Digitale in odontoiatria: ecco perché dire sì
Chiunque pratichi l'odontoiatria oggi deve interrogarsi su quando effettuare la transizione alle impronte digitali. Vediamo una moltitudine di articoli e studi giornali riguardanti la...
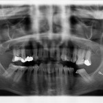
Perchè realizzare l’ortopantomografia direttamente nel proprio studio odontoiatrico
L'odontoiatra è probabilmente la figura medica che, fatta eccezione ovviamente per lo specialista in radiologia e diagnostica per immagini, fa più frequentemente uso di...
Canoni dell’estetica in odontoiatria e tecnica di valutazione
Come già esposto in diversi altri lavori, negli ultimi anni abbiamo assistito a un affinamento delle tecniche riabilitative nel settore estetico del sorriso. Ne...


