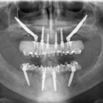
Sopravvivenza di Impianti Core-X® posizionati con chirurgia driver guidata
In questo articolo viene effettuata un’analisi retrospettiva per verificare la sopravvivenza di Impianti Core-X® posizionati con chirurgia driver guidata, con un follow up minimo...
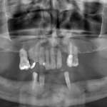
Impianti zigomatici come rescue implants nei fallimenti implantari Premium
Il fallimento di un impianto tradizionale posizionato distalmente in una riabilitazione full-arch mascellare compromette la stabilità e la funzionalità della protesi. L’utilizzo di un impianto zigomatico come rescue implant rappresenta una soluzione efficace per ripristinare il supporto necessario, garantendo la continuità del trattamento e il successo a lungo termine
Riabilitazione di secondo molare mascellare con impianto corto, rialzo di seno transcrestale e innesto... Premium
Nei casi in cui è necessario inserire un impianto corto (5,5 o 6,5 mm) con sollevamento del seno transcrestale, è fondamentale seguire protocolli accurati per il posizionamento, la fresatura e il carico. Quando questi protocolli vengono applicati in modo corretto e riproducibile, come dimostrato in questa serie di casi, i risultati sono favorevoli e duraturi anche in situazioni di densità ossea compromessa
Chirurgia guidata: flusso digitale e scansioni facciali per riabilitazioni complete su impianti
In questo articolo presentiamo la procedura clinica e di laboratorio per l'esecuzione di riabilitazioni a carico immediato con inserimento implantare e pianificazione mediante l'ausilio...
Chirurgia guidata: strumento indispensabile nella pianificazione chirurgica e protesica
In questo case report realizzato dal Dott. Gabriele Vaccaro, viene descritto un intervento di riabilitazione implantare di un dente singolo effettuato con pianificazione digitale....
Riabilitazione di atrofie mascellari con nuove tipologie di dime per implantologia zigomatica Premium
Un approccio sempre più diffuso ed efficace per il trattamento delle atrofie del mascellare superiore prevede l’utilizzo di impianti zigomatici e/o pterigoidei. Vengono presentati due casi clinici con l’introduzione di due nuove tipologie di dime chirurgiche per queste tipologie di impianti.
Tecnica Hybrid Zygoma per la riabilitazione di un mascellare atrofico Premium
Un mascellare superiore edentulo e fortemente atrofico è stato riabilitato con l’ausilio di impianti zigomatici. Nello specifico è stata applicata la tecnica Hybrid, che prevede l’inserimento di una fixture zigomatica per lato nelle regioni posteriori e di due o più impianti tradizionali nella premaxilla. Per la realizzazione di questo caso sono stati impiegati impianti zigomatici caratterizzati da un nuovo, particolare design, con una superficie piatta a livello vestibolare che migliora la guarigione dei tessuti molli della regione malare, prevenendo eventuali decubiti della mucosa.
Riabilitazione in area estetica con impianto a diametro ridotto e rigenerazione ossea guidata dopo... Premium
La perdita di un elemento dentario si associa sempre a una contrazione della cresta alveolare, con alterazioni anatomiche e inestetismi più o meno marcati. Nelle situazioni in cui la presenza di osso risulta insufficiente o lo spazio interdentale limitato, gli impianti di diametro ridotto rappresentano una valida alternativa. Questo case report dimostra come, dopo l’estrazione di un elemento dentale a seguito di frattura apicale, la rigenerazione ossea orizzontale con membrane rigide riassorbibili in collagene suino e l’utilizzo di un impianto di diametro ridotto hanno consentito di gestire al meglio la situazione
Osteointegrazione e diagnostica ultrasonografica transalveolare
L'osteointegrazione è il segno più evidente, ma anche quello più importante del successo di un intervento di implantologia. Tuttavia, la valutazione accurata dell'osteointegrazione e...
Mucosa cheratinizzata, se manca aumenta il rischio di perimplantite
La mucosa cheratinizzata gioca un ruolo decisivo nella salute orale di un individuo. Un recente studio, pubblicato su Evidence Based Dentistry, ne ha valutato...
Chirurgia guidata: diagnosi e nuovi protocolli digitali
I vantaggi della chirurgia guidata in implantologia
L’apprendimento della chirurgia guidata e dei nuovi protocolli digitali è molto meno complesso di quanto si possa immaginare....
Chirurgia guidata: riabilitazione implanto protesica di agenesia degli incisivi laterali superiori
In questo case report, realizzato dal Dott. Fabio Scarano Catanzaro, viene descritto un intervento di riabilitazione implantare effettuato con pianificazione digitale e chirurgia guidata su...















