Oro: un’odontoiatria fuori dal tempo o una reale alternativa clinica?
Riassunto
L’attualità delle ricostruzioni indirette in lega aurea è sempre oggetto di discussione; numerosi infatti sono gli studi longitudinali che riportano ottimi risultati riguardo agli intarsi in...
Il rischio carie in odontoiatria ricostruttiva
Riassunto
La libera professione porta quotidianamente il protesista ad affrontare le problematiche della durata dei propri restauri. Tale aspetto risulta essere fortemente influenzato dalle tecniche, dalle competenze...
Impronta con scanner intraorale digitale Cadent iTero
Riassunto
Una presa di impronta precisa e prevedibile e la registrazione occlusale sono da sempre le procedure più difficili da effettuare. Il successo dei nostri restauri...
Quali materiali in protesi fissa oggi?
Riassunto
L’evoluzione recente di materiali e tecnologie ha reso disponibili molti differenti tipi di materiali con i quali è possibile realizzare trattamenti protesici fissi. Mentre ancora pochi...
Quali materiali in protesi fissa oggi?
Riassunto
L’evoluzione recente di materiali e tecnologie ha reso disponibili molti differenti tipi di materiali con i quali è possibile realizzare trattamenti protesici fissi. Mentre...
L’impiego delle tecnologie digitali nella diagnosi protesica e nella realizzazione della protesi
Riassunto
Obiettivi. Lo scopo di questo articolo è di illustrare le modalità di realizzazione del “Virtual Planning” attraverso l’ausilio di una banca dati appositamente...
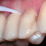
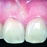
Riabilitazione di un incisivo mandibolare per mezzo di un ponte adesivo in zirconia....
Riassunto
Presentiamo un caso clinico di una riabilitazione di un incisivo mandibolare per mezzo di un ponte adesivo in zirconia in una paziente donna di...
Trattamento ortodontico mediante metodica Invisalign® finalizzato con faccette in ceramica
Riassunto
Il caso clinico qui di seguito presentato descrive una serie di trattamenti odontoiatrici, ortodontici e restaurativi applicati a una giovane paziente con la finalità...
Detersione e disinfezione dei materiali da impronta
Ruolo dei materiali da impronta nelle infezioni crociate
Do dental impression materials play a role in cross contamination?
Shlomo M, Amir E, Colin G, et al....
La gestione del carico immediato tramite l’utilizzo di abutment in poliossimetilene: risultati clinici...
Giovanni Ghirlanda, Laura Cardoso Campos, Vittorio Giannelli, Andrea Enrico Borgonovo1
1Professore a contratto, Università degli Studi di Milano
Riassunto
Numerosi lavori scientifici e successive revisioni della letteratura...
Utilizzo di impianti in ossido di zirconio per il trattamento di edentulie...
Riassunto
L’uso degli impianti osteointegrati rappresenta un’importante alternativa per la riabilitazioni di pazienti parzialmente o totalmente edentuli. L’utilizzo di riabilitazioni implanto-protesiche nei settori estetici è sempre...
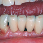
La protesi inferiore fissa impianto-sostenuta in un caso di II classe scheletrica...
Riassunto
Uno degli obiettivi della riabilitazione protesica è la sostituzione dei tessuti persi, al fine di restituire un’adeguata funzionalità in un contesto armonico con un’estetica...
Faccette palatali e frontali per il trattamento dell’erosione dentale grave: caso clinico ...
Dal 2006 presso l’Università di Ginevra i pazienti affetti da erosione dentale vengono trattati non appena possibile dopo l’identificazione di dentina esposta tramite il...
Risoluzione di un caso complesso di pigmentazione da tetraciclina
Riassunto
Lo scopo di questo lavoro è stato quello di ripristinare l’estetica del settore centrale dell’arcata superiore utilizzando sei faccette in ceramica in una paziente...
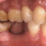
La riabilitazione protesica di impianti immediati nel sito post-estrattivo
L’inserzione di un impianto nel sito post-estrattivo, immediatamente conseguente a un’avulsione dentaria, è sempre più utilizzata nella quotidiana pratica odontoiatrica. Diversi Autori hanno infatti...
Pianificazione razionale nelle grandi riabilitazioni con impianti post-estrattivi immediati
Riassunto
Nel presente lavoro scientifico si descrive una procedura di trattamento standard per arcata completa, basata su 3 fasi terapeutiche, per una durata complessiva del...














