Autori
Trifone Lorenzo Bruno
Odontoiatra postgraduated presso Titu Maiorescu University
Luigi Cancellato
Odontoiatra libero professionista, Bari
Nicola Francesco Bruno
Odontotecnico libero professionista, Bari
Roberto Carlaio
Odontoiatra libero professionista, Bari
Abstract
Obiettivi. È stato preso in esame un caso clinico con la necessità di riabilitare l’elemento 1.6 dalle fondamenta. Tramite l’ausilio di tecniche riabilitative multidisciplinari e di restauri parziali in composito fresato sono state ripristinate estetica e funzione.
Materiali e metodi. Alla nostra attenzione si sottopone un paziente di anni 44 che presenta lesione cariosa profonda nel settore postero-superiore. Da un primo esame obiettivo si evince che l’elemento interessato è 1.6.
Al paziente viene proposto il seguente piano di trattamento: restauro indiretto di tipo onlay.
Risultati. La vera innovazione parte dalla fase di build-up, che ricopre un ruolo importante ai fini protesici, non solo di realizzazione del manufatto, ma anche della visione a tutto tondo del campo post-operatorio, garantendo una corretta lettura delle superfici e ripristinando le strutture tissutali perse.
Conclusioni. Le metodiche operative scelte hanno snellito di gran lunga i tempi operativi, riducendoli a due uniche sedute: preparazione – impronta –progettazione restauro – cementazione. Ciò consente al clinico e al tecnico una migliore gestione delle tempistiche, migliorando la lavorabilità, preservando stabilità funzionale e salvaguardando le caratteristiche estetico anatomiche.
Indirect milled composite restorations in the digital workflow
Objectives. A clinical case requiring full rehabilitation of tooth 1.6 from the foundations was examined. Through the use of multidisciplinary restorative techniques and partial restorations in milled composite, both aesthetics and function were restored.
Materials and Methods. A 44-year-old male patient presented with a deep carious lesion in the upper posterior sector. Clinical examination identified tooth 1.6 as the affected element. The proposed treatment plan included an indirect onlay restoration.
Results. The true innovation begins with the build-up phase, which plays a key role in the prosthetic workflow—not only in the fabrication of the restoration itself, but also in providing comprehensive visualization of the post-operative field, enabling accurate assessment of surfaces and reconstruction of lost tissue structures.
Conclusions. The selected operative techniques significantly streamlined the clinical workflow, reducing it to just two appointments: preparation, impression, restoration design, and cementation. This approach allows for improved time management for both clinician and technician, while preserving functional stability and maintaining anatomical and aesthetic integrity.
Si documenta la gestione di un restauro indiretto di elemento 1.6 affetto da infiltrazione e frattura cuspidale, trattato con tecnica adesiva indiretta e supporto digitale nella progettazione e realizzazione del restauro.
Nel contesto attuale della riabilitazione protesica, la digitalizzazione dei flussi clinici rappresenta una delle più significative innovazioni della pratica odontoiatrica. La protesi digitale non è più solo un ambito di sperimentazione teorica, ma costituisce una concreta opportunità clinica per realizzare trattamenti restaurativi ad alta precisione, predicibilità e conservatività.
Le tecnologie CAD/CAM, in particolare nella loro declinazione chairside, permettono di ridurre in modo sostanziale i tempi operativi, di aumentare l’efficienza nella comunicazione tra clinico e laboratorio e di migliorare la qualità globale dei restauri, grazie anche all’impiego di materiali sempre più evoluti dal punto di vista strutturale e funzionale.
In questo scenario, un ruolo centrale è assunto dal composito, materiale che ha progressivamente guadagnato sempre più attenzione rispetto sia alle tecniche stratificate convenzionali sia alle ceramiche vetrose, grazie a un equilibrio favorevole tra proprietà meccaniche, comportamento clinico e versatilità d’impiego.
