Autori
Eduardo Anitua DDS, MD, PhD
Práctica privada en implantología oral, Clínica Eduardo Anitua, Vitoria, Spagna.
University Institute for Regenerative Medicine and Oral Implantology – UIRMI (UPV/EHU Fundación Eduardo Anitua), Vitoria, Spagna.
BTI Biotechnology institute, Vitoria, Spagna.
Corrispondenza: eduardo@fundacioneduardoanitua.org
Abstract
Negli ultimi decenni la chirurgia implantare si è enormemente evoluta attraverso lo sviluppo di protocolli volti a ottimizzare la stabilità primaria dell’impianto, specialmente in presenza di osso a bassa densità. L’impianto Core-X® è stato progettato con una filettatura dal design aggressivo per incrementarne la stabilità, particolarmente in siti post estrattivi e in settori dove l’osso ha bassa densità. Utilizzato in combinazione con il nuovo sistema di chirurgia guidata Stop & Guide®, questo impianto consente un posizionamento accurato e protesicamente guidato, nel rispetto dell’integrità dell’osso. La serie di casi qui presentata vuole valutare sopravvivenza degli impianti, cambiamenti del margine osseo e complicazioni conseguenti all’utilizzo di tale protocollo.
Materiali e metodi
È stata eseguita un’analisi retrospettiva su pazienti trattati con impianti Core-X® posizionati tramite il sistema Stop & Guide®, con un follow up minimo di 12 mesi dal carico. La pianificazione virtuale di questi casi ha previsto scansione intraorali e CBCT utilizzate per creare un una dima chirurgica CAD-CAM customizzata. La dima ha acconsentito una fresatura precisa e biologicamente incrementale grazie a driver statici. Sono stati raccolti dati clinici e demografici, compresi la localizzazione dell’impianto, la sua dimensione, il torque e il tipo di protesi che hanno supportato. È stato eseguito un follow-up radiografico a 1,3, 6 e 12 mesi mediante una panoramica standard calibrata attraverso image J così da verificare la perdita di osso marginale. L’analisi statistica, effettuata utilizzando il software SPSS (Statistical Package for Social Science), ha incluso la statistica descrittiva e l’analisi di sopravvivenza di Kaplan-Meier.
Risultati
Sono stati posizionati 15 impianti in 8 pazienti (età media 57.8 anni). La maggior parte degli impianti (80%) sono stati posizionati nel mascellare superiore, prevalentemente in osso tipo IV. Le dimensioni medie degli impianti utilizzati sono: diametro 4 mm e lunghezza 7.5 mm. Tutti gli interventi sono stati eseguiti dallo stesso operatore nella stessa clinica. Non si sono verificati fallimenti implantari o complicazioni chirurgiche/protesiche. A 12 mesi, la perdita di osso media osservata è pari a 0.15 mm mesialmente e 0.13 mm distalmente all’impianto. La percentuale di sopravvivenza implantare è pari al 100%.
Conclusioni
L’uso combinato di impianti Core-X® e di protocollo di chirurgia guidata Stop & Guide® offre una soluzione predicibile ed efficace per quegli scenari clinici caratterizzati da osso a bassa densità e/o spazio limitato. La stabilità primaria è ottenuta senza tecniche invasive, e la precisione del posizionamento dell’impianto è garantita dai protocolli di chirurgia guidata. I risultati a un anno di distanza dimostrano una perdita di osso minima e la sopravvivenza di tutti gli impianti, elementi questi che dimostrano l’efficacia clinica e la sicurezza di tale approccio implantare.
Survival of Core-X® Implants Placed with Driver-Guided Surgery
In recent decades, implant surgery has evolved significantly through the development of protocols aimed at optimizing primary implant stability, especially in low-density bone. The Core-X® implant has been designed with an aggressive thread pattern to increase stability, particularly in post-extraction sites and in areas with low bone density. Used in combination with the new Stop & Guide® guided surgery system, this implant allows for accurate and prosthetically guided placement while respecting bone integrity. The case series presented here aims to evaluate implant survival, changes in the bone margin, and complications resulting from the use of this protocol.
