Autori
Alessandro Fava
Si laurea con lode e menzione d’onore in Odontoiatria e protesi dentaria presso l’Università di Parma nel 2001.
Nel 2016 ottiene la qualifica di socio attivo AIE (Accademia Italiana di Endodonzia).
Relatore a congressi nazionali ed internazionali e ai moduli Continuing Education Base ed Avanzato dell’Accademia Italiana di Endodonzia dal 2018.
È relatore e creatore del video corso “Endodonzia: dalla diagnosi al successo”. È relatore di corsi teorico pratici di tema endodontico dal 2017.
Svolge la libera professione tra le province di Parma, Mantova e Piacenza.
Si dedica prevalentemente all’endodonzia e all’odontoiatria conservativa.
Corrispondenza: alessandrofava@af-endo.it
Abstract
In ogni trattamento endodontico l’esecuzione di una corretta cavità d’accesso permette di procedere alle successive fasi (ricerca dei canali, sondaggio manuale e meccanico, sagomatura, irrigazione e otturazione) riducendo le difficoltà e i tempi operativi. Attenersi alle regole anatomiche e alle conoscenze acquisite è fondamentale.
Tuttavia, i casi complessi, come ad esempio i denti calcificati, possono nascondere insidie e rappresentare un passaggio difficile da portare a termine.
L’introduzione di tre semplici regole cliniche (regola del diamante, regola dell’opalescenza e translucenza, regola della polvere dentinale) può agevolare il completamento della cavità d’accesso e la ricerca dei canali proprio quando le difficoltà aumentano.
Endodontics complex cases: success starts first when you open the cavity
In every endodontic treatment, a correct access cavity allows one to proceed to the subsequent stages (locating the canals, manual and mechanical scouting, shaping, irrigation, and filling) reducing the difficulties and operating times.
The respect for anatomical rules and the knowledge acquired are fundamental.
However, complex cases like calcified teeth can hide pitfalls and represent a difficult step to fulfill.
The introduction of three simple clinical rules (the diamond rule, the opalescence and translucency rule, and the dentinal powder rule) can simplify the completion of the access cavity and the search for canals precisely when the difficulties increase.
