Nella lucidatura del composito, la pressione conta più dell’ingrandimento
La lucidatura del composito rappresenta una fase critica nel successo estetico e funzionale dei restauri diretti. La qualità della superficie influisce non solo sulla...
Restauri indiretti in composito fresato nel workflow digitale
Si documenta la gestione di un restauro indiretto di elemento 1.6 affetto da infiltrazione e frattura cuspidale, trattato con tecnica adesiva indiretta e supporto...
Il minimo intervento nella gestione domiciliare della lesione cariosa nel paziente anziano Premium
Una efficace e razionale strategia d’igiene orale a domicilio dedicata al paziente anziano permette un approccio preventivo nei confronti dello sviluppo della lesione cariosa e, altresì, il suo arresto in una fase iniziale e inattiva.
Conservativa indiretta dei settori posteriori: indicazioni e materiali
Nella conservativa moderna, lo sviluppo delle procedure adesive ha condotto a una importante rivoluzione culturale e metodologica. Analogamente, l’evoluzione dei materiali e dei sistemi...
Cementi bioceramici, efficaci nella pulpotomia pediatrica
L’impiego dei cementi bioceramici in odontoiatria pediatrica ha rivoluzionato la gestione conservativa della polpa dentaria nei denti decidui. Una recente revisione sistematica con meta-analisi,...
Moderne tecniche per lo studio del colore del dente e sua riproduzione nei restauri... Premium
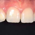
Il restauro diretto in resina composita dei denti anteriori è una sfida complessa per le elevate probabilità di insuccesso e la conseguente necessità di rifacimento. Questa problematica è legata principalmente alla difficoltà di ottenere una valutazione oggettiva del colore del dente mediante le comuni scale colore, complicata ulteriormente dalle variabili condizioni di luce negli studi professionali. Gli autori propongono una tecnica innovativa che, attraverso l’uso di scale colori personalizzate realizzate con gli stessi materiali impiegati per i restauri, permette di superare queste criticità.
Il laser in odontoiatria conservativa
Il laser maggiormente utilizzato per le preparazioni cavitarie in odontoiatria conservativa è il laser Er:YAG con lunghezza d’onda di 2940nm (Figura 1).
Della famiglia dei...
L’elevazione profonda dei margini per migliorare i restauri diretti
L'elevazione profonda dei margini (Deep Margin Elevation, DME) è una tecnica odontoiatrica cruciale per la gestione di lesioni cariose o fratture estese sotto il...
La presa colore nell’era digitale Premium
In odontoiatria restaurativa e protesica la scelta del colore rappresenta una fase fondamentale, che condiziona il risultato estetico finale e la soddisfazione del paziente. I sistemi visivi tradizionali comunemente utilizzati non sono però esenti da errori e talvolta la soggettività nell’interpretazione dei dati raccolti può generare incomprensioni con il laboratorio odontotecnico. In questo articolo viene presentato un protocollo di facile esecuzione che consente di registrare e trasmettere a distanza il parametro colore utilizzando la propria fotocamera digitale come un sofisticato spettrofotometro
Resmile Template mode, un approccio digitale e calibrato in odontoiatria estetica Premium
Il trattamento di una restaurativa anteriore è sempre una sfida per il clinico data l’importante componente estetica e funzionale da ripristinare. La difficoltà è spesso direttamente proporzionale all’inesperienza dell’operatore. Questo articolo si prefigge l’obiettivo di offrire una semplificazione e una standardizzazione di terapie che mettono a dura prova le skills di operatori esperti, ma soprattutto meno esperti.
Efficacia dei nuovi compositi clustershade nei restauri posteriori e anteriori
Vengono presi in esame due casi clinici che hanno previsto il restauro di elementi dentali attraverso l'utilizzo di un nuovo composito basato su tecnologia...
MIH: quanto ne sappiamo davvero?
L’MIH, cioè l’ipomineralizzazione dei molari e degli incisivi, è una patologia pediatrica poco nota al dentista generico, che invece potrebbe fare molto per intercettarla...
Adesivi autoindurenti e fotopolimerizzanti a confronto
Gli adesivi autoindurenti e quelli fotopolimerizzanti si contendono la scena, con esiti a volte chiari e certi, ma non sempre. Come mostra bene uno...
White spot: i trattamenti più efficaci per renderle meno visibili
White spot o lesioni bianche dello smalto: cosa sono?
Per white spot si intendono quelle macchie bianche, gessose e opache visibili sulla superficie dentale vestibolare...