Materials and Methods
A retrospective analysis was performed on patients treated with Core-X® implants placed using the Stop & Guide® system, with a minimum follow-up of 12 months after loading. Virtual planning of these cases included intraoral and CBCT scans used to create a customized CAD/CAM surgical guide. The guide allowed precise and biologically incremental drilling thanks to static drivers. Clinical and demographic data were collected, including implant location, size, torque, and the type of prosthesis they supported. Radiographic follow-up was performed at 1, 3, 6, and 12 months using a standard panoramic image calibrated with Image J to verify marginal bone loss. Statistical analysis, performed using SPSS (Statistical Package for Social Science) software, included descriptive statistics and Kaplan-Meier survival analysis.
Results
Fifteen implants were placed in eight patients (average age 57.8 years). Most implants (80%) were placed in the maxilla, predominantly in type IV bone. The average implant dimensions were 4 mm in diameter and 7.5 mm in length. All procedures were performed by the same operator in the same clinic. No implant failures or surgical/prosthetic complications occurred. At 12 months, the average bone loss observed was 0.15 mm mesial and 0.13 mm distal to the implant. The implant survival rate was 100%.
Conclusions
The combined use of Core-X® implants and the Stop & Guide® guided surgery protocol offers a predictable and effective solution for clinical scenarios characterized by low-density bone and/or limited space. Primary stability is achieved without invasive techniques, and precision implant placement is guaranteed by the guided surgery protocols. The one-year results demonstrate minimal bone loss and the survival of all implants, elements that demonstrate the clinical efficacy and safety of this implant approach.
In questo articolo viene effettuata un’analisi retrospettiva per verificare la sopravvivenza di Impianti Core-X® posizionati con chirurgia driver guidata, con un follow up minimo di 12 mesi dal carico.
La stabilità primaria è cruciale per il successo implantare, soprattutto in osso a bassa densità e siti post-estrattivi. Il design dell’impianto utilizzato in questa serie di casi clinici, unito all’uso della chirurgia guidata, ha consentito un posizionamento preciso e protesicamente corretto, preservando l’integrità dei tessuti. In un’analisi retrospettiva su 15 impianti in 8 pazienti non si sono registrati fallimenti né complicanze. L’approccio appare sicuro, predicibile e minimamente invasivo, ideale nei casi complessi con disponibilità ossea limitata.
La chirurgia implantare ha vissuto una importante evoluzione nelle ultime decadi, con lo sviluppo di protocolli volti a ottimizzare la stabilità primaria dell’impianto, fattore chiave nel raggiungimento del successo in caso di densità ossea scarsa.
Le prime tecniche volte ad aumentare la stabilità anche in siti ossei compromessi erano gli osteotomi e gli expander filettati. In un secondo tempo, il disegno stesso dell’impianto incorporava geometrie che comprimevano l’osso durante la loro inserzione, promuovendone un aumento della densità senza compromettere la vascolarizzazione del neoalveolo.
In questo contesto, l’impianto Core-X® (BTI Biotechnology Institute) è stato progettato con una filettatura aggressiva (la profondità del filetto è compresa tra 0.51 mm e 0.70 mm) in grado di massimizzare la stabilità primaria in siti ossei a bassa densità o post-estrattivi. La sua morfologia consente infatti un’inserzione progressiva e una densificazione controllata dell’osso durante l’inserimento.
L’integrazione di queste migliorie con la chirurgia guidata ha portato ulteriori benefici, specialmente nei casi in cui il preciso posizionamento di un impianto diventa fondamentale a causa delle limitazioni anatomiche o spaziali presenti e della riabilitazione protesicamente guidata desiderata. Il nostro gruppo ha sviluppato un nuovo sistema di chirurgia guidata, chiamato Stop & Guide® (BTI Biotechnology Institute), capace di superare il modello tradizionale fresa e boccola. Questo protocollo utilizza driver statici non rotazionali come elementi di orientamento durante l’osteotomia, così da controllare l’angolazione, la profondità e il livello dell’impianto (iuxtacrestale, subcrestale o sovracrestale) durante il suo posizionamento.