Le regole per eseguire una corretta cavità d’accesso sono ormai conosciute, ma spesso nei casi di denti calcificati l’operatore incontra difficoltà e le proprie conoscenze possono non essere sufficienti per completare questo delicato passaggio senza errori. L’utilizzo di dispositivi strategici dedicati e l’introduzione di tre regole aggiuntive a quelle note possono risolvere questi frequenti problemi affrontati nella quotidianità.
L’importanza della cavità di accesso
La cavità d’accesso rappresenta la prima fase operativa di ogni trattamento endodontico e riveste un ruolo fondamentale nel determinare la corretta localizzazione degli orifizi canalari, il sondaggio manuale, la corretta sagomatura, detersione ed otturazione. Consiste nel creare una via di accesso intra coronale di forma, dimensioni e posizione ben definite capace di influenzare in modo significativo ogni passaggio successivo.
La prognosi di un trattamento endodontico dipende in gran parte da un’esecuzione appropriata della cavità di accesso1-3.
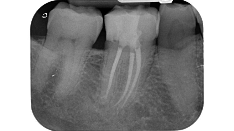
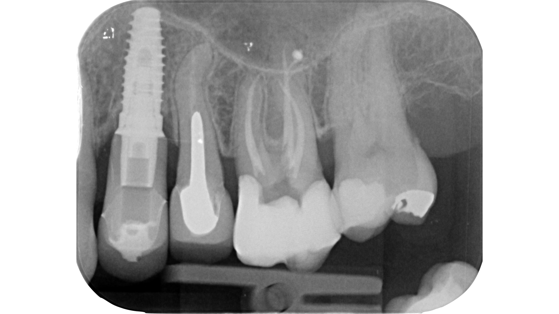
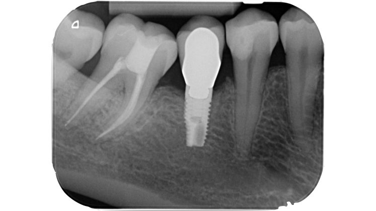
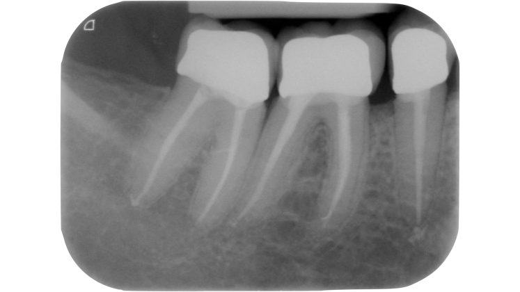
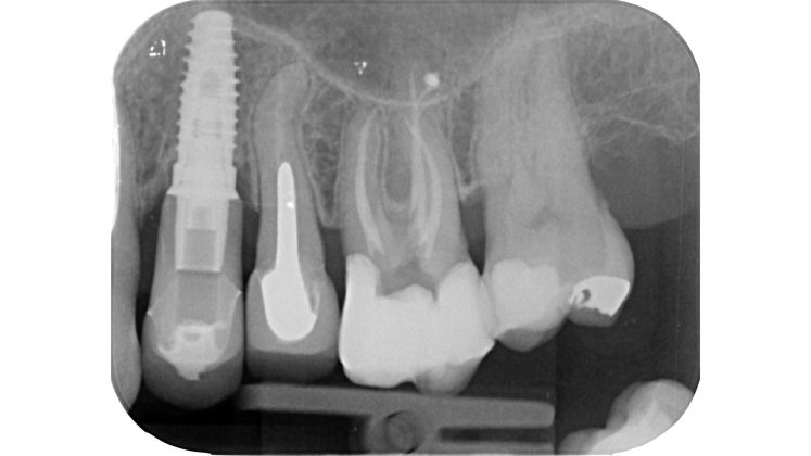
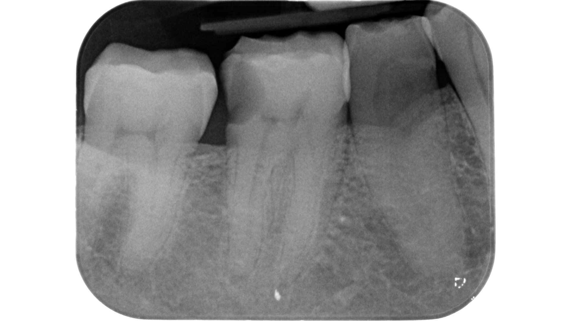
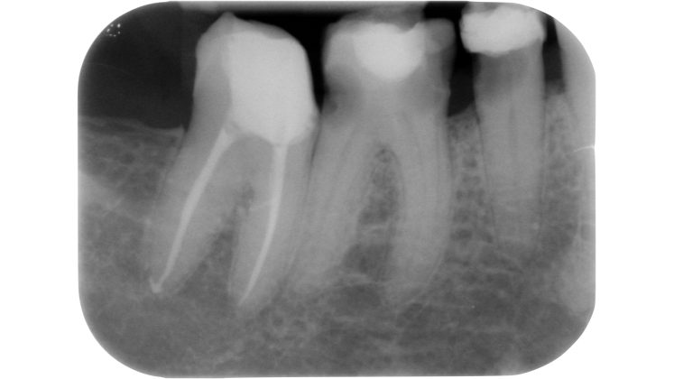
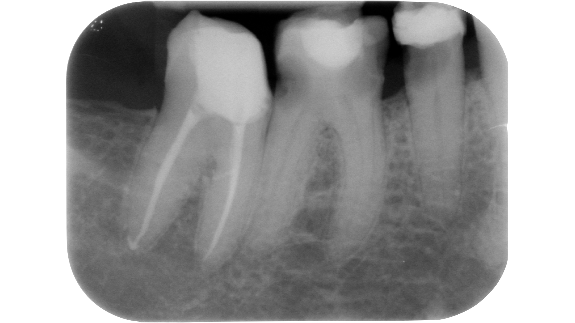
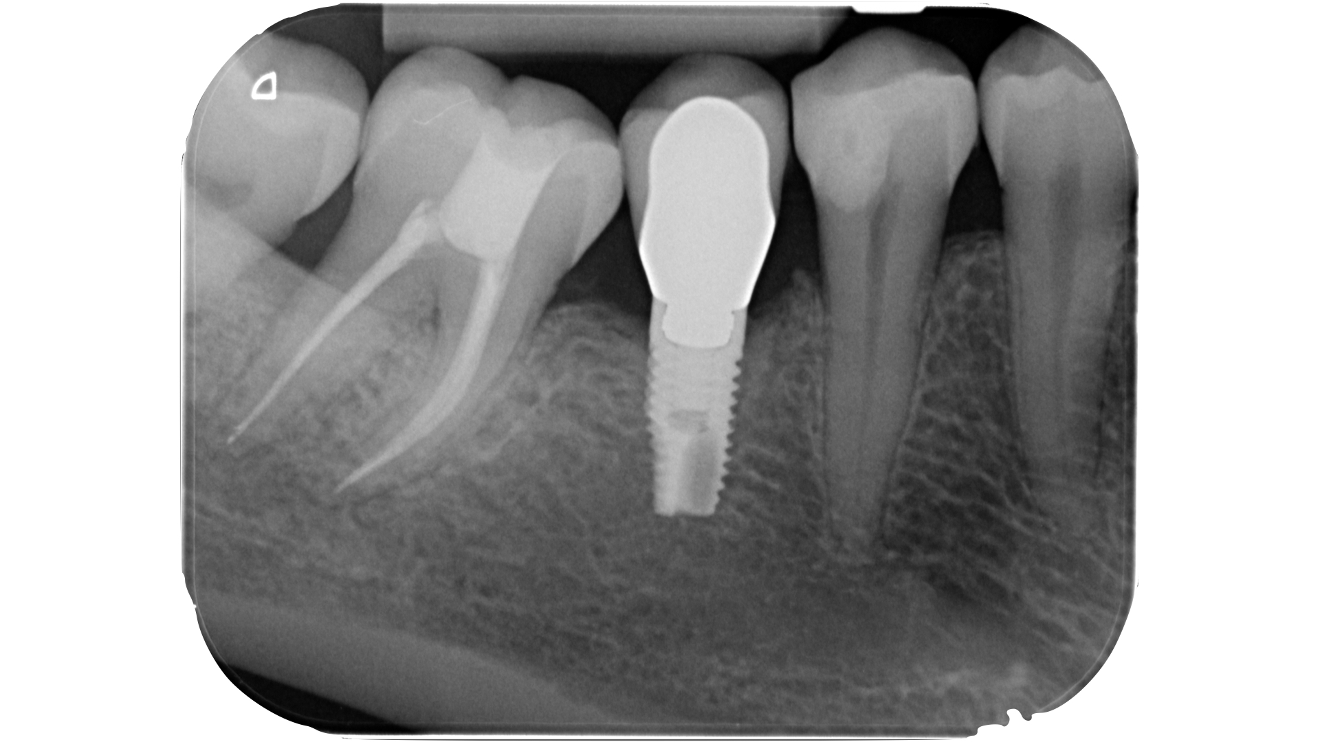
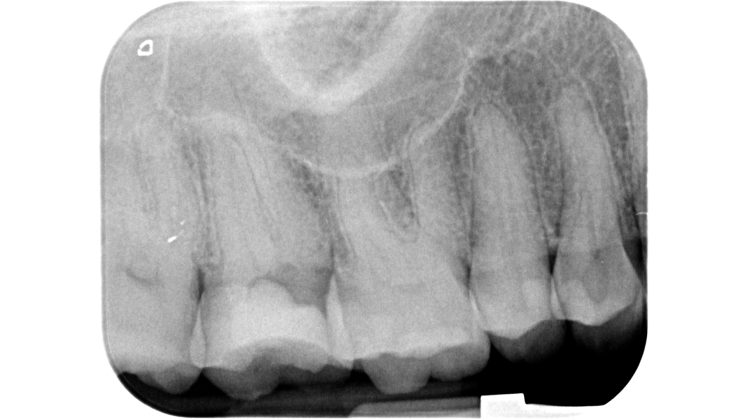
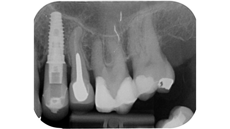
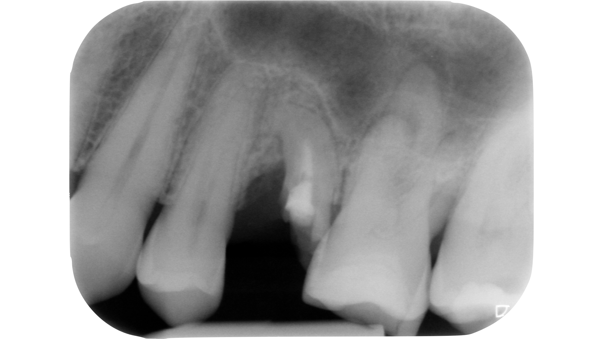
Una cavità d’accesso inadeguata per posizione, profondità ed estensione può determinare serie difficoltà nelle fasi successive, rendendo ad esempio difficile la localizzazione degli orifizi canalari, sottoponendo a eccessivo stress gli strumenti meccanici utilizzati o determinando un indebolimento della struttura dentale residua (Figure 1-5).
Se in passato si tendeva a sottolineare l’importanza di una cavità d'accesso ampia tale da permettere l’inserimento degli strumenti manuali e meccanici in asse con l’andamento del canale, negli ultimi tempi si è assistito alla proposta di cavità d’accesso minimali definite in vario modo (ultra conservative, “ninja”, “trousse”, eccetera).
