La rigenerazione ossea guidata (GBR) a scopo implantare
Gli obiettivi di questo lavoro sono quelli di presentare dati aggiornati sulle indicazioni, controindicazioni, possibilità e limiti della rigenerazione ossea guidata (GBR) a scopo...
Sutura sospesa doppia
Molteplici sono le tecniche di sutura proposte e ognuna di esse è in grado di esercitare in modo peculiare una trazione sul lembo precedentemente sollevato così da poterlo posizionare e stabilizzare nella posizione desiderata.
Il trattamento delle sinusiti conseguenti a rialzo del seno mascellare mediante endoscopia sinusale (FESS)...
Riassunto
Obiettivi. Presentare i risultati di uno studio prospettico sulla gestione delle complicanze infettive conseguenti a rialzo del seno mascellare mediante un approccio combinato costituito...
Complicanze in un caso di innesto di osso autogeno a blocco e loro successiva...
Gli impianti dentali possono essere considerati come una delle principali innovazioni nella moderna Odontoiatria. Con il miglioramento della metodologia e della tecnologia, il successo...
Riabilitazioni implanto-protesiche full-arch: tecnica di provvisorizzazione immediata
Riassunto
Le riabilitazioni implanto-protesiche a carico immediato rappresentano delle procedure affidabili con risultati clinici di successo sia nel breve che nel lungo termine e sono state largamente...
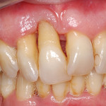
La terapia implantare nel paziente parodontopatico
Riassunto
Nei pazienti affetti da parodontite avanzata ci si trova spesso, alla fine della terapia parodontale, nella necessità di riabilitare dei settori edentuli più o...
Carico immediato full arch mascellare e mandibolare: un nuovo approccio chirurgico e protesico
• Nicola Petrillo
Riassunto
Nell’ultimo decennio abbiamo assistito a una profonda revisione dei principi alla base dell’implantologia e del concetto di osteointegrazione rivedendone le procedure e...
Riabilitazione chirurgica e implanto-protesica in esiti di frattura mandibolare – Caso clinico
Riassunto
Gli autori descrivono un caso clinico di grave malocclusione a seguito di trauma mandibolare trattato in altra sede. Il piano di trattamento ha previsto...
Criteri di sopravvivenza, vantaggi e svantaggi degli impianti dentali a carico immediato
Criteri di sopravvivenza degli impianti dentali
Per valutare l’efficacia a lungo termine dei protocolli su impianti dentali a carico immediato vengono impiegati i criteri di sopravvivenza...
Estetica e tessuti molli in implantologia
Stefano Volpe
Clinica Feltre/Fiera di Primiero Implant Research Group
Riassunto
Gli obiettivi estetici dell’odontoiatria implantare dovrebbero essere simili a quelli della protesi convenzionale. Nelle riabilitazioni implanto-protesiche nei settori anteriori la...
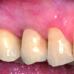
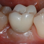
Corone singole su impianti a connessione conometrica nei settori posteriori dei mascellari: carico dilazionato...
Riassunto
Questo studio prospettico, controllato e randomizzato intende valutare sopravvivenza e successo di 270 impianti a connessione conometrica, a sostegno di corone singole, inseriti nei...
Come ottenere una stabilità primaria predicibile
Obtaining primary programmed and predictable stability: from the identification
of bone quality to the realization of the implant tunnel
Ai fini della stabilità primaria nella corretta...
Tecnica rigenerativa innovativa per la risoluzione di perimplantiti con laser Er:YAG, basata su diagnosi...
L’aumento delle perimplantiti è un problema di emergente attualità. L’eliminazione delle cause che hanno originato la perimplantite richiede analisi batteriche e la rimozione completa...
Aumento verticale di cresta mediante innesto autologo in zona estetica
Riassunto
L’atrofia della cresta alveolare, in senso sia verticale sia orizzontale, è l’esito della perdita di elementi dentali dovuta a estrazioni, carie, traumi o motivi...
Osteointegrazione nel paziente geriatrico
• Fabrizio Carini1
• Alberto Vian2
• Giacomo Frasciello2
• Chiara Giamberini3
• Marco Alciati2
1Responsabile Reparto di Chirurgia Odontostomatologica, Università degli Studi di Milano-Bicocca
2Specialista in Chirurgia Odontostomatologica, Università...
Implantologia zigomatica a carico immediato
Francesco Gallo1 Francesco Zingari2 Francesco Grecchi3 Michelangelo D’Uva4
Immediate loading of zygomatic implants
In caso di atrofie ossee mascellari importanti, l’implantologia zigomatica è risultata una scelta terapeutica di valore...















