’estetica ideale: ruolo di un nuovo design implantare Bone...
Riassunto
Un impianto dal design ideale dovrebbe soddisfare diverse caratteristiche: dovrebbe cioè permettere un intervento a fase singola, una rapida osteointegrazione, una perdita minima di...
Aumento verticale di cresta mediante innesto autologo in zona estetica
Riassunto
L’atrofia della cresta alveolare, in senso sia verticale sia orizzontale, è l’esito della perdita di elementi dentali dovuta a estrazioni, carie, traumi o motivi...















