Autori

Giulio Arnaboldi

Giulio Arnaboldi
Odontoiatra libero professionista a Colverde, Como, Sesto San Giovanni, Somma Lombardo, Mendrisio

Corrispondenza: giulio.arnaboldi@outlook.com

Riassorbimento cervicale esterno
- Ultima modifica: 2026-03-17T15:47:54+01:00
da Paola Brambilla

Il riassorbimento cervicale esterno di un elemento 22 in questo case report viene gestito mediante tecnica chirurgica e conservativa. Questi interventi hanno reso possibile il mantenimento della vitalità, come conferma il follow-up effettuato a due anni di distanza

Il riassorbimento cervicale esterno è una patologia relativamente rara dalla prognosi spesso infausta, caratterizzata dalla perdita ingravescente di tessuto dentale (1).
Segni e sintomi sono inizialmente lievi e questo rende la patologia sovente diagnosticata tardivamente. L'eziopatogenesi del riassorbimento cervicale esterno è tuttora non completamente chiarita, pertanto viene considerata una patologia idiopatica associata a diversi fattori di rischio (2).
In assenza di trattamento, essendo la patologia a carattere distruttivo (3), la perdita dell’elemento è certa.
L’obiettivo della terapia deve essere orientato, quando ancora possibile, al mantenimento dell’elemento dentale impiegando le moderne tecniche dell’odontoiatria, sovente in azione congiunta.
Nella gestione di questi complessi casi sono state impiegate diverse tecniche (4). È spesso necessario, per l’operatore, avere una buona conoscenza della disciplina chirurgica sommata a un’adeguata competenza in conservativa e in endodonzia.
A differenza delle più diffuse carie, la prognosi degli elementi trattati per riassorbimento cervicale esterno è alquanto incerta qualsiasi sia la tecnica impiegata, richiedendo pertanto un attento follow-up nel tempo (5).

Materiali e metodi

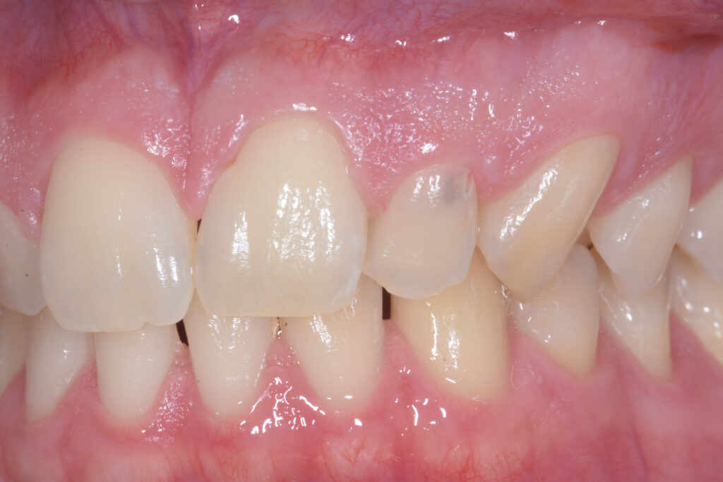
Il paziente si rivolge alla nostra attenzione lamentando un lieve inestetismo a carico dell’elemento 22 (Figura 1). Dopo la diagnosi, in questo caso prettamente clinica essendo la lesione vestibolare, viene proposto il trattamento congiunto chirurgico-conservativo come primo approccio, con l’obiettivo di mantenere per quanto possibile la vitalità dell’elemento dentale.

Riassorbimento cervicale esterno

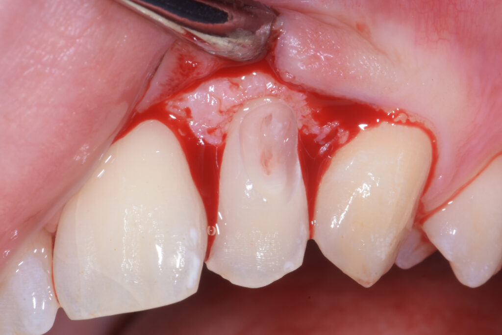
Previa anestesia plessica si esegue un lembo con incisione intrasulculare e scollamento sottoperiostale allo scopo di rendere visibile la reale estensione del danno (Figura 2).

Riassorbimento cervicale esterno

La pulizia della lesione viene eseguita con l’impiego di una pallina diamantata su manipolo rosso e di una rosetta in carburo di tungsteno su manipolo blu (Figura 3).