Nel primo caso l’esigenza era dettata soprattutto dal fatto che non venivano utilizzati per la sagomatura meccanica dei canali strumenti in lega nichel titanio con le ben note caratteristiche di super elasticità e flessibilità: rendere l’accesso il più rettilineo possibile al canale avrebbe quindi determinato un minore stress a carico degli strumenti stessi e maggiore visibilità per l’operatore.
Il giusto equilibrio nell’approccio conservativo
Cavità di questo tipo risulterebbero oggi anacronistiche, proprio perché l’evoluzione dei materiali consente un approccio più conservativo (minore asportazione di tessuto dentale): in particolare gli strumenti in nichel titanio classici (austenitici) e ancora di più quelli trattati termicamente (martensitici) caratterizzati da elevata flessibilità e resistenza alla fatica ciclica sono in grado di tollerare assi di inserimento nei canali che si discostano dalle regole di un tempo. Tuttavia, un approccio ultra conservativo può risultare particolarmente pericoloso a causa della ridotta visibilità del sistema canalare e dell’eccessivo stress a cui gli strumenti pur flessibili vengono sottoposti: tutto questo senza riscontrare benefici sostanziali in termini di successo della terapia endodontica e di resistenza della struttura dentale residua4-5. Per queste fondamentali ragioni l’esecuzione di tali tipologie di cavità d’accesso rappresenta un’acrobazia che espone paziente ed operatore a una serie di incalcolabili rischi, non ultimo l’impossibilità di ottenere una corretta detersione chimica del sistema canalare.
L’orientamento attuale consiste nel cercare di eseguire una cavità di accesso conservativa ed essenziale, tale da consentire buona visibilità all’interno della camera pulpare e buone condizioni per poter sagomare, irrigare e otturare il sistema canalare.
Primo step: valutazione clinica e radiografica
L’esecuzione di una corretta cavità d’accesso trae origine innanzitutto da una preliminare valutazione clinica e radiografica dell’elemento da trattare.
