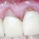
La corona a pontic nella moderna protesi su impianti
Luigi Baggi1 DDS Roberta Calcaterra1 MD, PhD Michele Di Girolamo2 DDS
The pontic crown in the modern implant prosthesis
La tecnica della corona a pontic consente non solo...
Nuovi materiali e protocolli semplificati per una protesi di qualità
New materials and simplifield procedures, to an high quality prothesis
Il caso clinico illustrato evidenzia come i nuovi materiali proposti siano efficaci per ridurre il...
Percentuali di successo clinico delle ricostruzioni indirette in composito nei settori posteriori
A causa della crescente domanda di restauri con materiali estetici, ceramiche e compositi sono divenuti materiali di prima scelta nelle riabilitazioni dei settori posteriori....
Protesi fissa a supporto implantare mediante funzione immediata
Implant supported rehabilitation with immediate function
Attraverso la presentazione di un case report viene analizzata la procedura utilizzata nel gestire un carico immediato bimascellare, con...
Dental FEA, il CAE in odontoiatria
Finite element analysis of dental applications
Con l’applicazione Dental FEA è possibile evidenziare visivamente nel post-processing le aree di maggior stress generato sulla protesi dentaria,...
Metodi di riparazione intraorale di protesi fisse: procedure tecniche e cliniche Protocolli di...
Da oltre cinquant’anni le ceramiche dentali rappresentano il materiale estetico d’elezione per la realizzazione di protesi fisse in metallo-ceramica. Purtroppo la fragilità di questo...
Riabilitazione estetica con disilicato di litio e cementazione adesiva. Caso clinico
Riassunto
Obiettivi. Presentare una riabilitazione estetica con restauri totali e parziali in disilicato di litio cementati adesivamente.
Materiali e metodi. All’esame clinico la paziente si è...
Ponte su intarsi inlay: quale materiale utilizzare?
Riabilitazione di edentulia singola posteriore, un approccio conservativo utilizzando FRC: quattro case report
Conservative approach for restoring posterior missing tooth with fiber reinforcement materials: four...
Trattamento chirurgico-protesico di una zona ad alta valenza estetica
Riassunto
Nei casi di riabilitazione del gruppo antero-superiore e in pazienti con linea del sorriso alta o media, la sola terapia protesica può non essere...
Riabilitazione di arcata superiore edentula mediante overdenture a supporto implantare. Utilizzo di attacchi a...
Riassunto
Obiettivi. Le protesi overdenture supportate da denti sono state per la prima volta documentate circa 150 anni fa, ma la loro realizzazione – mediante...
La cementazione provvisoria delle corone su impianto: caratteristiche e metodiche per la sua rimozione
La ritenzione di corone fissate ad abutment implantari con cementi provvisori
Nagasawa Y, Hibino Y, Nakajima H. Dental Materials Journal 2014;33(6):835-44.
Lo scopo di questo studio...
Valutazione estetica e funzionale dei restauri in zirconia realizzati con tecnica tradizionale e tecnologia...
Background. Il fallimento più frequente delle ricostruzioni in zirconia-ceramica è il chipping della ceramica, mentre la struttura in zirconia rimane frequentemente più stabile nel...
Tips&Tricks Isolamento a finire
• Giuseppe Chiodera
• Ombretta Papini
Riassunto
Lo scopo di questo articolo è proporre una tecnica di isolamento che consenta di posizionare la diga nel rispetto...
Impronta di precisione in protesi fissa: caratteristiche dei materiali
Enrico Manca
Dino Re1
Gabriele Augusti1
Davide Augusti1
Ugo Torquati Gritti1
1Istituto Stomatologico Italiano, Università degli Studi di Milano, Reparto di Riabilitazione Orale
L’impronta di precisione è uno dei passaggi clinici...
Full mouth rehabilitation utilizing traditional fixed and removable prostheses
1DMD, Clinical Assistant Professor, New York University College of Dentistry
2DDS
The goal of this article focuses on how to restore patients who have severe loss of function...
Riabilitazione completa con protesi mobili e fisse tradizionali
1DMD, Clinical Assistant Professor, New York University College of Dentistry
2DDS
L'obiettivo di questo articolo è quello di focalizzarsi su come riabilitare i pazienti che hanno una...














