Riassunto
In questo articolo viene presentato un caso clinico di riabilitazione implanto-protesica a carico immediato di un’edentulia bilaterale posteriore dell’arcata inferiore caratterizzata da riduzione dell’altezza verticale e modesta mesioinclinazione degli elementi distali all’edentulia. Il caso è stato risolto con un trattamento multifasico e multidisciplinare comprendente: preparazione parodontale, trattamento ortodontico e finalizzazione implanto-protesica. Scopo del trattamento ortodontico è stato il ripristino del sufficiente spazio interarcata ai fini della riabilitazione implanto-protesica ed è stato raggiunto grazie all’utilizzo di miniviti ortodontiche.
Ottenuta l’altezza verticale necessaria si è proceduto al trattamento implantare a carico immediato, vista la necessità di stabilire il prima possibile il contatto occlusale dei denti inclusi e la presenza dei requisiti necessari al carico immediato. L’utilizzo delle miniviti ortodontiche ha permesso di ridurre i costi biologici dento-parodontali per il paziente e i tempi di trattamento.
Summary
Use of orthodontic miniscrews in multidisciplinary treatment with immediate
load implant prosthetic rehabilitation
In this article we present a immediate load implant prosthetic rehabilitation clinical case of a posterior bilateral edentulia of the lower jaw characterized by a reduction of vertical height and edentulia distal elements mesoinclination. The case was solved by a multiphase and multidisciplinary treatment including: parodontal therapy, orthodontic treatment and implant prosthetic finalization. The purpose of the orthodontic treatment was to restore sufficient interarcate space for the implanto-prosthetic rehabilitation and this was achieved by means of orthodontic miniscrews. After we obtained the needed vertical height, we performed the immediate load implant treatment to establish the included teeth occlusal contact and the prerequisites for immediate load as soon as possible. The use of orthodontic miniscrews allowed us to reduce both the theet parodontal biological costs the patient and the treatment time.
Lo sviluppo delle più attuali e sofisticate tecniche riabilitative consente al clinico di scegliere, fra le numerose strategie terapeutiche, la più efficace e idonea alla soluzione di ogni specifico caso. Tanto più i casi sono complessi e tanto è più probabile che per la loro soluzione sia richiesto l’intervento di svariati specialisti nel campo odontoiatrico e/o chirurgico. Diventa quindi fondamentale impostare i piani di trattamento secondo il principio della multidisciplinarietà.
Nelle riabilitazioni orali dei casi di edentulismo parziale e totale l’implantologia trova specifiche indicazioni alla luce della messa a punto di procedure altamente prevedibili e sperimentate in grado di soddisfare esigenze estetiche e funzionali. Le nuove conoscenze sulla macro e micro-struttura implantare e sulla biologia dei processi di osteointegrazione hanno portato a due importanti risultati.

In primo luogo la definizione del concetto di tempo di carico specifico per ogni situazione clinica con la possibilità di finalizzare immediatamente gli impianti con vantaggio sia funzionale che di comfort per il paziente. In secondo luogo la disponibilità di differenti sistemi implantari adatti alle differenti situazioni cliniche.

Negli ultimi anni è inoltre aumentata la richiesta di trattamento ortodontico da parte di soggetti adulti, sia per motivi estetici che funzionali e la ricerca clinica ha dimostrato sempre più possibilità di trattamento ortodontico dei soggetti adulti.
Proffit e Coll. nel 1998 hanno pubblicato i risultati di uno studio condotto presso The Center for Disease Control’s Third National Health and Nutrition Examination Survey dal quale risulta come circa il 60% della popolazione necessiti di trattamenti ortodontici come parte integrante di un trattamento multidisciplinare1.
Tuttavia gli Autori sottolineano che non in tutti i casi la dentizione residua offre un adeguato ancoraggio per ottenere i movimenti dentari necessari.
Durante il trattamento ortodontico fisso è necessario costruire un sistema di forze che consenta di ottenere i movimenti dentari desiderati a livello dell’unità attiva avendo, nello stesso tempo, il controllo degli spostamenti dentari nell’unità reattiva. In alcuni casi l’ortodontista necessita del massimo ancoraggio: questo è rappresentato dalla completa assenza di movimenti a livello delle strutture dento-parodontali coinvolte a formare l’unità reattiva.


