Uniti per promuovere insieme la cultura del sorriso
È con questo spirito che Claudio Lanteri, medico odontoiatra, 63 anni, è entrato a far parte del consiglio direttivo della Società Italiana di Ortodonzia...
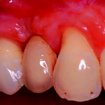
L’uso dei laser Erbium: YAG ed ErbiumCromium: YSGG in odontoiatria restaurativa
Riassunto
Il laser ad ErbioCromo: Ittrio-Scandio-Gallio-Granata (ErCr: YSGG) ha un mezzo attivo che consiste in una barretta di granato-ittrio-scandio-gallio drogato con ioni erbio e ioni...
La politica per il nuovo presidente AIO? Una passione antica come la sua...
Pierluigi Delogu, 49 anni, sassarese, odontoiatra libero professionista, è il nuovo Presidente di AIO. Una nomina arrivata dopo una lunga militanza nell’Associazione Italiana Odontoiatri,...
Il laser a diodi nel trattamento dei tessuti molli del cavo orale: uno...
Riassunto
Obiettivi. In patologia orale il laser a diodi viene ampiamente utilizzato per effettuare prelievi bioptici, quantunque esistano pareri contrastanti sul suo impiego perché, in...
Un ingegnere al servizio dell’odontoiatria
È Alessandro Motroni, 34 anni, comasco, una laurea in Ingegneria biomedica conseguita presso il Politecnico di Milano e una missione: portare gli strumenti più...
“Riportiamo l’umanesimo nella medicina orale”
È questo l’invito rivolto agli odontoiatri italiani da Paolo Zampetti, 46 anni, pavese, medico chirurgo e odontoiatra, docente di Storia dell’Odontoiatria presso il Corso...
Studio microbiologico sull’efficacia in vitro di un nuovo dispositivo per l’irrigazione del sistema...
Riassunto
Scopo. Valutare l’efficacia in vitro di un dispositivo sperimentale per l’irrigazione canalare che sfrutta il principio del “vuoto”.
Metodologia. Sono stati selezionati 52 elementi dentari...
Gli insegnamenti della scuola svizzera
Nikolaos Perakis, veronese, 40 anni, dopo la laurea in Odontoiatria e Protesi Dentaria conseguita all’Università di Bologna, ottiene anche la Laurea svizzera. Le due...
Un odontoiatra tra la gente
È con questo spirito che Gianfranco Prada, 49 anni, comasco, dallo scorso maggio alla guida dell’Associazione Nazionale Dentisti Italiani dopo anni di militanza attiva,...
«Insegnamento e ricerca, le mie due grandi passioni»
Ne parla così della sua professione Mariano Sanz, professore di Parodontologia e Preside della Facoltà di Odontologia presso l’Universidad Complutense de Madrid. Figlio d’arte,...
Ripensare oggi l’odontoiatria di domani
Le riflessioni e le idee di Marco Ferrari, direttore del Dipartimento di Scienze Odontostomatologiche e Oftalmologiche, nonché Presidente del Corso di Laurea in Odontoiatria...
Dalla Svezia, una ricetta per l’odontoiatria
È quella di Lars Gerhard Sennerby, 50 anni, Titolare della cattedra di Ricerca sui Biomateriali presso il Dipartimento Biomaterials and Handicap Research dell’Insitute for...
Il futuro, nella prevenzione dentale e nell’odontoiatria pediatrica
È questo lo scenario tratteggiato da Roberto Ferro, bassanese d’adozione, 54 anni, direttore del Centro Regionale Veneto specializzato per lo studio,
la prevenzione e...
Rigenerazione ossea localizzata con osso suino: evidenze cliniche e istologiche
Riassunto
La presenza di difetti ossei, localizzati nei processi alveolari, può impedire l’uso di impianti, a causa dell’insufficiente volume osseo atto all’ottenimento dell’osteointegrazione. Il riassorbimento...
Il significato e le potenzialità della conservativa
Cosa rappresenta questa disciplina per gli odontoiatri e com’è cambiata in questi ultimi decenni? Queste e altre questioni spiegate da Adamo Monari, 52 anni, emiliano,...
Il viaggio di un chirurgo nel mare dell’implantologia
È quello di Andrea Edoardo Bianchi, 51 anni, milanese, Presidente Eletto della Società Italiana di Chirurgia Orale e Implantologia. Dal 2004 è Titolare dell’Insegnamento...