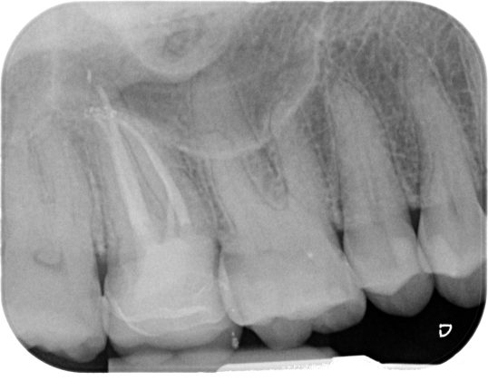
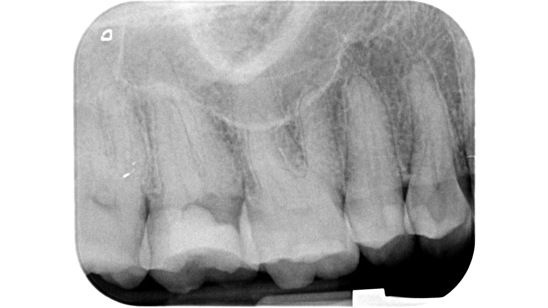
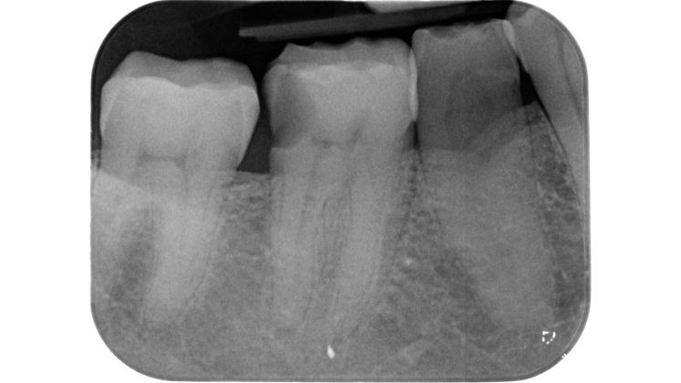
Devono essere valutate con molta attenzione la posizione dell’elemento in arcata e la sua inclinazione (Figure 6-7), l’entità e la posizione del processo carioso se presente, gli eventuali restauri posizionati sul dente e i rapporti con il parodonto: tutte queste considerazioni permetteranno al clinico di capire innanzitutto la mantenibilità e la possibilità di isolare mediante diga di gomma il dente. L’interpretazione degli esami radiografici consentirà inoltre di valutare alcuni parametri preoperatori di notevole importanza:
- qualità dei restauri posizionati sull’elemento dentale ed eventuali infiltrazioni secondarie;
- presenza di radiotrasparenze periradicolari o periapicali;
- difetti ossei di origine parodontale;
- aspetto della camera pulpare e del sistema canalare;
- anatomia radicolare e canalare;
- presenza di pregresse terapie canalari e valutazione della qualità delle stesse;
- presenza o sospetto di riassorbimenti interni o esterni;
- presenza o sospetto di perforazioni e fratture.
Un’attenta analisi di questi dati clinici e radiografici consentirà al clinico di ridurre notevolmente il rischio di errori grossolani in questa delicata fase del trattamento.
Lo strumentario minimo che un operatore dovrebbe avere a disposizione per eseguire una terapia canalare è rappresentato da un sistema di ingrandimento e una contestuale sorgente luminosa coassiale: questi dispositivi consentono di poter gestire anche situazioni cliniche complesse (es. calcificazioni, importanti discromie, esplorazione di incrinature che si approfondiscono all’interno della camera pulpare). L’utilizzo del microscopio operatorio garantisce un ulteriore passo in avanti tale da aumentare la predicibilità del trattamento, ma ad oggi è ancora uno strumento utilizzato da pochi professionisti ed in particolare da chi si dedica a questa branca in modo specialistico.
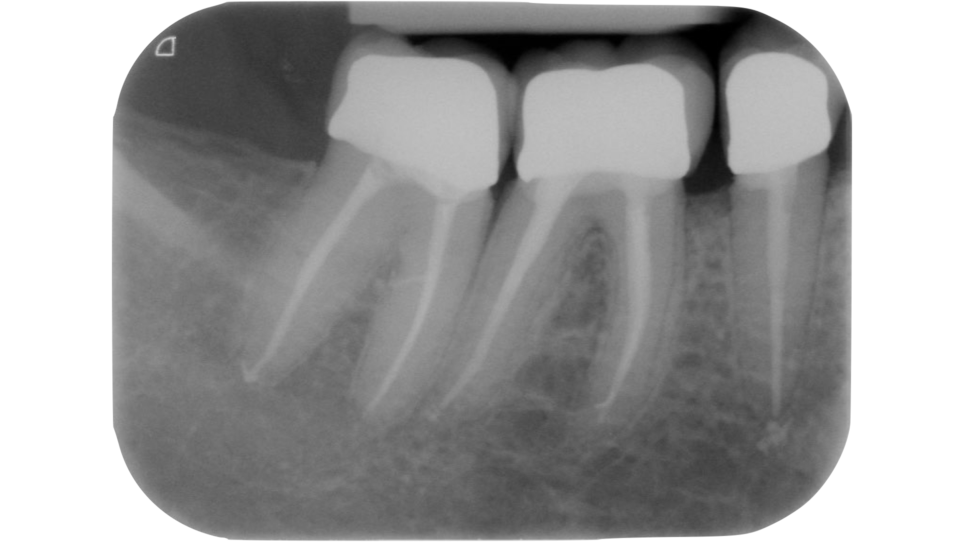
Diagnosi restaurativa e ricostruzione Pre-endodontica
Prima di concentrarsi sull’esecuzione della cavità di accesso, la rimozione di tutto il tessuto cariato presente e dei restauri incongrui permette di eseguire un’attenta analisi della struttura dentale residua (diagnosi restaurativa) e di evitare una contaminazione del sistema canalare durante il trattamento6.