A tal fine si possono utilizzare dispositivi ortodontici intra e/o extraorali che non sempre garantiscono il massimo ancoraggio e che richiedono, in ogni caso, grande collaborazione da parte del paziente e un notevole impegno delle strutture parodontali che può tradursi in un innalzamento dei costi biologici del trattamento ortodontico stesso.
Descrizione del caso clinico
Viene presentato il caso clinico di un paziente di anni 45, in buono stato di salute generale, non fumatore, che presentava edentulia parziale nel terzo quadrante in sede 34, 35, 36, 38 e quarto quadrante in sede 44, 45, 46 (figure 1-4).
All’anamnesi patologica remota il paziente riferiva la perdita degli elementi dentari in seguito a complicanze di processi cariosi destruenti.
All’esame obiettivo non si evidenziavano patologie in atto a carico dei tessuti duri e molli. Era presente una buona igiene orale, modesta mesioinclinazione degli elementi dentari distali alle zone edentule, soprattutto a carico di 47 e 48, e una notevole iperestrusione dento-alveolare di 14, 15, 24, 25, fenomeno imputabile verosimilmente alla perdita degli elementi dentari inferiori (figure 3 e 4).


La lista dei problemi odontoiatrici/protesici prevedeva la modesta mesioinclinazione degli elementi dentari distali alle sedi edentule e soprattutto la notevole mancanza di spazio verticale dovuta al collasso dento-alveolare dei premolari superiori.
Il piano di trattamento ha quindi previsto, dopo l’accurata preparazione parodontale, una fase ortodontica mirata all’intrusione dei quattro premolari superiori al fine di recuperare la dimensione verticale persa nei settori latero-posteriori e poter riabilitare così le sedi edentule.
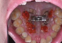
È stato quindi deciso di costruire un sistema di forze che fosse il più diretto possibile. Lo scopo è stato quello di ottenere esclusivamente i movimenti desiderati senza cioè perdita di ancoraggio. A tal fine sono state inserite delle miniviti ortodontiche rappresentate dal sistema Aarhus Ancorage System il cui diametro è di 1,7 mm e lunghezza di 9,6 mm (figure 5 e 6).



Tale scelta ha consentito il coinvolgimento ortodontico dei soli quattro premolari che hanno rappresentato l’unità attiva. A fronte della notevole intrusione da ottenere, le miniviti sono state collocate vestibolarmente, negli spazi interradicolari, e anche nella zona palatale; questo per permettere un vettore forza risultante che impedisse inclinazioni vestibolo-palatali non desiderate.
A livello di 14 e 15 è stato applicato un segmento di arco in acciaio rettangolare 0,016 inch x 0,022 inch passivo, mentre a sinistra le forze sono state applicate singolarmente su ogni dente al fine di correggere anche la disto-rotazione evidente soprattutto a livello di 24.

pre-implanto protesica.

pre-implanto protesica.
Le forze, applicate con legature elastiche elastomeriche, sostituite ogni tre settimane, erano di 25 grammi per dente (figure 5-11).
Ottenuta l’intrusione dei premolari superiori, la riabilitazione delle selle edentule intercalate inferiori è stata realizzata per mezzo di impianti osteointegrati caricati immediatamente.
La riabilitazione implantoprotesica ha evitato di intervenire su degli elementi dentari che non richiedevano interventi protesici e di realizzare una travata
protesica su pilastri non del tutto idonei.
La presenza dei due elementi inferiori in posizione 3 con corona clinica corta, dei due pilastri distali in posizione 7 mesioinclinati, avrebbe richiesto diversi trattamenti preprotesici. Il carico immediato implantare ha consentito di opporre uno stop occlusale antagonista agli elementi dentari subito dopo la loro intrusione.
Fase implantoprotesica
La pianificazione preimplantare è stata fatta sulla base dei dati derivati dall’esame clinico endorale (figure 2-4), dalle radiografie endorali (figure 10 e 11), dalla ortopantomografia (figura 1) e di un sondaggio mucoso eseguito con l’ausilio di una dima diagnostica.
Da questa analisi è stato possibile definire la morfologia della cresta ossea e la disponibilità di tessuto cheratinizzato.
È stato così possibile classificare le creste ossee come classe B di Mish and Judy2 con tessuti cheratinizzati ben rappresentati (circa 12 mm), quindi con la possibilità di eseguire un’implantologia senza necessità di ricostruire i tessuti duri e molli.
La fase chirurgica è stata eseguita in anestesia plessica (Citocartin 1: 80.000)
e ha visto l’esecuzione di un’incisione crestale delle due selle edentule, lo scollamento dei lembi nella loro porzione gengivale, la preparazione standardizzata degli alveoli implantari e l’inserimento transmucoso, guidato con stent chirurgico, di tre impianti per ogni lato di diametro 4.3 nelle sedi premolari e diametro 5.0 nelle sedi primi molari tutti di lunghezza 13 mm (Replace Select – Nobel Biocare).

