Tecniche per il posizionamento della diga di gomma
La diga di gomma, nella sua semplicità, è ormai uno strumento insostituibile nelle procedure di conservativa ed endodonzia. Alcuni Autori arrivano a sostenere che un...
Scanner intraorali: tecnologia e accuratezza
L'adozione di una metodica di impronta di tipo digitale, tramite impiego di uno scanner intraorale, è un'opzione clinica sempre più praticabile per i professionisti, che possono beneficare degli sviluppi delle sistematiche dal punto di vista hardware, software e anche per quanto concerne i costi.
Metodiche per la realizzazione del provvisorio alla poltrona
Oggigiorno, nella maggior parte dei casi, la realizzazione dei provvisori viene demandata al laboratorio. È giusto ribadire come l'odontotecnico sia una figura indispensabile: senza...
Manifestazione orale nella malattia infiammatoria intestinale
Le malattie infiammatorie croniche intestinali (IBD), tra cui il morbo di Crohn (CD) e la colite ulcerosa (UC), presentano un coinvolgimento intestinale primario. Sebbene...
Standard e prospettive nell’incappucciamento pulpare
Il razionale attuale con cui viene condotto il procedimento consiste nella stimolazione chimica del tessuto e nella facilitazione della formazione di dentina riparativa. Al di là degli studi istologici, la procedura ha beneficiato indiscutibilmente dell'evoluzione dei materiali.
Riabilitazione di II classe: come avere l’approccio più conservativo
Dal punto di vista clinico, le carie interprossimali presentano criticità sia per quanto riguarda la diagnostica che per quanto concerne la risoluzione susseguente. La sede mal si concilia con la diagnosi precoce, in presenza di lesioni cariose in fase iniziale, vi è ampio dibattito a proposito del ruolo dell'approccio “wait & see” oppure delle moderne procedure minimamente invasive. Queste tematiche e altre ancora verranno considerate in maniera approfondita nel videocorso: "Riabilitazione di II classe: risoluzione di criticità e semplificazione".
Dente trattato endodonticamente in sede frontale e il perno in fibra
Il dente trattato endodonticamente diviene più delicato ed è maggiormente esposto a fratture e complicanze. L'obiettivo di un trattamento è la risoluzione della problematica contingente e, allo stesso modo, il ripristino della futuribilità del dente malato. La restaurativa post-endodontica rimane un oggetto di dibattito importante, soprattutto nelle sedi frontali, laddove è particolarmente rilevante un terzo target, ovvero il ripristino dell'anatomia dentale e, con essa, della normale estetica.
Amelogenesi imperfetta e difetti nella formazione di smalto e dentina
Il termine “amelogenesi imperfetta” definisce un complesso sindromico comprendente una serie di condizioni cliniche, che possono essere riunite sia per ciò che riguarda l'eziopatogenesi...
Anatomia e struttura del seno mascellare
Il seno mascellare, conosciuto anche con l'eponimo di “antro di Higmoro” è il più ampio dei seni paranasali, i quali comprendono anche i seni...
Farmaci e dispositivi necessari per la gestione delle emergenze in odontoiatria
La prevenzione, la diagnosi ed il trattamento di eventuali urgenze ed Emergenze Mediche (EM) che si possono presentare nella pratica odontoiatrica, è compito dell'odontoiatra....
Il nuovo concetto di anatomia ottica
Pasquale Loiacono
Riassunto
Alla luce delle più attuali conoscenze, il ruolo della fotografia clinica non deve limitarsi alla funzione di documentazione, ma può integrare efficacemente i...
Alternative alla classica anestesia tronculare del nervo alveolare inferiore
La tecnica di Gow-Gates fu pubblicata per la prima volta nel 1973. fra i suoi vantaggi si ritrovano il tasso di successo più elevato,...
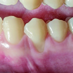
Trattamento di una recessione gengivale con matrice xenogenica
Dario Cianci
Riassunto
Scopo del lavoro. Il caso clinico descrive il trattamento di una recessione gengivale con l’utilizzo di una matrice xenogenica.
Materiali e metodi. Utilizzo di...
Materiali in odontoiatria restaurativa: gli adesivi “universali”
Da alcuni anni, parlando di adesivi smalto-dentinali, in ambito clinico e commerciale si fa largo uso della dicitura adesivi "universali”. Un articolo comparso tempo...
Terapia ortodontico-implantare nei traumi dento-alveolari
Gli eventi traumatici a carico del distretto oro-maxillo-facciale con interessamento degli elementi dentari frontali sono di frequente riscontro nella pratica clinica quotidiana. L’obiettivo di...
Significato clinico dell’elettromiografia di superficie
Questa rubrica affronta la questione ancora controversa della reale valenza dell’elettromiografia dei muscoli masticatori nella diagnosi e nel trattamento di alcune problematiche odontostomatologiche. Le...















