Dall’India una singolare tecnica per ottenere vantaggi ergonomici in chirurgia estrattiva
L'ergonomia è una disciplina scientifica che l'odontoiatra deve saper padroneggiare al fine di garantire le proprie prestazioni professionali e salvaguardare la propria integrità fisica. Testi specialistici osservano come sia importante per il professionista sfruttare al massimo le proprie pause lavorative per rilassare la muscolatura e suggeriscono anche di cercare di variare la posizione durante l'atto clinico.
Valutazione anamnestica del paziente che consuma bevande alcoliche
L'abitudine al consumo di alcol è un dato anamnestico importante da indagare, sia perché importante appunto nel quadro della salute generale del paziente, sia per le condizioni di diretto interesse odontostomatologico con le quali può essere collegato. Il British Dental Journal ha di recente aggiornato le indicazioni per gli odontoiatri in merito a questa tematica,
Endocardite batterica: novità dalle prossime linee guida?
L'endocardite batterica costituisce una patologia dalle sequele potenzialmente gravi se non fatali e dal forte interesse odontostomatolgico. La profilassi antibiotica per pazienti a rischio che si sottopongono a trattamenti odontoiatrici a rischio è una misura non demandabile, raccomandata dalle principali associazioni di categoria.
Derivati di matrice dello smalto e infiammazione
I derivati di matrice dello smalto (EMD) rappresentano oggi un prodotto estremamente noto e di uso abbastanza comune nella rigenerazione tissutale dei difetti ossei parodontali. Questa sostanza risulta però coinvolta anche nei meccanismi dell'infiammazione cellulare e in quelli di riparo dei tessuti molli. Il gruppo di lavoro di Myron si è proposto di analizzare tali processi all'interno di una articolata revisione.
Filling labiale: ruolo dell’odontoiatra, materiali e complicanze
Oramai da diverso tempo le metodiche di filling labiale sono entrate a far parte della sfera di interessi del mondo odontoiatrico. Le labbra sono...
Filler: anatomie a rischio e relative complicanze
Da alcuni anni a questa parte è aumentato l'interesse da parte del mondo odontoiatrico nei confronti di alcune metodiche comprese nell'ambito della chirurgia estetica del viso. Quando non interessato in prima persona, l'odontoiatra può comunque interfacciarsi con un altro specialista, ad esempio nell'ottica di completare un trattamento protesico con un intervento sulle strutture molli circostanti.
Nuove prospettive nella valutazione della qualità ossea
La BMD (bone mineral density) si configura come indicatore principale della qualità ossea sin dal 2000, quando venne proposto a questo scopo dal National Institutes of Health. Successivamente sono stati introdotti ulteriori parametri giudicati potenzialmente utili nella valutazione clinica della stessa qualità ossea.
Epidemiologia delle problematiche dentali nella terza età
Le popolazioni dei paesi occidentali, compresa quella italiana, stanno andando incontro a un invecchiamento generale. Appare chiaro come il mantenimento di una dentatura efficiente in tarda età debba costituire un obiettivo sanitario per tutte queste realtà territoriali. In questi paesi, negli ultimi anni, è radicalmente mutata la percezione dell'edentulismo stesso.
Breve compendio di endodonzia nel paziente con patologia cronica
Una riflessione su aspetti legati alla presenza di condizioni croniche di patologia e i possibili risvolti di interesse endodontico. Non si tratta necessariamente di conseguenze dirette, ma è chiaro che il medico ha la necessità di conoscere le possibili implicazioni dell'anamnesi da lui raccolta. I dati più importanti sono le possibili emergenze mediche e le possibili interazioni farmacologiche, oltre alle relative soluzioni. Il tutto visto principalmente dalla prospettiva dell'endodontista.
Corpi estranei nel cavo orale e onicofagia
Lesioni dentali autoinflitte sono riscontrabili, non solo nel paziente pediatrico ma anche nell'adulto, a causa di abitudini viziate particolarmente accentuate, quali l'onicofagia o l'introduzione di veri e propri corpi estranei. Intercettare e correggere precocemente tali quadri clinici può significare la prevenzione delle eventuali complicanze.
Pacemaker e odontoiatria: è possibile creare disturbi?
Oggigiorno non è infrequente per l'odontoiatra doversi confrontare con quadri anamnestici particolari e di interesse prettamente specialistico. È giusto ribadire, in tal senso, la...
Implantologia e osteointegrazione nel paziente anziano: aspetti biologici
Il paziente anziano è un soggetto candidabile a riabilitazione implanto-protesica anche complessa. Ciò rappresenta un vantaggio, dato che un anziano va incontro più facilmente alla perdita di elementi dentari e anche la risposta a un bisogno, dal momento che la popolazione italiana sta andando incontro a un invecchiamento.
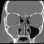
Aspetti biologici e clinici delle sinusiti odontogene
Sinusiti e rinosinusiti costituiscono le complicanze potenziali di alcune condizioni patologiche o trattamenti di competenza odontoiatrica. Interessante come sia stato recentemente appurato il coinvolgimento eziopatogenico di specie batteriche in grado di svilupparsi all'interno del biofilm.
Utilizzo della tossina botulinica nel distretto testa-collo
La tossina botulinica, neurotossina prodotta dal batterio sporigeno Clostridium botulinum è uno tra i più potenti veleni naturali conosciuti. Dal punto di vista biochimico,...
Quorum quenching: l’inibizione del quorum sensing
Le due patologie che rappresentano la primaria competenza clinica dell'odontoiatra sono la carie e la malattia parodontale. Esse sono accomunate dal fatto di essere...
Materiali di utilizzo in odontoiatria estetica
Dal punto di vista commerciale, ma anche per quanto riguarda il background scientifico alla base, i prodotti più impiegati nella lip augmentation sono senza...