I moderni compositi CAD/CAM ad alta densità di carica, spesso classificati come nanoibridi o micro-riempiti, sono ottenuti mediante processi industriali che ne garantiscono un’elevata omogeneità strutturale, con una percentuale di filler inorganico che può superare il 70% in peso. Tale composizione consente di ottenere materiali caratterizzati da una notevole resistenza alla flessione (con valori superiori ai 150 MPa), bassa usura occlusale e stabilità volumetrica nel tempo, riducendo il rischio di microinfiltrazioni e fratture post-cementazione. Questi materiali, inoltre, non necessitano di cotture o trattamenti termici post-fresatura, risultando immediatamente rifinibili e lucidabili con strumenti convenzionali alla poltrona.
La possibilità di intervenire con correzioni intraorali o riparazioni dirette amplifica ulteriormente il potenziale clinico del composito fresato, rendendolo particolarmente adatto ai restauri indiretti parziali posteriori, come inlay, onlay e overlay, laddove è necessario garantire un’elevata integrità meccanica senza sacrificare tessuto dentale sano. Il comportamento biomeccanico di questi materiali, il cui modulo elastico si colloca tra quello dello smalto e quello della dentina, consente una distribuzione più fisiologica dei carichi masticatori e una maggiore resilienza in situazioni cliniche complesse, come ad esempio restauri con cuspidi sottili o margini cervicali profondi.
Materiali e metodi
Anamnesi
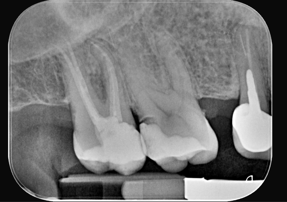
Una paziente di 44 anni si presenta alla nostra attenzione per la sostituzione di un vecchio restauro danneggiato. All’esame clinico si osserva la frattura della cuspide disto-palatina dell’elemento 1.6, associata a infiltrazione marginale di un restauro in composito incongruo. Le radiografie periapicali non evidenziano radiotrasparenze periapicali, ma mostrano possibili aree di demineralizzazione in zona marginale e all’interfaccia dente-restauro (1, 2, 3) (Figure 1-2).


Rimozione del restauro e preparazione dell’elemento 1.6
Si esegue anestesia plessica con rinforzo intraligamentoso mediante articaina 1:100.000 sull’elemento 1.6. Successivamente si isola il campo con diga in gomma, utilizzando una clamp 27N sull’elemento 1.7 (Figura 3) con invaginazione del foglio a livello dei colletti.

L’accesso cavitario viene realizzato in modo minimamente invasivo. Per la rimozione del vecchio restauro e l’apertura della cavità si utilizzano:
- fresa diamantata a pallina (gambo lungo, diametro 016);
- fresa cilindrica diamantata a testa arrotondata (corta, diametro 010) seguita da controllo con rivelatore di carie (Figura 4) e verifica degli spessori residui (Figure 5a-b);
- fresa in ossido di zirconio (014) per l’escavazione atraumatica della carie (4) (Figura 6).




Una volta completata la rimozione della carie, si inserisce un cuneo interdentale (Composi-Tight 3D Fusion, Garrison) e si posiziona una matrice sezionale con anello di contenimento dello stesso sistema per ricostruire la parete distale.
Mordenzatura e adesione
Per la mordenzatura dello smalto si utilizza acido ortofosforico al 37% in gel (Figura 7), al fine di creare micro-ritenzioni e migliorare la penetrazione dell’adesivo nel reticolo cristallino.

Il sistema adesivo universale auto-mordenzante a doppia polimerizzazione viene applicato con un microbrush in modo attivo per 20 secondi.
Il solvente viene evaporato con aria compressa per almeno 5 secondi, ottenendo uno strato adesivo sottile, omogeneo e lucente.
La fotopolimerizzazione con lampada LED ad alta intensità viene effettuata da più direzioni per almeno 10 secondi per lato. Il risultato è una superficie opaca ma lucida, indicativa di un’adesione uniforme.
Build-up e rilocazione del margine
Dopo la fotopolimerizzazione (20 secondi), si applica un primo strato di composito flowable bulk (Brilliant Bulk Fill, Coltene, Altstätten, Svizzera) seguendo il protocollo dell’Immediate Dentin Sealing (IDS) (5, 6).
La rilocazione del margine viene eseguita mediante un build-up periferico con composito opaco (7, 8) (Brilliant, Coltene, Altstätten, Svizzera).
