Lembo coronale in chirurgia estetica mucogengivale di Giovanni Zucchelli
È disponibile il nuovo videocorso, nato dalla collaborazione fra Il Dentista Moderno e Osteocom, tenuto dal prof. Giovanni Zucchelli. Vengono proposte 3 chirurgie integrali commentate, con l’obiettivo di illustrare lo stato dell’arte del trattamento chirurgico di recessioni gengivali.
I frenuli labiali: diagnosi e tecniche chirurgiche nel bambino, nell’adolescente e nell’adulto
Quali scenari clinici possono avere un’indicazione per la frenectomia labiale mediana superiore che giustifichi il riposizionamento precoce del frenulo?
L’utilizzo del laser rappresenta una tecnica...
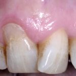
Impiego di gel piastrinico per la cura delle ulcere orali in pazienti affetti da...
Progressiva remissione delle ulcere a livello del cavo orale e della relativa sintomatologia dolorosa grazie all’utilizzo di un aggregato piastrinico con o senza biostimolazione laser. I risultati di un importante studio clinico realizzato presso la Dental School dell’Università di Torino.
Trattamenti di medicina estetica in Odontoiatria
Vi presentiamo la lezione di Estetica Periorale del Prof. Ezio Costa, specialista in trattamenti di medicina estetica in Odontoiatria.
Il video corso consiste di 5 lezioni teorico-pratiche sulle tecniche...
Perio-build-up: una tecnica di recupero con moderni biomateriali di denti con compromissione parodontale...
La tecnica presentata utilizza per la rigenerazione parodontale una membrana di derivazione ossea suina di tipo riassorbibile, utile per le sue caratteristiche di “relativa”...
Aspetti odontostomatologici nei pazienti con paralisi cerebrale infantile
Attraverso l’analisi delle cartelle cliniche di 72 pazienti con paralisi cerebrale infantile che periodicamente afferiscono presso l’UOS di Odontoiatria di Comunità, del Presidio Ospedaliero...
Reimpianto intenzionale di un elemento semi-incluso con l’utilizzo di amelogenine e osso bovino...
In questo case report viene documentata l’estrazione di un elemento incluso in sede canina e il suo successivo reimpianto. La guarigione è stata seguita...
Tutto nasce da un sorriso Premium
Everything starts with a smile
L’estetica del viso e del sorriso è il terreno di confronto su cui la nuova odontoiatria, di fronte alla crescente...
Vital Pulp Therapy, il ragionamento clinico funzionale al successo
Nella procedura VPT sono diversi i parametri da tenere in considerazione per ottenere un buon esito terapeutico: vanno conosciuti tutti e analizzati con attenzione,...
L’ortodonzia minimamente invasiva con ancoraggio strategico nel trattamento delle fratture radicolari
Quando si trattano pazienti con fratture coronali e radicolari è sempre richiesto un trattamento multidisciplinare e l’ortodonzia può essere di grande aiuto se si...
Fast and Easy Loading Procedure (FELP): sistema di gestione di protesi provvisorie in riabilitazioni...
Viene illustrata una tecnica per realizzare la protesi provvisoria del paziente prima della chirurgia: utilizzando un software di programmazione chirurgica e le relative tecniche...
Un paziente pediatrico con sindrome di Lesch Nyhan: piano di trattamento odontoiatrico
Attraverso speciali placchette inserite su entrambe le arcate si è ovviato all’autolesionismo compulsivo di cui soffrono i soggetti colpiti da questa malattia rara. Incoraggianti i risultati evidenziati ai successivi follow-up.
Conservativa diretta nel settore frontale: case report Premium
Vengono illustrati in maniera schematica tutti i passaggi di un piano di trattamento conservativo che prevede, previa ceratura diagnostica degli elementi da restaurare, la...
Comportamento eruttivo anomalo di un mesiodens monitorato con CBCT
Viene descritto il comportamento anomalo di un elemento sovrannumerario incluso che, da un orientamento inizialmente favorevole a una eruzione spontanea, si è ruotato di...
Restoration Guided Creeping Attachment (RGCA): approccio innovativo al trattamento di recessioni gengivali combinate ... Premium
Viene proposta una nuova tecnica come alternativa minimamente invasiva per il trattamento delle recessioni di classe I e II di Miller, anche combinate con...
Ortodonzia mini-invasiva con ancoraggio strategico in caso di denti sovrannumerari: case report
Nel caso di eruzione in arcata di denti soprannumerari una delle opzioni terapeutiche è l’estrazione e la gestione dello spazio che ne deriva. In...















