Controllo dei risultati e scel …
Controllo dei risultati e scelta dei protocolli anche nei casi più complessi di matching del colore
a cura di Davide Battaglia
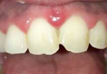
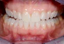
Lo sbiancamento professionale è entrato ormai da molto tempo negli studi odontoiatrici e per questa ragione ha già vissuto diverse “stagioni”. Oggi coesistono più alternative terapeutiche, che permettono di scegliere per ciascuna condizione la tecnica e gli strumenti più adeguati.
Questo contenuto è riservato agli abbonati a Il Dentista Moderno.
Abbonati e continua a leggere su DM Club, l'area premium de Il Dentista Moderno
Sei già abbonato? Effettua il login e leggi l’articolo completo.