Preparazione cavitaria per onlay
In un unico step si realizza la preparazione del box distale per l’onlay, eliminando la porzione distale del restauro. La sequenza prevede:
- riduzione del piano occlusale con fresa tronco-conica a testa arrotondata;
- preparazione dell’istmo occlusale;
- realizzazione dei box prossimali con fresa tronco-conica a testa piatta;
- svasatura distale con frese a fiamma (carburo di tungsteno e diamantate). Le pareti del box devono essere leggermente divergenti in senso occlusale (angolo di circa 4°) e non eccedere i 2 mm di spessore;
- arrotondamento dei bordi con fresa in pietra di Arkansas e gommino (Figura 8).

Impronta
Si realizza un’impronta di precisione con tecnica putty-wash in one-step, combinando un silicone A a viscosità media con un silicone B fluido (light body), iniettato nel solco gengivale e lungo i margini di preparazione per una registrazione fine dei dettagli (9, 10) (Figura 9).

Procedure di laboratorio per onlay
Per la realizzazione del restauro, l’odontotecnico effettua due colate delle impronte: la prima con gesso superduro, la seconda con gesso universale bianco.
I modelli ottenuti vengono scansionati e trasformati in file STL, poi inviati al laboratorio odontotecnico per la progettazione digitale. Il software consente la visualizzazione dei modelli virtuali e la modifica dei monconi sfilabili. Dopo la selezione del materiale, si procede con una ceratura digitale che tiene conto dei sottosquadri, dello spazio cementizio (70 μm), delle linee di finitura della preparazione e dello spessore minimo dei margini del restauro. Dopo 20–40 minuti di lavorazione, l’onlay viene fresato. Il restauro viene quindi separato dal blocchetto mediante uno strumento rotante, rifinito e adattato sui modelli (11-13) (Figure 10-11).


Sul modello sezionato in gesso superduro, il moncone dell’elemento 1.6 è rimovibile: questo consente di definire con precisione sia i contorni sia l’articolazione verticale dell’onlay. Il modello in gesso universale, più preciso, viene utilizzato come modello di studio, per controllare accuratamente il fitting interprossimale del restauro (Figure 12a-b).
La procedura si conclude con la rifinitura e lucidatura del restauro, precedute da pulizia e disinfezione con alcool.


Cementazione adesiva dell’onlay
Durante la terza seduta si esegue la cementazione del restauro in composito fresato (14).
La superficie interna dell’onlay viene pretrattata tramite sabbiatura con microparticelle di ossido di alluminio (Al₂O₃), con granulometria compresa tra 25 e 50 μm e pressione di 1-2 bar (15, 16).
Segue un bagno ultrasonico in alcool della durata di 5 minuti e l’asciugatura con getto di aria compressa.
Si procede quindi all’applicazione di silano come agente accoppiante: questo viene distribuito sulle superfici interne da cementare e lasciato agire per 60 secondi, quindi rimosso con aria compressa per 5 secondi. Tali pretrattamenti garantiscono la corretta adesione del restauro al substrato dentale (17, 18).
Contemporaneamente, si esegue l’isolamento del campo operatorio mediante diga in gomma, stabilizzata con uncino n. 2, e si effettua la prova del restauro in situ (19, 20).
La cavità viene detersa con una miscela pressurizzata di aria, acqua e polvere di glicina, per migliorarne la pulizia e il potenziale adesivo. I denti adiacenti sono protetti con nastro di teflon.
Si procede quindi con la mordenzatura della cavità, seguita dall’applicazione di un adesivo universale, che viene fotopolimerizzato secondo protocollo.
L’onlay viene cementato utilizzando un composito universale a polimerizzazione duale, applicato sia sulla cavità che sulla superficie interna del restauro precedentemente condizionata.
Il restauro viene inserito con cautela. Nella fase iniziale si utilizza un otturatore a pallina (Figura 13) per esercitare una compressione intermittente lungo il solco principale, facilitando la fuoriuscita di eventuali bolle d’aria e del cemento in eccesso.

Segue una compressione continua con lo stesso strumento, per stabilizzare il restauro in posizione.
