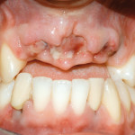
L’estetica in implantologia: come viene valutata?
Fattori che influenzano la posizione dei tessuti molli
attorno agli impianti: una revisione
Factors that influence the position of the peri-implant soft tissues: A review
Marco Sorní-Bröker,...
Efficacia a lungo termine degli impianti corti
Con il termine di impianti corti si descrivono tutti gli impianti dentali con forma e materiali convenzionali, ma di lunghezza inferiore ai 10 mm. Gli...
Design organico applicato ai restauri implanto-protesici
L’Accademia Americana di Parodontologia nelle sue linee guida definisce come scopo della terapia parodontale la preservazione della dentatura naturale, mantenendo e migliorando la salute...
Antibiotici e implantologia: un’associazione necessaria?
Effetti degli antibiotici negli impianti dentali: revisione
Effects of Antibiotics on Dental Implants: A Review
Nabeel Ahmad, Najeeb Saad. J Clin Med Res 2012;4(1):1-6
L’ odontoiatra che...
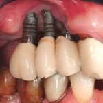
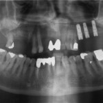
Strategia protesica minimamente invasiva negli impianti post-estrattivi
Riassunto
Obiettivo. Lo scopo di questo studio è valutare la perdita ossea marginale in seguito al posizionamento di singoli impianti post-estrattivi, protesizzati immediatamente secondo i...
Preservazione dei livelli di tessuto molle con riabilitazione implantare provvisoria immediata
I dati attualmente disponibili indicano che impianti singoli con protesizzazione e applicazione immediate di corone provvisorie mostrano percentuali di successo comparabili a quelle di protocolli...
Terapia ortodontico-implantare nei traumi dento-alveolari
Gli eventi traumatici a carico del distretto oro-maxillo-facciale con interessamento degli elementi dentari frontali sono di frequente riscontro nella pratica clinica quotidiana. L’obiettivo di...
Ricostruzione tridimensionale di un grave difetto mediante rigenerazione ossea guidata (GBR)
Riassunto
La riabilitazione protesica dei pazienti con edentulia totale o parziale mediante impianti dentali è divenuta negli ultimi decenni una pratica comune con ottimi risultati...
Quali vantaggi per la riabilitazione implantare platform-switched?
Ricostruzioni platform-switched su impianti di largo diametro: uno studio clinico prospettico di cinque anni
Platform-switched restorations on wide-diameter implants: a five-year clinical prospective study
Vigolo P,...
Ricostruzione della volumetria ossea crestale mediante innesto di particolato cortico-midollare: caso...
Riassunto
Le attuali conoscenze sulla guarigione, la biologia e il destino dell’alveolo post-estrattivo hanno permesso di poter risolvere con margini di accettabile predicibilità le condizioni...
Riabilitazione estetica dei settori frontali con impianti in zirconio di ultima generazione
Riassunto
L’utilizzo di impianti osteointegrati sta diventando un sempre più importante metodo di trattamento nella riabilitazione funzionale di pazienti parzialmente o totalmente edentuli. La richiesta...
La terapia implantare nell’atrofia del mascellare posteriore
Questa revisione della letteratura affronta il tema, molto attuale, della predicibilità degli interventi di rialzo del seno mascellare con posizionamento di impianti osteointegrati, valutando il ruolo svolto dal tipo di materiale da innesto, di superficie implantare, della tecnica chirurgica e dell’utilizzo di membrane protettive.