Dopo aver verificato il torque d’inserimento (35-40 N) e di resistenza allo svitamento (35N) degli impianti, sono stati quindi collegati agli impianti dei pilastri preformati easy abutment (Nobel Biocare).


Seguendo le indicazioni previste da questa metodica, è stata rilevata l’impronta di posizione degli impianti che è stata processata in laboratorio per la fabbricazione dei provvisori in resina con armatura fusa in lega stellite. I provvisori sono stati cementati il giorno successivo alla chirurgia, entro 24 ore dall’intervento (Temporary pack).
Dopo quattro mesi di guarigione, verificata clinicamente e radiologicamente l’avvenuta osteointegrazione degli impianti, si è proceduto alla protesizzazione definitiva (figure 12-14). I perni moncone tipo easy abutment sono stati sostituiti con perni fresati individualizzati su cui sono state cementate (Improve – Nobel Biocare) le protesi in metallo-ceramica costituite dai tre elementi uniti per ogni lato (figura 15).
Discussione e conclusioni
La riabilitazione di una sella edentula può richiedere il ripristino di un sufficiente spazio interarcata perso a causa dell’estrusione degli elementi dentari antagonisti. Nel caso illustrato, il programma terapeutico ha infatti previsto più fasi rappresentate dalla preparazione parodontale, dal trattamento ortodontico e dalla finalizzazione implanto-protesica. Per il recupero della dimensione verticale a livello delle selle edentule, il trattamento ortodontico ha previsto l’applicazione di forze solo sui denti interessati, ancorando le forze intrusive a livello di impianti ortodontici inseriti bilateralmente sia in sede vestibolare che palatale22. In questo modo i vettori risultanti delle forze intrusive passavano molto vicino al centro di resistenza dei quattro premolari superiori, al fine di ottenere il movimento desiderato nel modo più diretto possibile con la possibilità di evitare movimenti indesiderati a livello dell’unità reattiva, essendo questa rappresentata dagli impianti ortodontici.
In tal modo, è possibile quindi costruire un sistema di forze che si traduce in una diminuzione dei costi biologici dento-parodontali sia a livello dell’unità attiva che a livello dell’unità reattiva.