Durante i primi minuti di indurimento chimico del cemento (circa 3 minuti), si procede con un’accurata rimozione degli eccessi utilizzando spatolina e scaler.
Nelle aree interprossimali, si passa un filo interdentale piatto (Satin Floss, Oral B) da vestibolare verso il palato/lingua, per 2-3 passaggi da mesiale e 2-3 da distale, con un movimento a “U”, evitando il rischio di rottura del filo. Per prevenire la formazione dello strato inibito dall’ossigeno ai margini del restauro, dopo la rimozione degli eccessi si applica un gel di glicerina trasparente (Figura 14).
Infine, si esegue la fotopolimerizzazione finale su tutte le superfici esposte del cemento, in cicli di 20 secondi ciascuno (21) (Figura 15).


Rifinitura e lucidatura dei restauri
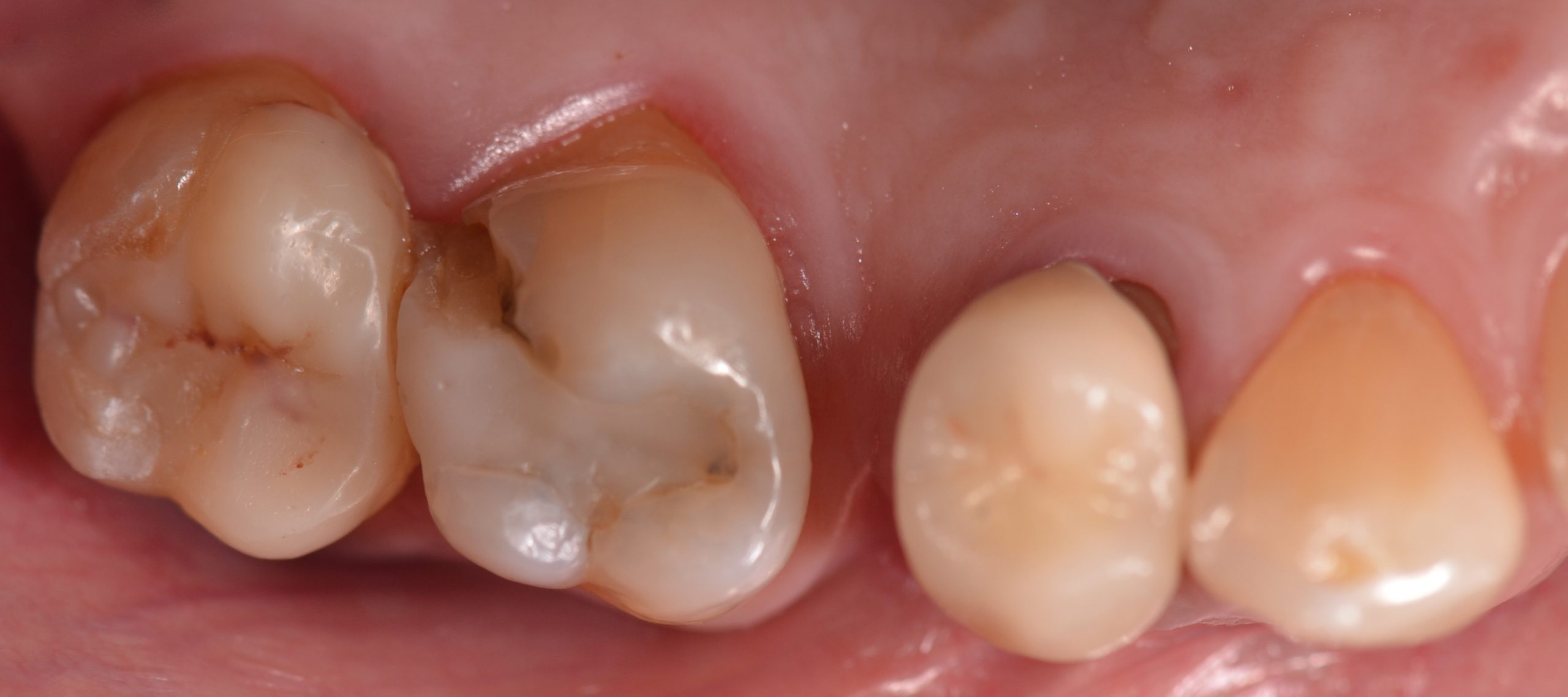