Il vantaggio principale risiede nel fatto che il clinico ha la possibilità di utilizzare il protocollo di fresaggio convenzionale che utilizza di solito con minimi cambiamenti. Aggiunge infatti solo i driver. Tra i benefici sono inclusi un minor numero di componenti, una maggior versatilità, assenza di frizione tra la fresa e la guida, maggiori semplicità e controllo durante tutto il corso della procedura. L’utilizzo combinato di impianti Core-X® e Stop & Guide® porta in sé due fattori chiave: aumenta la stabilità primaria biomeccanica e migliora la precisione nel posizionamento, fattori che non possono che garantire maggiori predicibilità e semplificazione del trattamento, anche e soprattutto nei casi più complessi. Nella serie di casi che qui presentiamo nei quali è stato utilizzato questo protocollo (impianti Core-X® posizionati con Stop & Guide®).
L’obiettivo è valutare la sopravvivenza degli impianti, i cambiamenti dell’osso marginale nel corso del follow-up e le complicazioni chirurgiche e/o protesiche ad esso associate.
Materiali e metodi
Abbiamo richiamato i pazienti che hanno ricevuto impianti Core-X® posizionati con chirurgia guidata Stop & Guide® con un follow-up di almeno 12 mesi dal carico, per valutare la stabilità del trattamento.
La pianificazione preoperatoria virtuale ha incluso la scansione intraorale e la CBCT. Con i dati raccolti sono stati generati modelli virtuali altamente precisi dell’anatomia del paziente ed è stata pianificata la posizione ideale degli impianti. In base a questa pianificazione sono state prodotte dime chirurgiche CAD/CAM per replicare la posizione e l’angolazione implantare pianificate. Le dime sono state fatte calzare sui denti adiacenti, incorporando i driver statici coerenti con il manipolo chirurgico utilizzato dall’operatore (Figura 1).

Grazie a dima e drivers, la chirurgia guidata consente una fresatura biologicamente incrementale come con un protocollo convenzionale; l’osso autologo raccolto durante la fresatura può essere utilizzato come particolato da innesto al bisogno. I dati clinici e demografici raccolti includono età, sesso, storia clinica e terapie farmacologiche in atto. I dati correlati agli impianti includono, invece, localizzazione anatomica, diametro, lunghezza, torque di inserzione, tipo di protesi, e parametri ossei rilevati alla diagnosi (Figure 2-3). Nel corso del follow-up sono stati registrati la sopravvivenza implantare protesica e il livello di osso marginale. I dati sono stati registrati da un esaminatore indipendente.


L’analisi statistica ha utilizzato:
- l’impianto come riferimento per localizzazione, dimensione e valori radiografici;
- il paziente come riferimento per le variabili demografiche.
Le OPT a posizionamento del paziente standardizzato sono state eseguite alla consegna della protesi (3 mesi per la mandibola, 6 mesi per la maxilla) e a 1,3, 6 e 12 mesi dopo il carico. Le radiografie sono state calibrate con ImageJ utilizzando l’impianto di lunghezza conosciuta per correggere la magnificazione, mentre la perdita d’osso marginale è stata misurata dalla spalla dell’impianto al primo punto di contatto tra osso e impianto. Il dato principale è la perdita di osso marginale mesiale e distale; i dati secondari sono invece la sopravvivenza degli impianti e le complicazioni chirurgiche/protesiche. Il test di Shapiro-Wilk verifica la normalità; le variabili qualitative sono riassunte in base alla frequenza, mentre le variabili quantitative in base a media e deviazione standard. La sopravvivenza è analizzata con lo stimatore di Kaplan-Meier utilizzando il software SPSS v15.0 (Statistical Package for Social Science versione 15.0).
