Riabilitazione completa con protesi mobili e fisse tradizionali
1DMD, Clinical Assistant Professor, New York University College of Dentistry
2DDS
L'obiettivo di questo articolo è quello di focalizzarsi su come riabilitare i pazienti che hanno una...
Impronta con scanner intraorale digitale Cadent iTero
Riassunto
Una presa di impronta precisa e prevedibile e la registrazione occlusale sono da sempre le procedure più difficili da effettuare. Il successo dei nostri restauri...
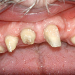
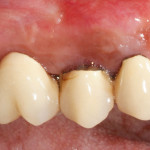
Trattamento chirurgico-protesico di una zona ad alta valenza estetica
Riassunto
Nei casi di riabilitazione del gruppo antero-superiore e in pazienti con linea del sorriso alta o media, la sola terapia protesica può non essere...
Protesi fissa a supporto implantare mediante funzione immediata
Implant supported rehabilitation with immediate function
Attraverso la presentazione di un case report viene analizzata la procedura utilizzata nel gestire un carico immediato bimascellare, con...
Ponte su intarsi inlay: quale materiale utilizzare?
Riabilitazione di edentulia singola posteriore, un approccio conservativo utilizzando FRC: quattro case report
Conservative approach for restoring posterior missing tooth with fiber reinforcement materials: four...
La corona a pontic nella moderna protesi su impianti
Luigi Baggi1 DDS Roberta Calcaterra1 MD, PhD Michele Di Girolamo2 DDS
The pontic crown in the modern implant prosthesis
La tecnica della corona a pontic consente non solo...
Oro: un’odontoiatria fuori dal tempo o una reale alternativa clinica?
Riassunto
L’attualità delle ricostruzioni indirette in lega aurea è sempre oggetto di discussione; numerosi infatti sono gli studi longitudinali che riportano ottimi risultati riguardo agli intarsi in...
Rapporti occlusali: selezione e montaggio degli elementi posteriori
Le considerazioni riguardanti la fisionomia e l’estetica hanno una grande importanza nella realizzazione di una riabilitazione protesica a supporto osteo-mucoso; infatti, come già ricordato,...
Pianificazione razionale nelle grandi riabilitazioni con impianti post-estrattivi immediati
Riassunto
Nel presente lavoro scientifico si descrive una procedura di trattamento standard per arcata completa, basata su 3 fasi terapeutiche, per una durata complessiva del...
Faccette palatali e frontali per il trattamento dell’erosione dentale grave: caso clinico ...
Dal 2006 presso l’Università di Ginevra i pazienti affetti da erosione dentale vengono trattati non appena possibile dopo l’identificazione di dentina esposta tramite il...
Influenza della preparazione dentale sull’adattamento marginale di una ceramica fresata in biossido di zirconio
• Gabriele Augusti*
• Davide Augusti
• Dino Re
Università degli Studi di Milano Istituto di Clinica Odontoiatrica e Stomatologica, Direttore Prof. F. Santoro
Corso di laurea...
Fast and Easy Loading Procedure (FELP): sistema di gestione di protesi provvisorie in riabilitazioni...
Viene illustrata una tecnica per realizzare la protesi provvisoria del paziente prima della chirurgia: utilizzando un software di programmazione chirurgica e le relative tecniche...
La gestione del carico immediato tramite l’utilizzo di abutment in poliossimetilene: risultati clinici...
Giovanni Ghirlanda, Laura Cardoso Campos, Vittorio Giannelli, Andrea Enrico Borgonovo1
1Professore a contratto, Università degli Studi di Milano
Riassunto
Numerosi lavori scientifici e successive revisioni della letteratura...
Protesi e sbiancamento: gestione del trattamento dopo i restauri
La combinazione di tecniche adesive dirette e indirette associate a sbiancamento pre, intra o postoperatorio sono le armi a disposizione dell’odontoiatra che ha l’esigenza...
Detersione e disinfezione dei materiali da impronta
Ruolo dei materiali da impronta nelle infezioni crociate
Do dental impression materials play a role in cross contamination?
Shlomo M, Amir E, Colin G, et al....
Tips&Tricks Isolamento a finire
• Giuseppe Chiodera
• Ombretta Papini
Riassunto
Lo scopo di questo articolo è proporre una tecnica di isolamento che consenta di posizionare la diga nel rispetto...