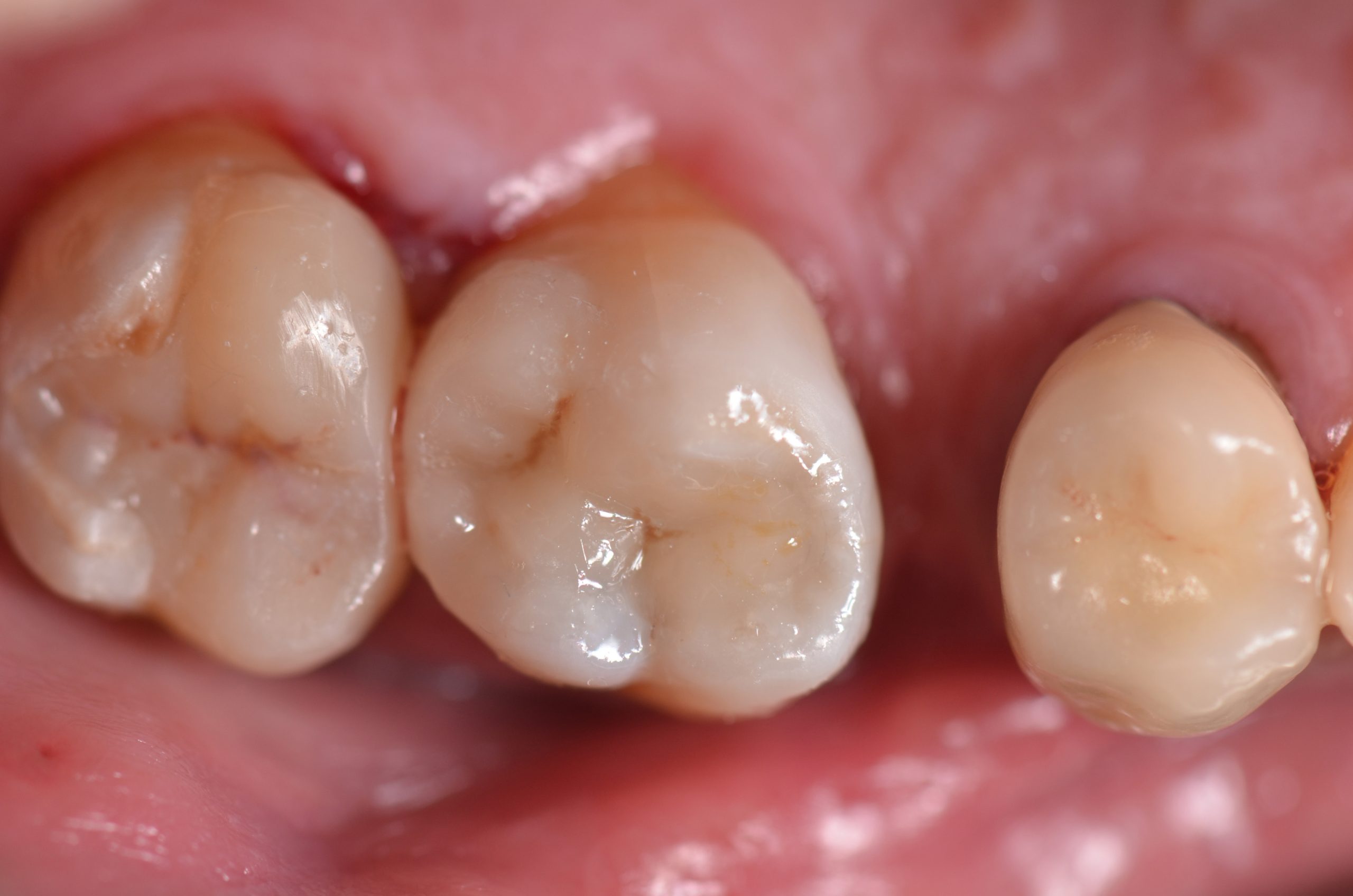
Dopo la rimozione della diga di gomma, per le zone di contatto si procede a rifiniture interprossimali con strisce abrasive. Concluso il controllo occlusale, per il molaggio selettivo dei precontatti si utilizza una fresa a pallina in carburo di tungsteno. Seguono quindi rifinitura e lucidatura con gommini abrasivi diamantati. Alcune superfici ruvide dell’overlay vengono rifinite e lucidate con l’ausilio di dischetti abrasivi a grana fine e di gommini. Con i dischi in feltro si passa alla lucidatura a specchio impiegando una pasta non abrasiva all’ossido di cerio. Dopo 15 giorni, si eseguono controllo radiografico e verifica del restauro eseguito (Figure 16-18). La Tabella 1 riassume il protocollo clinico utilizzato in questo case report.