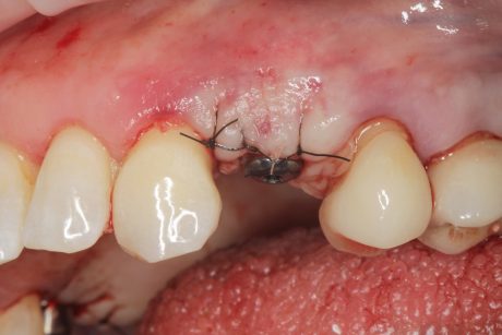
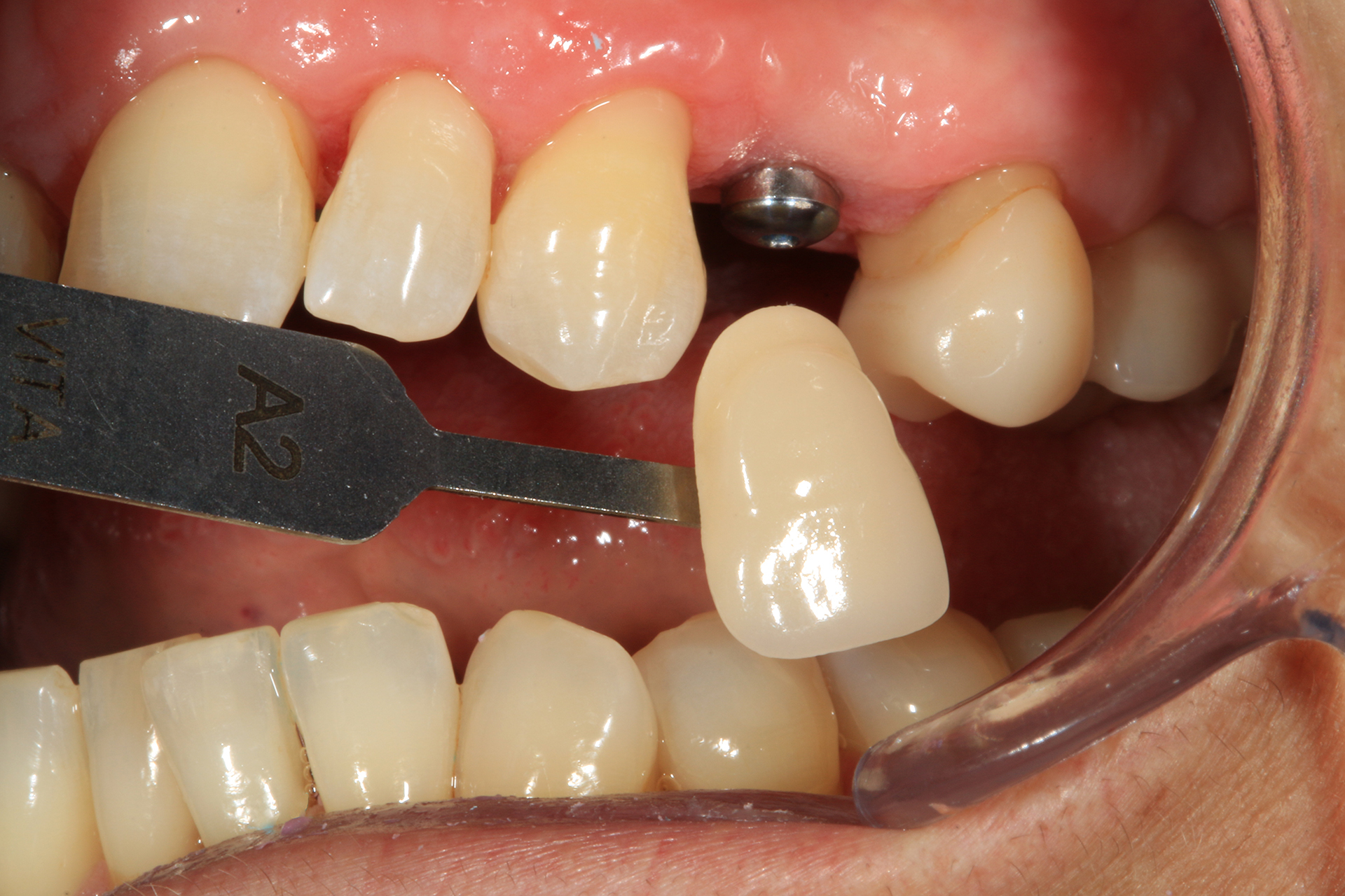
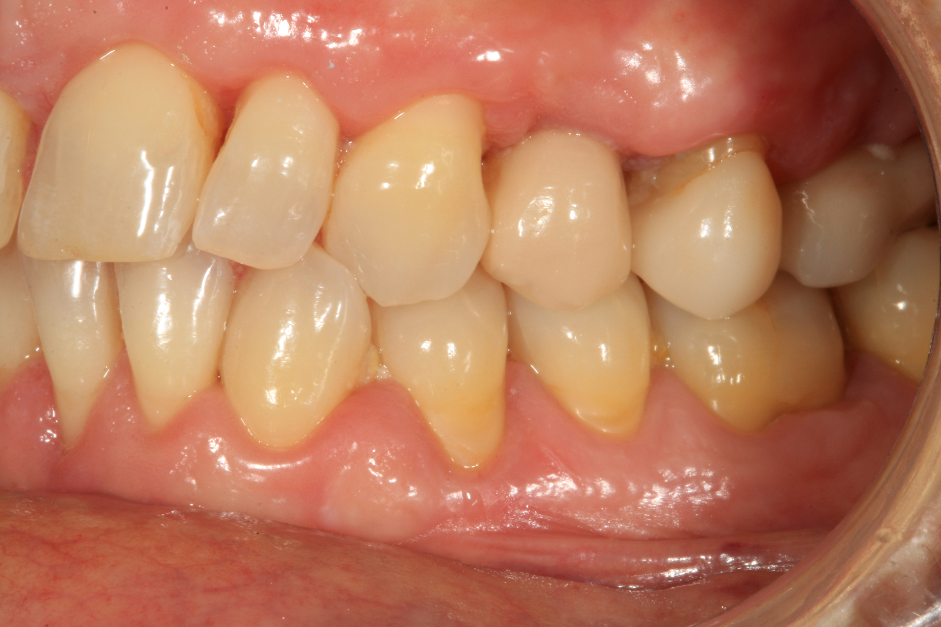
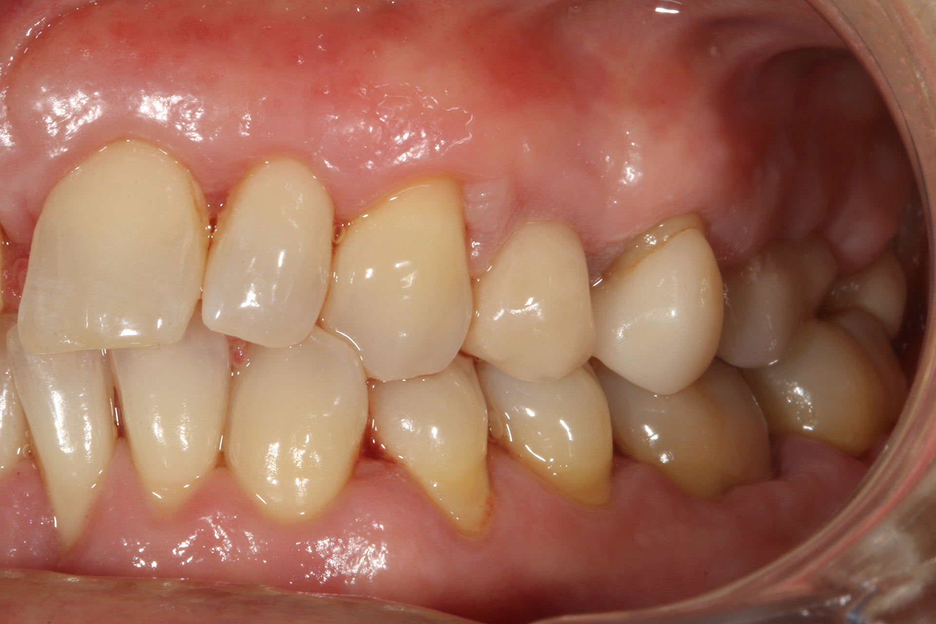
Caso clinico








Risultati
Otto pazienti di età media 57.8 ± 4.3 anni, 6 dei quali di sesso femminile, hanno ricevuto un totale di 15 impianti, tutti eseguiti dallo stesso chirurgo nella medesima clinica a Victoria, Spagna.