La diagnosi restaurativa che ne consegue passa attraverso l’individuazione di incrinature, fratture, carie secondarie, valutazione della sostanza dentale residua: tutti fattori che possono ancora una volta influenzare la prognosi dell’elemento.
La detersione della cavità rende possibile, se necessario, l’esecuzione di una ricostruzione pre endodontica che permette un facile isolamento mediante diga di gomma. Eseguire una ricostruzione pre endodontica definitiva (quando si ha la possibilità di isolare correttamente il margine cervicale e raggiungere i requisiti di un’ottima adesione al tessuto dentale) renderà il trattamento più agevole e ridurrà il rischio di contaminazione.
Il tempo necessario per completarla viene operativamente recuperato in fase di ricostruzione postendodontica avendo già definito il perimetro del nostro restauro (Figure 8-12).
Preparazione della cavità di accesso
Le fasi operative della preparazione della cavità d’accesso possono essere distinte in questo modo:
- fase di penetrazione e disegno;
- fase di localizzazione degli orifizi;
- fase di rifinitura;
La prima fase è strategica e propedeutica per portare a termine anche le successive e iniziare così la sagomatura canalare.
Il disegno cavitario deve permettere innanzitutto la rimozione del contenuto della camera pulpare: un’incompleta asportazione del tetto camerale o di parte del tessuto pulpare camerale (es. cornetti pulpari) può mettere a rischio il successo del trattamento.
Deve poi consentire la visibilità completa del pavimento della camera pulpare e degli orifizi canalari.
La fase di localizzazione degli orifizi è il passaggio successivo rispetto al disegno cavitario e nei denti calcificati può essere molto indaginoso: è il momento in cui gli strumenti rotanti diamantati devono essere messi da parte e bisogna affidarsi a una serie di dispositivi dedicati.
La fase di rifinitura non sempre è contemplata: le prime due possono essere sufficienti. Talvolta si può ricorrere a un ulteriore allargamento di alcune porzioni della cavità d’accesso per semplificare il sondaggio e la sagomatura: tipicamente la fresa di Batt (troncoconica a testa arrotondata non lavorante) viene utilizzata a questo scopo, ma ci si può affidare anche ad inserti dedicati sonici o ultrasonici.
9 regole per l’esecuzione di una corretta cavità di accesso
Alcune regole generali aiutano nell’esecuzione di una corretta cavità d’accesso: tra queste vanno ricordate quelle dettate da Krasner e Rankow7 in un articolo del 2004 con importanti risvolti clinici, il cui rispetto consente anche all’operatore di evitare gravi errori in questa fase. In questa pubblicazione vengono elencate nove regole:
1) la legge della centralità sottolinea la centralità della camera pulpare rispetto al perimetro della corona a livello della giunzione amelo cementizia (GAC);
2) la legge della concentricità sottolinea come le pareti della camera pulpare siano sempre concentriche rispetto alla superficie esterna della corona a livello della GAC;
3) la legge della giunzione amelo cementizia afferma che a livello di questa linea di riferimento la camera pulpare è posizionata al centro ed è concentrica alla superficie esterna del dente, riassumendo pertanto le due leggi precedenti;
4) la legge del cambio di colore afferma che il pavimento della camera pulpare è sempre più scuro rispetto alle pareti ad esso adiacenti;
5) la prima legge della simmetria ci dice che gli imbocchi canalari sono equidistanti da un’ideale linea tracciata in direzione mesio distale che attraversi il centro del pavimento (fanno eccezione i molari superiori);
6) la seconda legge della simmetria stabilisce che gli orifizi canalari siano perpendicolari ad una ideale linea disegnata in direzione mesio distale che passi per il centro del pavimento (fanno eccezione i molari superiori);
7) la prima legge degli orifizi canalari afferma che gli imbocchi sono sempre posizionati al passaggio tra parete della camera pulpare e il suo pavimento;
8) la seconda legge degli orifizi canalari afferma che gli imbocchi sono posizionati agli angoli della giunzione tra pavimento e pareti;
9) la terza legge degli orifizi canalari afferma che gli imbocchi sono sempre al termine dei solchi di sviluppo radicolari presenti sul pavimento.
Tra queste, alcune assumono un rilievo clinico fondamentale.
Ad esempio, in condizioni di maggiore difficoltà come può essere il caso dell’apertura di un elemento dentario preparato protesicamente, dove i classici punti di riferimento sono persi, la conoscenza delle prime tre leggi ci consente di tracciare una cavità d’accesso che segua il perimetro del dente e di cercare gli orifizi all’interno di quest’area.
Da un punto di vista embriogenetico la corona dentale è la proiezione dello sviluppo del tessuto pulpare.
Clinicamente la legge del cambio di colore è di grande aiuto in presenza di canali calcificati: l’operatore può costantemente distinguere le pareti della camera pulpare più chiare dal pavimento più scuro e quindi cercare in quest’ultima zona gli orifizi. Questa caratteristica, in alcuni casi molto evidente e in altri più attenuata, è costante e costituisce una guida durante l’esplorazione.
Allo scopo di facilitare l’apertura della cavità d’accesso e il reperimento dei canali vogliamo descrivere in questo lavoro tre regole aggiuntive di carattere strettamente clinico-operativo che possono ottimizzarne l’esecuzione, rendendola sempre più prevedibile e ripetibile:
- la regola del diamante;
- la regola dell’opalescenza e della traslucenza;
- la regola della polvere dentinale.
