Il reimpianto, le lussazioni e le loro complicanze. Aspetti peculiari della traumatologia dentaria... Premium
Molti traumi dentali, nella fascia di età tra i 6 e i 14 anni, si presentano con pattern particolari che portano a difficoltà terapeutiche e di gestione nel tempo anche per l’operatore più esperto. Inoltre, sono associati a peculiari aspetti nell’ambito della responsabilità civile, spesso poco approfonditi, che devono essere attentamente investigati per una corretta valutazione patrimoniale e del danno biologico conseguente all’evento.
Restauro diretto o indiretto? Questo è il problema Premium
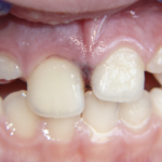
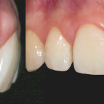
Una frattura traumatica dell’incisivo centrale superiore sinistro in un paziente di 10 anni, con il coinvolgimento del margine incisale, parte del terzo medio e del cervicale, con un’estensione sotto la papilla dentale distale. Mirco Vadini chiede un secondo parere a Camillo D’Arcangelo.
Traumatologia dentale in età evolutiva: i traumi in dentizione decidua Premium
Si propongono linee guida aggiornate a favorire un intervento tempestivo in caso di trauma in dentizione decidua. L’applicazione attenta e rigorosa dei protocolli operativi,...
Quanto costano le lesioni dentali da trauma in tempo e denaro?
Uno studio prospettico e longitudinale effettuato in Svezia ha stimato un costo totale delle lesioni dentali da trauma(compresi i costi preliminari ed emergenti) di...
Traumi dentali da sport: prevenirli indossando adeguate protezioni
L'incidenza di traumi dentari ( cioè il numero di nuove lesioni per anno) in dentizione primaria, ha il suo picco intorno ai 2-3 anni,...
Epidemiologia di traumi dentali, fratture e avulsioni
I traumi dentali sono eventi di frequente riscontro e possono essere legati a molteplici situazioni; si va dai traumi dentali in ambito scolastico, a...
Ectopia e dilacerazione radicolare di un incisivo centrale permanente dovute ad avulsione traumatica ...
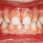
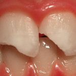
Riassunto Il lavoro presenta un caso clinico di sequele post-traumatiche a carico di 11 e 21 in un paziente maschio di 11 anni di età,...
6. Restauro adesivo indiretto di un incisivo centrale: approccio clinico step by...
Riassunto Il trattamento dei settori estetici viene sempre piu’ frequentemente affrontato con un approccio di tipo conservativo, grazie alla continua evoluzione dei materiali ed al...
5. Traumatologia dentale: aspetti endodontici in dentatura permanente
Riassunto L’incidenza dei traumi dentali è estremamente elevata, soprattutto nei piccoli pazienti. In questo articolo si tratteranno gli aspetti endodontici correlati ad un trauma su un...
4. Rivascolarizzazione pulpare come trattamento alternativo per elementi dentali immaturi necrotici
Riassunto In questo articolo vengono esposti alcuni nuovi concetti di endodonzia rigenerativa nella gestione dei denti permanenti immaturi. La risoluzione di diversi case report ha...
3. I laser in traumatologia dentale
Riassunto I traumi dentali sono molto frequenti, possono essere degli eventi complessi e talvolta rappresentano vere e proprie emergenze. Benché la letteratura scientifica in campo...
2. Eziopatogenesi e prevenzione delle lesioni traumatiche dento-alveolari
Riassunto In questo lavoro vengono analizzate le cause più frequenti che determinano l’insorgenza di traumi dento-alveolari. In ragione delle variabili eziologiche ed epidemiologiche vengono presentate...
2. Approccio multidisciplinare a un trauma corono-radicolare. Case report
Riassunto Il caso clinico riportato è un buon esempio di approccio «multidisciplinare» a un problema di traumatologia dentale. Infatti, diversi specialisti dell’odontoiatria hanno lavorato sullo...
Il trattamento in traumatologia dentale: valutazione delle conoscenze di un campione di clinici italiani
Riassunto I traumi dentali costituiscono un problema odontoiatrico comune nell’infanzia e tra gli adolescenti; la prognosi dei denti coinvolti dipende da un trattamento puntuale e...













