Principi di ricerca clinica in odontoiatria comprendere l’evidence-based dentistry negli anni venti Premium
Una sintesi sui principi di ricerca clinica secondo l’Evidence based dentistry. Come trovare gli articoli scientifici che rispondono con l’analisi statistica a una specifica...
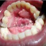
Caratteristiche cliniche ed epidemiologiche del fibroma traumatico orale
Una lesione del cavo orale piuttosto frequente nella pratica clinica odontoiatrica: una mini review valuta la letteratura degli ultimi anni per chiarire le caratteristiche di questa neoformazione, con particolare riferimento agli aspetti clinici ed epidemiologici.
Le manifestazioni sindromiche del cavo orale come diagnosi nella crescita del paziente
Diverse sindromi presentano manifestazioni a livello orale che spesso anticipano quelle sistemiche. Fra queste, la displasia immuno-ossea di Schimke, la cui diagnosi precoce e relativo inquadramento terapeutico possono risultare determinanti sulla prognosi del paziente.
Cheratosi frizionale e morsicatio buccarum Premium
Differenti tipi di traumi possono essere alla base di queste due lesioni delle mucose orali e alcune categorie di pazienti sono più frequentemente coinvolte. Una panoramica degli aspetti epidemiologici e clinici per essere d’aiuto nell’intercettazione di tali condizioni.
Cellule staminali della polpa dentale
di Barbara Zavan
Laureata in scienze biologiche con 110/110 e lode, dottorato in «Ingegneria dei tessuti e dei trapianti» presso l’Università degli Studi di Padova.
Professoressa...