La regola del diamante
La regola del diamante si riferisce all’utilizzo di una determinata tipologia di fresa diamantata per l’esecuzione della fase di penetrazione in particolare per i molari superiori e inferiori.
Deutsch8-9 ci fornisce delle misure morfologiche sulla relazione tra superficie occlusale, altezza, tetto e pavimento della camera nei pluriradicolati, GAC.
In questi elementi il tetto della camera pulpare si trova in corrispondenza della giunzione amelo cementizia.
Nei molari la distanza tra la sommità di qualsiasi cuspide e il tetto della camera pulpare è di circa 6,3 mm, nei premolari superiori è di 6,94 mm.
La camera pulpare ha un’altezza di circa 1,5-2 mm e la distanza media dal pavimento della camera alla forca è di 3 mm circa (Tabella 1) (Figura 13).

Queste regole, che sono poi state confermate da una più recente pubblicazione grazie all’analisi microCT dei campioni analizzati10, assumono un valore di notevole rilievo e forniscono all’operatore nozioni di base per evitare errori e approcciare in modo razionale e prevedibile ogni terapia canalare.
Spesso si consiglia, ad esempio per i molari, di iniziare la fase di penetrazione con una pallina a partire dal centro del tavolato occlusale o in corrispondenza di quello che sembra essere il cornetto pulpare più ampio o evidente a una preliminare analisi radiografica; una volta localizzato, si procede allargandosi ed estendendosi alla ricerca degli altri orifizi.
Avere invece in mente un disegno cavitario geometrico sempre uguale a se stesso a seconda del dente da affrontare e indipendente dalla presenza di calcificazioni garantisce un approccio ripetibile e sicuro perché guidato da punti di riferimento dettati dall’anatomia pulpare.
Ogni operatore ha normalmente delle preferenze dettate dal proprio percorso e dall’esperienza: come suggerito da Berutti e Castellucci11 utilizzare una fresa cilindrica a testa arrotondata, il cui disegno consente sia nei mono che nei pluriradicolati di praticare un accesso geometrico dettato dalla proiezione sulla superficie occlusale del perimetro del pavimento della camera pulpare, facilita molto la fase di penetrazione.
La fresa che ci guida in questo step ha una parte lavorante di 6 mm (Komet 880-314-012) che, ricordando una delle regole di Deutsch, non dovrà penetrare oltre il nostro punto di repere occlusale: diventerebbe alto il rischio di sovra estendere la preparazione e di indebolire se non di perforare il pavimento (Figura 14).
Se gli orifizi non dovessero essere ancora identificabili a causa di calcificazioni l’operatore deve astenersi dal procedere con uno strumento rotante aggressivo e decidere di affidarsi a dispositivi diversi e più delicati nella ricerca (es. apparecchi sonici o ultrasonici, rosette multilama).
La parte diamantata della fresa è la nostra guida, lo stop oltre il quale è sconsigliato procedere nei molari superiori e inferiori.
Un altro motivo che suggerisce di utilizzare una fresa cilindrica a testa arrotondata è la possibilità di tracciare in modo netto, riproducibile e conservativo un disegno cavitario sulla superficie occlusale e contestualmente di approfondirsi in direzione apicale rispettando un asse lineare. La testa arrotondata riduce notevolmente il rischio di lasciare solchi angolati molto netti in prossimità del pavimento pulpare: il disegno risulterà molto più addolcito e saranno evitati inutili sacrifici di tessuto dentale sano.
