Accorgimenti nel trattamento di pazienti che si sottopongono a radioterapia
Riassunto
La radioterapia nelle neoplasie della testa e del collo è una possibilità di trattamento. In questo articolo vengono analizzate le possibili complicanze che insorgono...
Il trattamento di lesioni cariose non cavitate tramite infiltrazioni di materiali resinosi
La gestione della carie dentale è cambiata drasticamente negli ultimi anni, evolvendosi dal tradizionale concetto di trattamento e improntandosi sempre più alla prevenzione e...
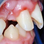
Rara neoformazione della mucosa geniena. Un case report
Marco Berardini
Enzo Di Iorio
L'ondotoiatria e il chirurgo orale sono spesso chiamati a fare diagnosi circa neoformazioni a carico dei tessuti molli del cavo...
Rigenerazione ossea guidata con griglie in titanio in settore estetico xCase report
Riassunto
Obiettivi. Rigenerazione ossea mediante l’utilizzo di micro mesh in titanio e osso bovino deproteinizzato con contestuale inserzione di impianto in zona ad alta valenza...
Chirurgia orale: patologie sistemiche che aumentano il rischio d’infezione
Riassunto
La chirurgia in genere è un trattamento invasivo che espone il paziente operato a rischio infettivo. La chirurgia orale è spesso eseguita a livello...
Restauri conservativi di V classe secondo i principi della tecnica BOPT: le...
Class V conservative restorations according to the principles of BOPT technique: the tissue responses Case report with a 40 month follow-up
Viene presentato un caso clinico,...
Bifosfonati: il punto della situazione
Diverse pubblicazioni negli ultimi anni hanno suggerito che l’osteonecrosi della mandibola è associata alla terapia con bifosfonati. È importante per i pazienti essere informati...
Parestesia differita: dopo l’estrazione di un dente del giudizio
Riassunto
In seguito a una lesione del nervo alveolare inferiore, nella maggior parte dei casi, la comparsa di un’alterata sensibilità inizia immediatamente dopo l’intervento chirurgico, altre volte...
Approccio minimamente invasivo nel rialzo di seno mascellare per via crestale
Minimally invasive way in maxillary sinus lift through crestal approach
Vengono presentati due casi di edentulismo del mascellare superiore trattati con una tecnica minimamente invasiva...
La terapia fotodinamica in parodontologia
• Claudio Mongardini1
• Andrea Pilloni1
1Sapienza, Università di Roma - Corso di laurea magistrale in Odontoiatria e Protesi dentaria Cattedra di Parodontologia (Titolare: Prof. Andrea Pilloni)
Riassunto
La...
Ortodonzia linguale e ortodonzia con allineatori, due casi a confronto
• Valentina Amateis1
• Giulia M. Fulghieri2
• Carlo Besozzi3
• Marco Cribiù3
1Programma di formazione post-universitaria, Istituto Stomatologico Italiano, Milano
2Reparto di Ortodonzia, Istituto Stomatologico Italiano, Milano
3Istituto Stomatologico...
Chirurgia orale pediatrica: associazione tra odontoma, fusione dentale e mesiodens
• Elena Bassani1
• Luigi Paglia2
1Corso di perfezionamento post universitario, Istituto Stomatologico Italiano, Milano
2Dipartimento di odontoiatria infantile, Istituto Stomatologico Italiano, Milano
Riassunto
L’iperdonzia e l’insorgenza di odontomi...
Autotrapianto di ottavo incluso a sostituzione di un settimo irrimediabilmente compromesso: case report
Luca Boschini1
Michele Melillo2
1Odontoiatra, libero professionista, Rimini
2Odontoiatra, libero professionista, Manfredonia (FG)
Specializzato in Chirurgia odontostomatologica presso l’Università G. D’Annunzio di Chieti
Riassunto
I trapianti dentali sono un capitolo...
Il laser in patologia orale: peculiarità e differenti modalità d’impiego
Riassunto
In campo medico le applicazioni del laser sono vastissime, basti pensare come la sua tecnologia viene sfruttata nella diagnostica per immagini, in laboratorio e,...
Estrarre o conservare l’elemento dentario? Il ruolo della chirurgia endodontica
Extracting or preserving the dental element? The role of endodontic surgery
Quando andiamo a comparare i due tipi
di riabilitazione possibili di un elemento dentale compromesso,...
Effetti delle terapie per l’asma sulla salute dentale dei bambini ungheresi
Judit Nemes, D.M.D., Ph.D.1
Béla Nagy, M.D., Ph.D.2
Márta Alberth, M.D., L.D.S., Ph.D.1
1Department of Pediatric Dentistry and Orthodontics - University of Debrecen, Hungary
2Department of Pediatrics -...