Inoltre questo consente di diminuire notevolmente la durata del trattamento ortodontico.
Volendo stabilire, appena possibile, un contatto occlusale dei premolari superiori intrusi si è valutata l’opportunità di effettuare un carico immediato. Le nuove indicazioni di carico implantare vedono il superamento dei tempi di attesa previsti dai protocolli della scuola di Goteborg del professor Brànemark3. Attualmente si può decidere il momento del carico in base alle caratteristiche specifiche del caso. Per effettuare un carico immediato devono essere verificate le condizioni che consentono di ottenere una stabilità primaria ottimale8: osservare una procedura chirurgica adeguata alla tipologia della qualità ossea riscontrata intraoperatoriamente, l’utilizzo di impianti con macrostruttura adatta al sito implantare e con superfici trattate dotate di microruvidità4. L’osservare queste indicazioni consente di mantenere i micromovimenti del corpo implantare al di sotto dei 150 A, limite oltre il quale si rischia di non avere una guarigione del callo osseo con un intimo contatto osso-impianto, ma con interposizione di tessuto connettivo realizzando così una fibrointegrazione5. La verifica clinica della stabilità implantare necessaria è fornita dal controllo della forza di inserimento della fixture; con un torque di avvitamento maggiore di 35N e inferiore ai 45N e un torque di svitamento superiore ai 30-35N è possibile caricare immediatamente gli impianti. Nel nostro caso queste condizioni erano soddisfatte avendo un’ampia cresta ossea (classe 2 di Cawood JJ e Howell RA)6 e una qualità ossea riferibile alla classe due di Lekholm U e Zarb GA7 che ha consentito di eseguire una procedura chirurgica standardizzata con dei valori ottimali di torque di avvitamento e svitamento.
• Giacomo Mario Grasso*
• Antonio Achilli**
• Antonio Carrassi***
• Carlo Chiavenna
• Francesca Ventrini
• Giovanna Garattini****
* Tutore in Ortodonzia CLOPD, Università degli Studi di Milano
** Dottorato di Ricerca in Implantoprotesi, Università degli Studi di Milano
*** Professore Ordinario di Malattie Odontostomatologiche, Università degli Studi di Milano
1. Proffit W, Fields H, Moray L. Prevalence of malocclusion and orthodontic treatment need in the United States: Estimates from the NHANES III Survey. Int J Adult Orthod Orthognath Surg 1998;13:97-106.
2. Misch CE, Judy WMK. Classification of partially edetulous arches for implant dentistry. Int J Oral Implant 1987; 4:7-12.
3. Nikellis I, Levi A, Nicolopoulos C. Immediate loading of 190 endosseous dental implants: a prospective observational study of 40 patient treatments with up to
2- year data. Int J Oral Maxillofac Implants 2004 Jan-Feb; 19(1):116-23.
4. Schnitman PA, Wohrle PS, Rubenstein JE, DaSilva JD, Wang NH. Ten-year results for Branemark implants immediately loaded with fixed prostheses at implant placement. Int J Oral Maxillofac Implants 1997 Jul-Aug; 12(4):495-503.
5 Szmukler-Moncler S, et al. Considerations preliminary to the application of early and immediate loading protocols in dental implantology. Clin Oral Implants Res 2000 Feb;1(1):12-25.
6. Cawood JJ, Howell RA. Reconstructive preprosthetic surgery – anatomical consideration. Int J Oral Maxillofac Surg. 1991; 20:75-82
7. In Branemark PI, Zarb GA, Albrektsson T. Tissue-integrated Prostheses, Osseointegration in Clinical Dentistry. Berlin: Quintessenz, 1985. Patient selection and preparation.
8. Szmukler-Moncler S, Salama H, Reingewirtz Y, Dubruille JH. Timing of loading and effect of micromotion on bone-dental implant interface: review of experimental literature. J Biomed Mater Res 1998 Summer. 43(2):192-203.
9. Cehreli M, Sahin S, Akca K. Role of mechanical environment and implant design on bone tissue differentiation: current knowledge and future contexts. J Dent 2004 Feb; 32:123-32.
10. Nkenke E, et al. Bone contact, growth, and density around immediately
loaded implants in the mandible of mini pigs. Clin Oral Implants Res. 2003 Jun; 14(3):312-21.
11. Meyer U, Joos U, Mythili J, Stamm T, Hohoff A, Fillies T, Stratmann U, Wiesmann HP. Ultrastructural characterization of the implant/bone interface of immediately loaded dental implants. Int J Oral Maxillofac Implants 2003 Jul-Aug; 18(4):489-99.
12. Gapski R, Wang HL, Mascarenhas P, Lang NP. Critical review of immediate implant loading. Clin Oral Implants Res. 2003 Oct; 14(5): 515-27.
13. Celenza F. e Coli. Absolute anchorage in orthodontics: direct and indirect implant assisted modalities. JCO 2000; XXXIV(7).
14. Romanos GE, Toh CG, Siar CH, Wicht H, Yacoob H, Nentwig GR. Bone-implant interface around titanium implants under different loading conditions: a histomorphometrical analysis in the Macaca fascicularis monkey. Periodontol 2003 Oct; 74(10): 1483-90.
15. Rocci A, Martagoni M, Burgos PM, Gottlow J, Sennerby L. Histology ofretrieved immediately and early loaded oxidized implants: light microscopic observations after 5 to 9 months of loading in the postenor mandible. Clin Implant Dent Relat Res. 2003; 5 Suppl 1:88-98.
16. Rocci A, Martignoni M, Gottlow J. TiUnite and machined-surface implants in the postenor mandible: a randomized open-ended clinical. Immediate loading of Branemark System. Clin Implant Dent Relat Res. 2003; 5 Suppl 1:57-63.
17. Brunski JB. In vivo bone response to biomechanical loading at the bone/dental-implant interface. Adv Dent Res 1999 Jun; 13:99-119.
18. Laino A, Melsen B. Orthodontic Treatment of a patient with multidisciplinary problems. Am. J Orthod. Dentofac. Orthop. 1997; 111:141-8.
19. Willems G, Carels C, Naert I, Van Steenberghe. Interdisciplinary treatment planning for orthodontic-prosthetic implant anchorage in a partially edentulous patient. Clin Oral Res. 1999; 331-337.
20. Huang L, Shotweii J, Wang H. Dental Implants for orthodontic anchorage. Am. J. Orthod. Dentofac. Orthop. 2005; 127:713-22.
21. Costa A, Raffaini M, Melsen B. Miniscrews as orthodontic anchorage: A preliminary report. Int J Adult Orthod. Orthogn. Surg. 1998.
22. Deguchi T, Takano-Yamamoto T, Kanomi R, Hartsfield JK Jr, Roberts WE, Garetto LP. The use of small titanium screws for orthodontic anchorage. J. Dent. Res. 2003.