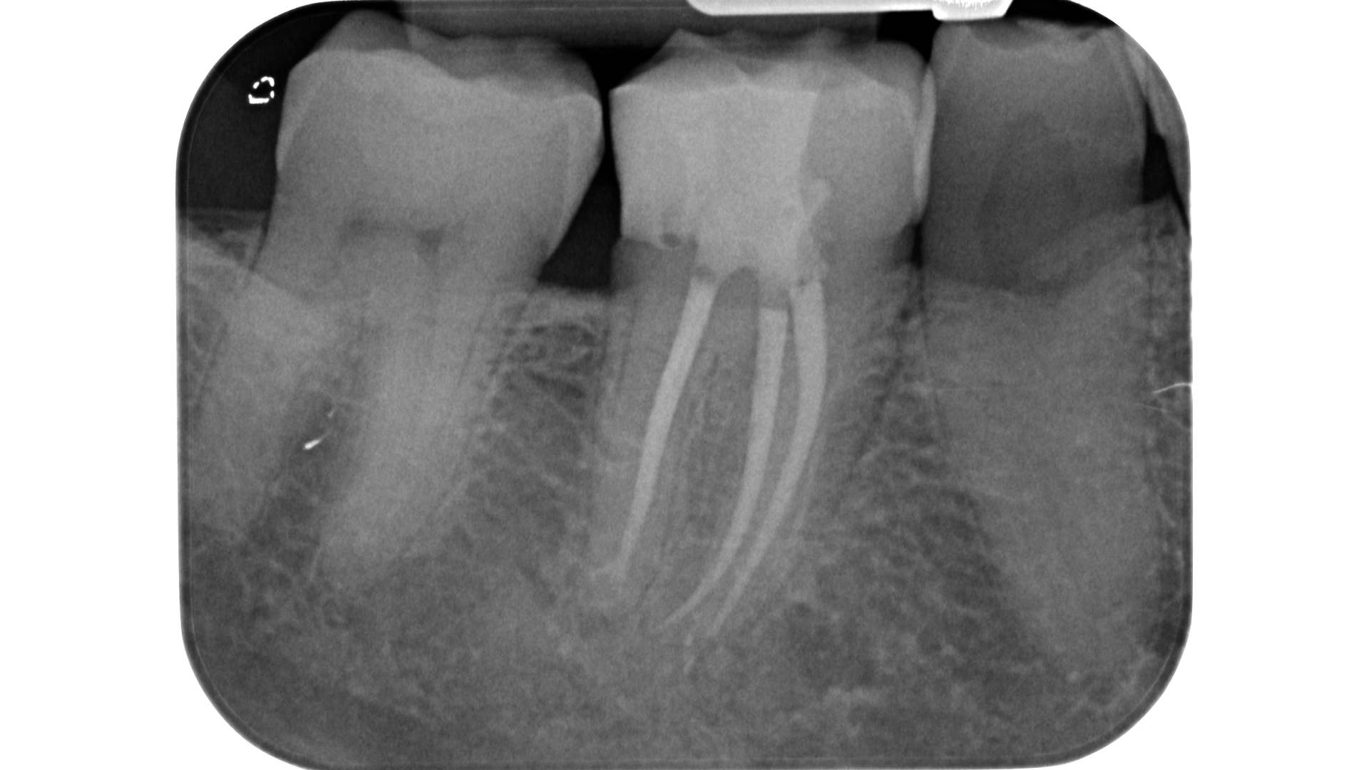
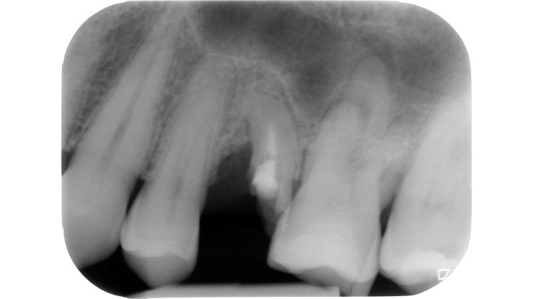
La regola dell’opalescenza e della traslucenza
La regola dell'opalescenza e della traslucenza entra in gioco in casi di calcificazioni camerali, situazioni in cui distinguere il pavimento della camera pulpare dalla presenza di residui calcoli può risultare complesso. Iniziare a sondare con strumenti a mano o meccanici un canale prima di aver rimosso tutte le calcificazioni camerali può determinare diversi rischi: complesso inserimento degli strumenti che sarebbero anche sottoposti a un maggiore stress durante la loro attivazione, disseminazione di frammenti all’interno dei canali che potrebbero ostruirsi a diversi livelli.
In aiuto dell’operatore la differente capacità di riflettere la luce (l’utilizzo di una sorgente luminosa assieme al sistema ingrandente agevola molto nella valutazione) del pavimento rispetto al tessuto calcificato risulta un prezioso riferimento.
Il pavimento della camera pulpare si presenta sempre con un aspetto più scuro ed opaco rispetto al tessuto calcificato che tende ad essere lucido con un effetto che potremmo definire “vetrificato” (Figure 15-20).
Talvolta la differenza è evidente, in altri casi molto più sottile e quindi anche le difficoltà incontrate possono essere maggiori.
Non appena vengono identificati gli orifizi canalari la tentazione alla quale resistere è di provare a sondare immediatamente i canali esponendosi ai sopracitati rischi.
Asciugare la camera pulpare è il primo passaggio da compiere per poter visualizzare in modo netto le differenze.
A seguire l’utilizzo alternato di vari dispositivi a secco a bassi giri permette di distaccare ed eliminare i residui calcificati.
Tra i dispositivi utilizzati possiamo elencare:
- rosette in zirconio;
- rosette a gambo lungo Endotracer (H1SML 006-008-010, Komet);
- inserti sonici ed ultrasonici dedicati;
- escavatori al vanadio.
A seconda delle dimensioni e della localizzazione uno o più di questi dispositivi saranno sufficienti per dislocare e rimuovere i calcoli pulpari. In questa fase è molto utile eseguire lavaggi ripetuti con ipoclorito di sodio a cui far seguire un’accurata asciugatura per poter visualizzare i progressi compiuti e proseguire in modo sempre più preciso.
Lo step successivo, ossia l’esplorazione manuale e meccanica del sistema canalare, potrebbe nei casi più complessi essere impedito a causa dell’ostruzione dell’orifizio. Una calcificazione che si estende più in profondità rispetto al pavimento della camera pulpare può infatti rendere impossibile il sondaggio anche con lo strumento più piccolo a disposizione.
L’ostruzione, se estremamente limitata, può essere bypassata con un file montato su manico (micro-opener 10.04 15.04, Dentsply): questo strumento permette ottima visibilità e sensibilità rispetto ad un classico file manuale (Figure 21-26).
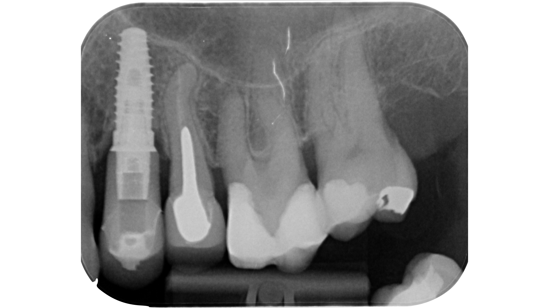
La regola della polvere dentinale
Qualora invece l’ostruzione si estendesse più in profondità, la regola della polvere dentinale può servire come guida per il clinico. Questa regola trae il suo fondamento da una delle leggi di Krasner e Rankow7, quella del cambio di colore.
