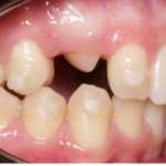
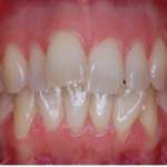
Disgiunzione palatale con C-Expander in pazienti tardo-adolescenziali Premium
L’introduzione dei mini impianti ha ampliato le possibilità di trattamento in ortodonzia, rendendo la disgiunzione palatale praticabile anche in pazienti oltre la fase di crescita. Questo articolo presenta due casi clinici trattati con un dispositivo ad ancoraggio scheletrico, applicato in un’unica seduta senza l’ausilio di dima chirurgica.
Night-time aligners. La notte ha l’oro in bocca?
Gli allineatori trasparenti rappresentano una delle innovazioni più significative nel campo dell’ortodonzia moderna. Introdotti per la prima volta sul mercato alla fine degli anni...
Ortodonzia linguale 2D e terapia estrattiva asimmetrica
Presentiamo il caso di una paziente adulta in cui è stato eseguito un trattamento ortodontico con meccanica asimmetrica mediante apparecchiatura ortodontica linguale 2D. L’obiettivo: ottenere la correzione secondaria di una malocclusione caratterizzata da agenesia degli incisivi laterali superiori e di un premolare inferiore, associata ad affollamento dentale terziario a entrambe le arcate; al trattamento è seguita riabilitazione implanto-protesica di uno degli incisivi laterali agenesici.
Chiusura degli spazi e mesializzazione con l’utilizzo di dispositivo DIVA Premium
Si presenta un case report dedicato a una paziente che presenta una prima classe scheletrica con tendenza alla terza classe e crescita in iperdivergenza, una buona posizione degli incisivi sia superiori sia inferiori sul piano sagittale, un viso armonico nelle sue proporzioni con competenza labiale, un profilo normale e un sorriso irregolare.
Miniviti ortodontiche (TADs): un alleato in più nell’ortodonzia moderna
Dette anche TADs (Temporary Anchorage Devices), le miniviti ortodontiche si posizionano nell’osso mascellare o mandibolare per un tempo limitato con l’obiettivo di migliorare il...
Canini inclusi e allineatori: la chirurgia è sempre necessaria?
Il trattamento ortodontico dei canini mascellari inclusi mediante allineatori senza l’utilizzo di miniviti o apparecchi sezionali fissi rappresenta uno dei problemi clinici più impegnativi per gli ortodontisti. Lo scopo di questo lavoro è condividere considerazioni cliniche relative al trattamento di questi elementi dentari utilizzando gli allineatori da soli o in combinazione con gli elastici. Come mostrato da questi due casi clinici, sia l’approccio chirurgico che quello non chirurgico possono essere efficaci nel trattamento dei canini inclusi, a seconda del caso clinico e della posizione iniziale del canino.
Intelligenza artificiale e Ortodonzia: la giusta sinergia fra tecnologie hi-tech e clinica Premium
Le recentissime innovazioni tecnologiche applicate all’odontoiatria semplificano il flusso di lavoro e supportano con efficienza l'operato del clinico, consentendo di affrontare in sicurezza anche i casi ortodontici più complessi che vedono coinvolti pazienti pediatrici. La moderna Ortodonzia, che da qualche anno si avvale della tecnologia digitale, sta attraversando un periodo di massima espressione tecnologica, usufruendo delle ultime scoperte in campo informatico. A tal proposito anche l’Intelligenza Artificiale (IA) ha fatto il suo ingresso in campo ortodontico, supportando il clinico sia per quanto riguarda la diagnosi sia per quanto concerne la pianificazione del caso trattato.
Il ruolo dell’allineamento dentale nell’approccio mini-invasivo alla riabilitazione estetica Premium
L’utilizzo dell’allineamento pre-protesico seguito da terapia restaurativa con tecniche adesive consente di proporre ai pazienti piani di trattamento con un approccio minimamente invasivo
Prevalenza dei differenti tratti malocclusivi nella popolazione in età scolare del Burundi: studio preliminare
Questo studio sull’epidemiologia ortodontica svolto da un team di odontoiatri volontari in Africa ha verificato che nei bambini burundesi le caratteristiche malocclusive sono molto...
Trattamento ortodontico e carie: i risultati di una ricerca sugli adolescenti
Il trattamento ortodontico rappresenta un intervento ampiamente adottato per migliorare l'estetica dentale e correggere le malocclusioni nei pazienti in crescita. Tuttavia, in alcune circostanze...
Trattamento ortodontico e DTM, esiste una correlazione
Tra trattamento ortodontico e disturbi dell'articolazione temporo-mandibolare (DTM) potrebbe esserci una correlazione. Con questa idea, due ricercatrici, Soumya Thirumoorthy e Saumiya Gopal, hanno condotto...
La tecnica Invisalign dopo 25 anni: predicibilità clinica e workflow digitale
Un’ortodonzia predicibile per lo specialista e una nuova frontiera nell’approccio interdisciplinare per il dentista generico. Scopo di questo aggiornamento monografico è quello di delineare i...