Discussione
L’uso delle tecniche digitali porta ad ampliare le possibilità di restauro in funzione dei parametri di preparazione e dei materiali usati. Le tecniche di restauro indiretto richiedono requisiti imprescindibili che partono dalle fasi di build-up, passando per le impronte (digitali o analogiche) e, infine, alle fasi CAD/CAM. Il work flow digitale diventa la soluzione per aumentare le proposte protesiche che il clinico incontra quotidianamente. I materiali, oggi sempre più estetici, permettono di offrire ai pazienti soluzioni durature nel tempo e funzionali.
Grazie alle metodiche mininvasive è stato possibile effettuare una corretta pulizia cavitaria con un ridotto dispendio di tessuto sano, che è stato preservato sfruttando tecniche adesive. Sono stati ridotti i tempi di lavorazione del restauro ed è stato ottenuto un elevato grado di precisione dei manufatti.
Conclusioni
La valutazione millimetrica degli spessori di preparazione durante le fasi diagnostiche permette di rispettare al meglio le strutture dentali, con particolare attenzione verso un corretto profilo di emergenza. Di particolare interesse sono i compositi fresati che riescono ad offrire, grazie a translucenza e modulo elastico, una corretta estetica e funzione. L’adattabilità di questo tipo di materiali li rende indicati per qualsiasi tipo di intervento protesico/conservativo. Il tipo di restauro scelto e, soprattutto, le metodiche di fabbricazione in laboratorio hanno snellito i tempi alla poltrona, consentendo un iter di lavoro più efficiente e maggiore comfort per il paziente.
- Polz MH. Biomechanical basis of occlusal masticatory surface design. Zahntechnik (Zur) 1981;39(2):126-34. Anusavice K. Clinical decision-making for coronal caries management in the permanent dentition. J Dent Educ. 2001 Oct;65(10):1143-6. PMID: 11699991.
- Scotti N, Bergantin E, Giovannini R, Delbosco L, Breschi L, Migliaretti G, Pasqualini D, Berutti E. Influence of multi-step etch-and-rinse versus self-etch adhesive systems on the post-operative sensitivity in medium-depth carious lesions: An in vivo study. Am J Dent. 2015 Aug;28(4):214-8. PMID: 26437502.
- Ferrari P, Veneziani M. A comparison of various adhesive composite restorations in the posterior regions. Pract Proced Aesthet Dent. 2007 Sep;19(8):503-9; quiz 510, 501. PMID: 17970485.
- Magne P. Immediate dentin sealing: a fundamental procedure for indirect bonded restorations. J Esthet Restor Dent. 2005;17(3):144-54; discussion 155. doi: 10.1111/j.1708-8240.2005.tb00103.x. PMID: 15996383.
- Carvalho MA, Lazari-Carvalho PC, Maffra PET, Izelli TF, Gresnigt M, Estrela C, Magne P. Immediate Pre-Endodontic Dentin Sealing (IPDS) Improves Resin-Dentin Bond Strength. J Esthet Restor Dent. 2025 Jan;37(1):39-47. doi: 10.1111/jerd.13395. Epub 2025 Jan 6. PMID: 39760150.