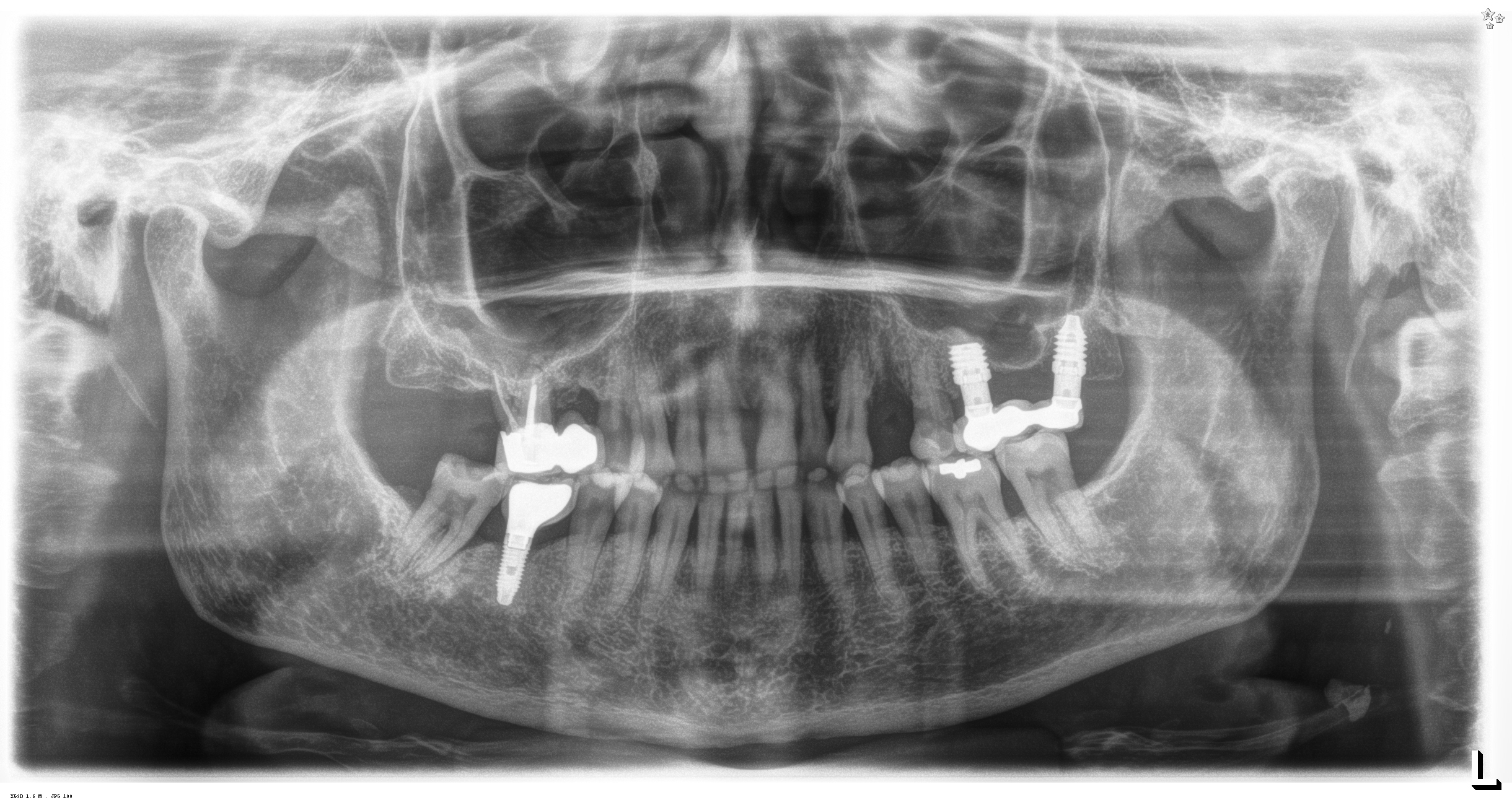
Il 20% degli impianti è stato posizionato nella mandibola (per lo più in posizione 47) e il restante 80% nel mascellare superiore (il 20% in posizione 16 e il 20% in posizione 25). Gli impianti posizionati nel mascellare superiore hanno trovato un osso tipo IV, mentre gli impianti posizionati nella mandibola hanno trovato un osso tipo III. Gli impianti utilizzati hanno un diametro compreso tra 4.0 e 4,5 mm (il 66.7% sono da 4.0 mm) e una lunghezza compresa tra 4.5 mm e 7.5 mm (il 53.3% sono lunghi 7.5 mm). Nell’86.7% dei casi non è stato eseguito alcun procedimento chirurgico aggiuntivo; in un caso, due impianti hanno previsto in rialzo di seno transcrestale con PRGF-Endoret e osso autologo. Nel 93.3% dei casi la protesizzazione ha previsto ponti avvitati a più elementi; un impianto è stato protesizzato mediante elemento singolo avvitato con componente transepiteliale. Il follow-up medio è stato di 12.4 ± 1.05 mesi dal carico. Il 100% degli impianti è sopravvissuto, senza complicanze né chirurgiche né protesiche. La perdita di osso media a 12 mesi è stata mesialmente di 0.15 ± 0.74 mm e distalmente di 0.13 ± 0.85 mm. La Figura 4 mostra l’osso perso su un singolo impianto e le Figure 5-14 illustrano un caso clinico rappresentativo.