Il sistema canalare è sempre contenuto in un’area più scura rispetto alle pareti canalari e quindi l’azione di avanzamento è guidata proprio da questo assunto cromatico.
Consumando lentamente dentina in direzione apicale (a secco, a basso numero di giri, raffreddando con la siringa ad aria) pochissimi decimi di millimetro per volta si manterrà la corretta centratura all’interno della radice e si potrà visualizzare ad un certo punto una traccia bianca: non si tratta altro che di polvere dentinale prodotta dall’azione dello strumento rotante che si deposita in maggiore quantità proprio in corrispondenza della traccia dell’orifizio.
Lo strumento ideale per avanzare alla ricerca del canale è ancora una volta Endotracer. Il gambo lungo (disponibile anche nella versione 34 mm, oltre che 31 mm) consente di poter avere sempre controllo visivo sull’avanzamento.
I diametri utilizzati vengono scelti in base alla profondità: via via che si procede apicalmente è necessario ridurre il diametro e anche la velocità di utilizzo, oltre che fare pause di controllo sempre più frequenti.
Questa azione di consumo selettivo della dentina può rendere visualizzabile in tempi molto brevi la traccia “bianca” di polvere depositata sull’orifizio; qualora invece i primi passaggi non avessero reso possibile la localizzazione è opportuno alternare irrigazione con ipoclorito di sodio e asciugatura per poi ripartire con un nuovo ciclo di escavazione (Figure 27-33).
Una volta localizzata la traccia del canale è necessario cercare di sondarlo anche per pochi millimetri con un micro opener o un K file di piccole dimensioni 06 o 08.
In questa fase di esplorazione va riposta molta attenzione nell’evitare di ostruirsi di nuovo la strada in direzione apicale: questo è possibile grazie a ripetuti lavaggi e alternanza di tentativi di sondaggio manuale senza forzare e affrettare la discesa fino a lunghezza di lavoro. A differenza degli inserti ultrasonici che tendono a creare un invito spesso appuntito in direzione apicale e ad annullare almeno parzialmente le tracce cromatiche, l’utilizzo di strumenti rotanti strategici come Endotracer preserva questi fondamentali punti di riferimento e anzi facilita l’accumulo di detriti dentinali proprio dove c’è una naturale depressione, vale a dire il lume canalare.
L’applicazione delle tre regole descritte consente al clinico, a seconda delle difficoltà del caso trattato, di discernere tra punti di riferimento naturalmente presenti nell’endodonto e di utilizzare dispositivi strategici mirati in modo da portare a termine le fasi di cavità d’accesso e reperimento degli orifizi riducendo al minimo i rischi di false strade o perforazioni.
- Ingle JI, Bakland LK, Baumgartner JC, eds. Endodontics. 6th ed. Hamilton: BC Decker; 2008.
- Hargreaves KM, Cohen S, eds. Cohen’s Pathway of the Pulp. 10th ed. St Louis: Elsevier; 2011.
- Givol N, Rosen E, Taicher S, Tsesis I. Risk management in endodontics. J Endod. 2010 Jun;36(6):982-4. doi: 10.1016/j.joen.2010.03.030. Epub 2010 Apr 24. PMID: 20478450.
- Silva EJNL, Pinto KP, Ferreira CM, Belladonna FG, De-Deus G, Dummer PMH, Versiani MA. Current status on minimal access cavity preparations: a critical analysis and a proposal for a universal nomenclature. Int Endod J. 2020 Dec;53(12):1618-1635. doi: 10.1111/iej.13391. Epub 2020 Sep 18. PMID: 32854167.
- Silva EJNL, Versiani MA, Souza EM, De-Deus G. Minimally invasive access cavities: does size really matter? Int Endod J. 2021 Feb;54(2):153-155. doi: 10.1111/iej.13462. PMID: 33452846.
- Abbott PV. Assessing restored teeth with pulp and periapical diseases for the presence of cracks, caries and marginal breakdown. Aust Dent J. 2004 Mar;49(1):33-9; quiz 45. doi: 10.1111/j.1834-7819.2004.tb00047.x. PMID: 15104132.
- Krasner P, Rankow HJ. Anatomy of the pulp-chamber floor. J Endod. 2004 Jan;30(1):5-16. doi: 10.1097/00004770-200401000-00002. PMID: 14760900.
- Deutsch AS, Musikant BL. Morphological measurements of anatomic landmarks in human maxillary and mandibular molar pulp chambers. J Endod. 2004 Jun;30(6):388-90. doi: 10.1097/00004770-200406000-00003. PMID: 15167463.
- Deutsch AS, Musikant BL, Gu S, Isidro M. Morphological measurements of anatomic landmarks in pulp chambers of human maxillary furcated bicuspids. J Endod. 2005 Aug;31(8):570-3. doi: 10.1097/01.don.0000152299.78668.7c. PMID: 16044038.
- Azim AA, Azim KA, Deutsch AS, Huang GT. Acquisition of anatomic parameters concerning molar pulp chamber landmarks using cone-beam computed tomography. J Endod. 2014 Sep;40(9):1298-302. doi: 10.1016/j.joen.2014.04.002.
- Castellucci A. Endodonzia Vol 1 Elio Berutti, Arnaldo Castellucci: Cavità d’accesso e anatomia endodontica. Edra 2022; 393-489.