- Alovisi M, Palopoli P, Comba A, Allais L, Roggia A, Baldi A, Pasqualini D, Berutti E, Scotti N. Morphological Analysis and Bond Strength to Root Canal Dentin of Endodontically Treated and Retreated Teeth: An Ex Vivo Study. J Adhes Dent. 2024 Oct 14;26:231-240. doi: 10.3290/j.jad.b5780319. PMID: 39397758; PMCID: PMC11748033. Atlas A,
- Grandini S, Martignoni M. Evidence-based treatment planning for the restoration of endodontically treated single teeth: importance of coronal seal, post vs no post, and indirect vs direct restoration. Quintessence Int. 2019;50:772-781.
- Terry DA, Geller W. Esthetic & Restorative Dentistry: Material Selection & Technique, ed 3. Chicago: Quintessence, 2018.
- Mario D, Mario A, Allegra C, Andrea B, Giuseppe T, Milena C, Annalisa M, Lorenzo B, Lorenzo LM, Nicola S. The influence of indirect bonded restorations on clinical prognosis of endodontically treated teeth: A systematic review and meta-analysis. Dent Mater. 2022 Aug;38(8):e203-e219. doi: 10.1016/j.dental.2022.06.018. Epub 2022 Jul 12. PMID: 35835608.
- Magne P, Belser UC. Porcelain versus composite inlays/ onlays: effects of mechanical loads on stress distribuition, adhesion, and crown flexure. Int J Periodont Rest Dent 2003;23:543-55.
- Fichera G, Mazzitelli C, Picciariello V, Maravic T, Josic U, Mazzoni A, Breschi L. Structurally compromised teeth. Part II: A novel approach to peripheral build up procedures. J Esthet Restor Dent. 2024 Jan;36(1):20-31. doi: 10.1111/jerd.13118. Epub 2023 Aug 10. PMID: 37565412.
- Fichera G, Mazzitelli C, Picciariello V, Maravic T, Josic U, Mazzoni A, Breschi L. Structurally compromised teeth. Part I: Clinical considerations and novel classification proposal. J Esthet Restor Dent. 2024 Jan;36(1):7-19. doi: 10.1111/jerd.13117. Epub 2023 Aug 24. PMID: 37615505.
- Taylor A, Burns L. Deep margin elevation in restorative dentistry: A scoping review. J Dent. 2024 Jul;146:105066. doi: 10.1016/j.jdent.2024.105066. Epub 2024 May 12. PMID: 38740249.
- Dietschi D, Spreafico R. Current clinical concepts for adhesive cementation of tooth-colored posterior restorations. Pract Periodontics Aesthet Dent. 1998 Jan-Feb;10(1):47-54; quiz 56. PMID: 9582662.
- Fichera G, Dinapoli C, Re D. Restauri estetico-adesivi indiretti: modello per diagnosi di configurazione cavitaria. Il Dentista Moderno 2003;2:21-57.
- Veneziani M. Posterior indirect adhesive restorations: updated indications and the Morphology Driven Preparation Technique. Int J Esthet Dent. 2017;12(2):204-230. PMID: 28653051.
- Mancuso E, Forte A, Maravic T, Mazzitelli C, Comba A, Baldi A, Fehmer V, Sailer I, Scotti N, Mazzoni A, Breschi PL. Effects of preparation design on the marginal and internal fit of CAD-CAM overlay restorations: A µCT evaluation. J Prosthet Dent. 2025 Apr;133(4):1055.e1-1055.e10. doi: 10.1016/j.prosdent.2024.12.023. Epub 2025 Feb 1. PMID: 39894697.
- Dietschi D, Spreafico R. Adhesive Metal-Free Restorations: Current Concepts for the Esthetic Treatment of the Posterior Teeth. Berlin: Quintessence Publishing Co Inc, 1997: 79-99.
- Ramos RQ, Peumans M, Mercelis B, Ahmed MH, Politano G, Lopes GC, Van Meerbeek B. Influence of airborne particle abrasion on dentin bonding effectiveness of a 2-step universal adhesive. J Dent. 2024 May;144:104918. doi: 10.1016/j.jdent.2024.104918. Epub 2024 Mar 9. PMID: 38461887.
- Magne P, Belser UC. Rationalization of shape and related stress distribution in posterior teeth: a finite element study using nonlinear contact analysis. Int J Periodontics Restorative Dent 2002; 22:425-33.