Discussione
Gli impianti Core-X® sono disegnati in modo da garantire una migliore stabilità primaria in osso a bassa densità o gravemente riassorbito, in siti post-estrattivi o zone con volume osseo residuo limitato. La piattaforma stretta e il corpo reso compatto dalla struttura della filettatura preservano l’osso circonferenziale e minimizzano il danno vascolare, fattori cruciali negli spazi interprossimali.
Nei nostri casi dove è interessato il mascellare superiore (con osso tipo IV), la morfologia tridimensionale dell’impianto ha permesso di ottenere la stabilità primaria con una fresatura minima, preservando le condizioni dell’osso ideali per l’osteointegrazione.
La macro morfologia è fondamentale per la stabilità primaria; fattori quali numero di spire, passo, profondità e angolo elicoidale creano zone di compressione ottimizzate per una densificazione ossea selettiva. Anche la conicità influisce sulla biomeccanica. Questi impianti mostrano valori più alti di torque di inserimento e di ISQ (Implant Stability Quotient, ossia quoziente di stabilità implantare), ma anche valori più alti di torque di rimozione dopo l’iniziale osteointegrazione (sostengono la loro maggior stabilità primaria e il loro potenziale di osteointegrazione).
Integrare la chirurgia guidata con questi impianti migliora la sopravvivenza, specialmente dove il posizionamento è reso difficile da un’anatomia sfavorevole o da una qualità scarsa dell’osso.
Una revisione sistematica e meta-analisi di Tahmaseb et al. riporta una sopravvivenza >97% e 1.45 mm di osso marginale perduto a 1-4 anni per gli impianti con chirurgia guidata, simili a quanto riferito alla chirurgia implantare convenzionale.
Anche coorti a lungo termine supportano questi dati.
Nel nostro studio, la sopravvivenza del 100% e la perdita di osso <0.25 mm a 12 mesi indicano una performance eccellente. La pianificazione virtuale e le guide statiche riducono errori di angolazione e profondità (approssimativamente 3.3° e <1 mm, rispettivamente) migliorando i risultati quando combinati con la densificazione ossea.
Conclusioni
Nella serie di casi clinici che abbiamo presentato, la combinazione di impianti Core-X® con il protocollo di chirurgia guidata Stop & Guide® è clinicamente efficace nel trattamento di casi caratterizzati da osso a bassa densità, anatomia compromessa o spazio interprossimale limitato.
La macro geometria implantare consente una densificazione ossea controllata e un’alta stabilità primaria senza manovre chirurgiche invasive.
Il sistema driver guidato consente un posizionamento implantare protesicamente guidato e preciso, minimizzando l’errore umano e preservando l’osso marginale.
Il 100% di sopravvivenza implantare e la minima perdita di osso a un anno dal carico supportano la predicibilità e la sicurezza di questo protocollo in casi clinici complessi.
- Al-Tarawneh SK, Thalji G, Cooper LF. Macrogeometric Differentiation of Dental Implant Primary Stability: An In Vitro Study. Int J Oral Maxillofac Implants. 2022 Nov-Dec;37(6):1110-1118.
- Anitua E, Carda C, Andia I. A novel drilling procedure and subsequent bone autograft preparation: a technical note. Int J Oral Maxillofac Implants. 2007 Jan-Feb;22(1):138-45.
- Banerjee S, Dasgupta D, Parasrampuria N, Pal D, Gandhi UV. Comparative evaluation of osseodensification drilling versus conventional drilling technique on dental implant stability: A systematic review. J Indian Prosthodont Soc. 2024 Jul 1;24(3):225-232.
