Resistenza meccanica di ponti protesici in materiale polimerico rinforzato con fibre continue di vetro
Riassunto
Obiettivi. I materiali polimerici fribro-rinforzati (fiber-rinforced polymers, FRP) offrono la possibilità di realizzare nuovi ponti dentali privi di strutture metalliche. Scopo di questo studio...
Trattamenti di superficie per restauri in zirconia: valutazione di alternative alla sabbiatura...
Riassunto
Problematiche cliniche relative al debonding di restauri in biossido di zirconio stimolano la ricerca e la messa a punto di un protocollo di cementazione...
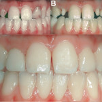
Controllo clinico, a un anno, di corone in zirconia cementate con G-cem...
Riassunto
Obiettivo. Lo scopo di questo studio è stato quello di valutare la sensibilità post-operatoria e altri paramenti clinici di corone in zirconia cementate con...
Indagine microscopica di superfici di zirconia trattate con diverse metodiche
Riassunto
Obiettivo: valutare la morfologia di superficie di quattro ceramiche a base di ossido di zirconio dopo diversi trattamenti chimico-meccanici. Materiali e Metodi: sono stati...
I pretrattamenti di superficie del biossido di zirconio nella cementazione adesiva: studio in...
Riassunto
In questo studio in vitro si è valutata l’influenza di differenti pretrattamenti di superficie della zirconia (In-Ceram YZ, VITA Zahnfabrik) nella tecnica della cementazione...
La riabilitazione del paziente edentulo con funzione immediata: opzioni terapeutiche. Valutazione retrospettiva di 22...
Riassunto
In questo articolo si presenta un’analisi retrospettiva di 22 casi di funzione immediata in pazienti totalmente edentuli, 16 casi mandibolari e 6 casi riguardanti...
Fasi finali del trattamento protesico
Ugo Torquati Gritti1
Armando Buongiovanni2
Giancarlo Riva2
1Odontoiatra
2 Odontotecnico
La prevalenza delle ricostruzioni protesiche presenta una disposizione dentale stereotipata e, di conseguenza, anche l’aspetto finale risulta tale. È...
Rapporti occlusali: selezione e montaggio degli elementi posteriori
Le considerazioni riguardanti la fisionomia e l’estetica hanno una grande importanza nella realizzazione di una riabilitazione protesica a supporto osteo-mucoso; infatti, come già ricordato,...
Ceramiche densamente sinterizzate
Il successo clinico di restauri in ceramica integrale dipende da numerose variabili; tra queste, una corretta cementazione adesiva promuove la ritenzione del manufatto: un...
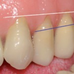
Influenza della preparazione dentale sull’adattamento marginale di una ceramica fresata in biossido di zirconio
• Gabriele Augusti*
• Davide Augusti
• Dino Re
Università degli Studi di Milano Istituto di Clinica Odontoiatrica e Stomatologica, Direttore Prof. F. Santoro
Corso di laurea...









