Efficacia dell’implantoplastica nel trattamento chirurgico della perimplantite: case series
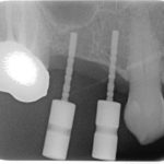
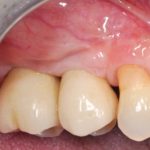
Il trattamento chirurgico della perimplantite ha come obiettivi quelli di eliminare le tasche perimplantari e migliorare l’accesso per l’igiene orale domiciliare. In questo studio...
Autotrapianto di ottavo incluso a sostituzione di un settimo irrimediabilmente compromesso: case report
Luca Boschini1
Michele Melillo2
1Odontoiatra, libero professionista, Rimini
2Odontoiatra, libero professionista, Manfredonia (FG)
Specializzato in Chirurgia odontostomatologica presso l’Università G. D’Annunzio di Chieti
Riassunto
I trapianti dentali sono un capitolo...
Nuove tendenze in chirurgia ortognatica
Latest trends in orthognathic surgery
Negli ultimi anni la chirurgia ortognatica ha subito un notevole sviluppo sia nelle procedure sia nelle tecniche utilizzate. Basti pensare...
Tecnica atraumatica di rialzo di seno mascellare per via transcrestale
È corretto eseguire il rialzo del pavimento del seno mascellare per via transcrestale tramite tecnica atraumatica SinCrest, anche in presenza di una ridotta altezza...
Rigenerazione ossea guidata con membrane non riassorbibili
Quando è possibile combinare una rigenerazione ossea orizzontale o verticale mediante l’utilizzo di membrana non riassorbibile a un rialzo di seno mascellare? Dopo aver trattato un’atrofia mascellare con rigenerazione ossea guidata, Giacomo Santoro, giovane odontoiatra che esercita la libera professione a Milano e a Carpi, chiede un secondo parere a Massimo Simion, parodontologo, implantologo e chirurgo orale di fama internazionale.
Approccio minimamente invasivo nel rialzo di seno mascellare per via crestale
Minimally invasive way in maxillary sinus lift through crestal approach
Vengono presentati due casi di edentulismo del mascellare superiore trattati con una tecnica minimamente invasiva...
Utilizzo di placche da osteosintesi e membrane in collagene nella rigenerazione ossea
Use of osteosynthesis plates and collagen membranes in bone regeneration
Viene presentata una tecnica GBR che utilizza placche da osteosintesi e membrane riassorbibili in collagene...
Inquadramento clinico e radiologico dei terzi molari in disodontiasi
Jason Motta Jones1 Alessandro Di Marco1 Tommaso Ghedini2 Federico Mazza3 Luca Toselli3
Clinical and radiological classification of third impacted molars
L’estrazione dentale è una delle pratiche più comuni in...
Chirurgia implantare in pazienti in terapia con farmaci anti-osteoporosi
Gregorio Guabello, Medico Chirurgo, Specialista in Medicina Interna ed Endocrinologia http://www.cmvm.com/lista-medici/guabello/
Con il crescente invecchiamento della popolazione, l’odontoiatra intercetta sempre più spesso pazienti in età medio-avanzata o...
Trattamento chirurgico di un’estesa cisti aneurismatica mandibolare: un case report
Surgical treatment of a large aneurysmal mandibular cyst: a case report
I risultati di questo case report ci suggeriscono come il processo di ossificazione spontanea...
Diastema, frenulo e frenulectomia
Diastema, frenum and frenectomy
La principale indicazione alla frenulectomia mediana superiore è costituita dalla persistenza del diastema interincisivo oltre il fisiologico periodo della fase del...
La chirurgia degli ottavi: dalla programmazione dell’intervento alla gestione delle complicanze
L’avulsione dei terzi molari inferiori è una delle procedure di chirurgia orale maggiormente eseguite e che spesso può risultare difficoltosa, soprattutto se non è...
Grande rialzo del seno mascellare eseguito senza materiali da innesto Case report
Introduzione. Il grande rialzo del seno mascellare, che ha lo scopo di rigenerare l’osso al fine di consentire l’inserimento implantare dei settori postero-superiori, prevede...
La gestione chirurgico-protesica di tessuti gengivali in un caso estetico – Case report
Riassunto
Una paziente si presenta all’osservazione clinica con una frattura radicolare di 1.4 con associato riassorbimento osseo. Il dente viene estratto utilizzando una tecnica di...
Enucleazione chirurgica di grossa cisti mascellare superiore in anestesia generale
Riassunto
Case report di enucleazione cisti di 65 mm dal seno mascellare di uomo adulto in anestesia loco-regionale.
La cisti aveva eroso una grossa quota di...
Corticotomie a scopo ortodontico: protocolli clinici e revisione della letteratura
Riassunto
L’intervento di corticotomia dento-alveolare è una metodica chirurgica consolidata, considerata una valida opzione terapeutica nel trattamento ortodontico del paziente adulto. Il meccanismo d’azione alla...















