Risoluzione di un caso estetico anteriore con restauri diretti addizionali. Case report
Minimal invasive and additional direct restorations to improve smile aesthetics. Case report
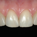
Grazie all’evoluzione degli ultimi anni, oggi i materiali compositi possono essere utilizzati con...
Strumento semplificato per il management del paziente con usura dentale
Simplified tool for management of patients with tooth wear
Per facilitare l’identificazione delle lesioni da usura e la gestione di pazienti con questo problema viene...
Riabilitazione conservativa del sorriso
Attualmente le resine composite rivestono un ruolo fondamentale tra i materiali da restauro in quanto offrono un eccellente potenziale estetico e una longevità accettabile,...
Relazione tra grado di finitura cavitaria e qualità dell’interfaccia adesiva di due sistemi self-etching....
Questo lavoro è tratto dalla tesi del dr. Ivano Conti premiata nel corso della Giornata del Dentista Moderno 2010. Nei prossimi numeri, in questo...
Analisi SEM sulla micromorfologia di superficie di un composito dopo sbiancamento con un gel...
• Orsola Falivene1
• Ciro Susini1
• Carlo De Carolis1
• Giancarlo Barraco2
• Stefano Eramo1
1Università di Perugia - Corso di Laurea Magistrale in Odontoiatria e Protesi Dentaria...
Rugosità di superficie di compositi microibridi e nanoibridi dopo lucidatura: analisi ...
Riassunto
Questo studio valuta gli effetti di tre differenti sistemi di lucidatura, attualmente in commercio (PoGopolishers, Enhance e VenusSupra), su sei differenti tipi di composito...
L’incollaggio delle ceramiche allo smalto
Ceramic’s bonding to enamel
Per un risultato efficace e duraturo, il condizionamento della superficie della ceramica da incollare allo smalto è importantissimo ed è diverso...
L’uso del composito in casi di grave abrasione ed erosione: caso clinico
L’incidenza dell’erosione e dell’abrasione nella popolazione è aumentata a causa di un’alimentazione sbilanciata e di uno stile di vita piuttosto frenetico. Anche il crescente...
Influenza di un primer MDPB sulla formazione di biofilm da parte di Streptococcus mutans...
Riassunto
Obiettivi. Scopo di questo studio è stato quello di verificare l’attività del sistema adesivo di tipo “self-etching primer” (Clearfil Protect Bond, Kuraray, Giappone)...
Sostituzione di vecchi restauri in amalgama con un composito ad alta valenza estetica
Il seguente caso clinico mostra la sostituzione di due restauri in amalgama oramai incongrui con dei nuovi restauri in resina composita. Ciò che si...
Sensibilità post-operativa e risultati clinici a un anno di restauri di II classe...
Riassunto
Scopo di questo lavoro clinico è stato quello di valutare a sensibilità post-operativa e le performance cliniche di restauri di II classe eseguiti mediante...
L’incremento dell’adesività batterica sulla superficie dei materiali da restauro indiretto in relazione alle metodiche...
Francesco Mangani1 Erika Cavazzana2 Carlo Bonfanti3 Giorgia Mabellini2
Antonio Cerutti2
Increase of bacterial adhesion, related to polishing technique, on the surface of different indirect restorative materials
I compositi sono...
Conservativa diretta nel settore frontale: case report Premium
Vengono illustrati in maniera schematica tutti i passaggi di un piano di trattamento conservativo che prevede, previa ceratura diagnostica degli elementi da restaurare, la...
Indagine conoscitiva sulle tecniche utilizzate in odontoiatria conservativa
Riassunto
L’utilizzo di questionari inviati agli odontoiatri per analizzare procedure diagnostiche, metodiche operative e gestionali è assai diffuso in letteratura.
La maggior parte di queste analisi...
Comparazione tra misurazioni analogiche e digitali nello Smile Design
Utilizzare sistemi digitali per la previsualizzazione del sorriso comporta il rischio di mal calcolare le misure analogiche, in conseguenza della distorsione dell’immagine digitale. Senza...
Riabilitazione degli elementi diatorici con tecniche adesive metal free Free
Viene presentata una procedura di ritrattamento che ha previsto l’utilizzo di materiali compositi e tecniche adesive per sostituire vecchie otturazioni in amalgama. Questo case report mostra come sia possibile restituire al paziente estetica e funzione