- Bover-Ramos F, Ausina-Márquez V, Peñarrocha-Oltra D, García-Mira B, Peñarrocha-Diago M. Accuracy of implant placement with computer-guided surgery: a systematic review and meta-analysis comparing fully and partially guided templates. Int J Oral Maxillofac Implants. 2018;33(1):152–159.
- Buser D, Sennerby L, De Bruyn H. Modern implant dentistry based on osseointegration: 50 years of progress, current trends and open questions. Periodontol 2000. 2017 Feb;73(1):7-21.
- Darcey J, Eldridge D. Fifty Years of Dental Implant Development: a Continuous Evolution. Dent Hist. 2016 Jul;61(2):75-92.
- D’Haese J, Ackhurst J, Wismeijer D, De Bruyn H, Tahmaseb A. Current state of the art of computer-guided implant surgery. Periodontol 2000. 2017 Feb;73(1):121-133. Fontes
- Pereira J, Costa R, Nunes Vasques M, Salazar F, Mendes JM, Infante da Câmara M. Osseodensification: An Alternative to Conventional Osteotomy in Implant Site Preparation: A Systematic Review. J Clin Med. 2023 Nov 11;12(22):7046.
- Greenberg AM. Digital technologies for dental implant treatment planning and guided surgery. Oral Maxillofac Surg Clin North Am. 2015 May;27(2):319-40.
- Heimes D, Becker P, Pabst A, Smeets R, Kraus A, Hartmann A, Sagheb K, Kämmerer PW. How does dental implant macrogeometry affect primary implant stability? A narrative review. Int J Implant Dent. 2023 Jul 5;9(1):20.
- Huwais S, Meyer EG. A novel osseous densification approach in implant osteotomy preparation to increase biomechanical primary stability, bone mineral density, and bone‐to‐implant contact. Int J Oral Maxillofac Implants. 2017;32(1):27‐36.
- McCullough J. J., Klokkevold P. R. The effect of implant macro-thread design on implant stability in the early post-operative period: a randomized, controlled pilot study. Clinical Oral Implants Research. 2017;28(10):1218–1226.
- Monje A, Ravidà A, Wang HL, Helms JA, Brunski JB. Relationship Between Primary/Mechanical and Secondary/Biological Implant Stability. Int J Oral Maxillofac Implants. 2019 Suppl;34:s7-s23.
- Moraschini V, Poubel LA, Ferreira VF, Barboza ED. Evaluation of survival and success rates of dental implants reported in longitudinal studies with a follow-up period of at least 10 years: a systematic review. Int J Oral Maxillofac Surg. 2015;44(3):377–388.
- Omar S, Jaiswal H, Mishra SK, Bhargava D, Kumar P. A comparative study to evaluate the heat generated during osteotomy with conventional drill, trephine and alveolar expander. Eur Oral Res. 2023 Jan 9;57(1):22-27.
- Olmedo-Gaya MV, Romero-Olid MN, Ocaña-Peinado FM, Vallecillo-Rivas M, Vallecillo C, Reyes-Botella C. Influence of different surgical techniques on primary implant stability in the posterior maxilla: a randomized controlled clinical trial. Clin Oral Investig. 2023 Jul;27(7):3499-3508.
- Pai UY, Rodrigues SJ, Talreja KS, Mundathaje M. Osseodensification-A novel approach in implant dentistry. J Indian Prosthodont Soc. 2018 Jul-Sep;18(3):196-200.
- Pozzi A, Tallarico M, Moy PK. Four-year post-loading results of computer-guided surgery and immediate loading of dental implants in completely edentulous patients. Clin Implant Dent Relat Res. 2018;20(4):329–337.
- Romandini M, Ruales-Carrera E, Sadilina S, Hämmerle CHF, Sanz M. Minimal invasiveness at dental implant placement: A systematic review with meta-analyses on flapless fully guided surgery. Periodontol 2000. 2023 Feb;91(1):89-112.
- Tahmaseb A, Wismeijer D, Coucke W, Derksen W. Computer technology applications in surgical implant dentistry: a systematic review. Int J Oral Maxillofac Implants. 2014;29 Suppl:25–42.
- Vázquez-Sebrango G, Anitua E, Macía I, Arganda-Carreras I. The role of artificial intelligence in implant dentistry: a systematic review. Int J Oral Maxillofac Surg. 2025 May 28:S0901-5027(25)00118-3.