Riassorbimento cervicale esterno

Al termine di quest’ultima fase, l’elemento viene isolato con diga di gomma mediante la tecnica dell’uncino accessorio (Figura 4).

Riassorbimento cervicale esterno

Previa mordenzatura con acido ortofosforico 37% Gel Etchant (Kerr) si esegue l’adesione con il sistema adesivo Optibond FL (Kerr).

Effettuata l’adesione si procede con il posizionamento di circa 0,5mm di Venus Flow (Kultzer) seguiti da una stratificazione mediante il composito Enamel Plus Hri (Micerium) (Figura 5).

Rimossa la diga, si procede con la lucidatura del complesso restauro-dente mediante frese carborundum e gommini di durezza decrescente. Viene eseguita la radiografia intraoperatoria a lembo aperto (Figura 6).

 

Si posizionano due punti di sutura in seta 3/0 “a materassaio” verticale al fine di mantenere le papille in sede durante il processo di guarigione.

Nelle due settimane successive all’intervento, il paziente ha ricevuto indicazione di usare collutorio a base di Clorexidina 0,2% 3 volte/die e sono stati prescritti FANS per la gestione del dolore postoperatorio.

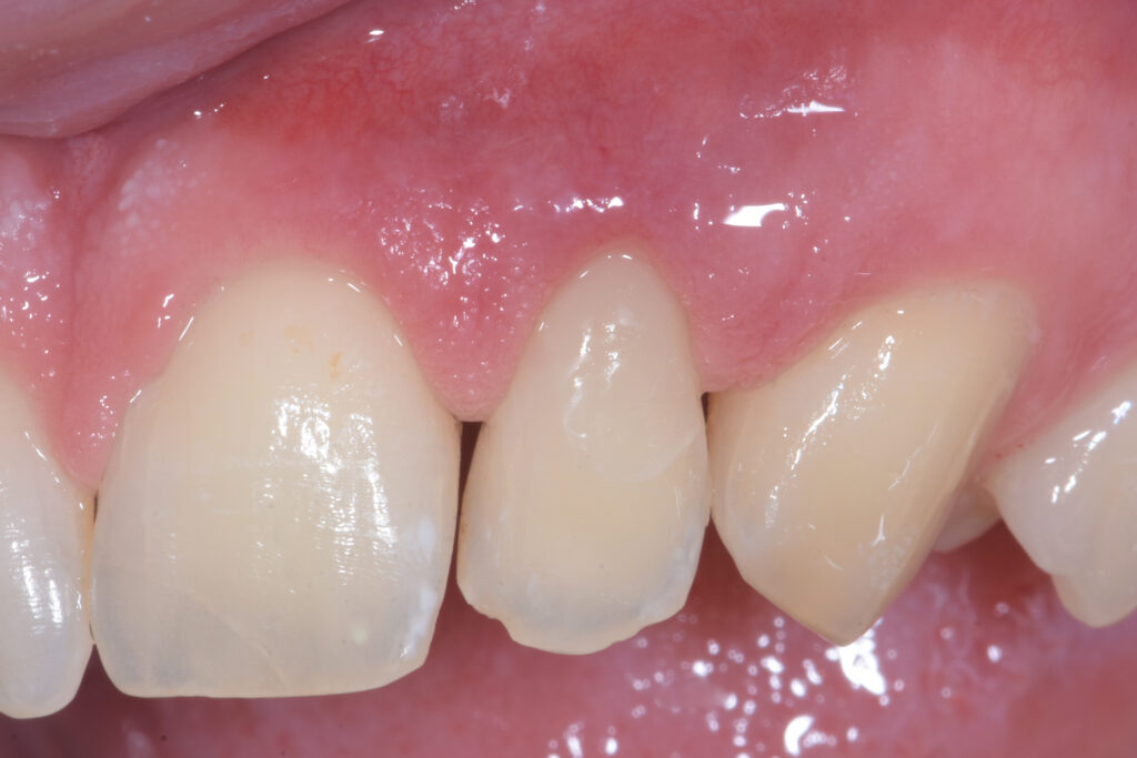
A due settimane dall’intervento, il paziente riferisce una sintomatologia, lieve e concentrata nelle 48 successive, imputabile alla ferita; la guarigione è ottimale e vengono rimosse le suture (Figura 7). Non sono insorte algie dentali né spontanee né esacerbate dalla stimolazione freddo/caldo. Viene impostato il calendario di follow-up clinico-radiografici con appuntamenti a sei mesi, un anno e due anni.

Riassorbimento cervicale esterno

Risultati

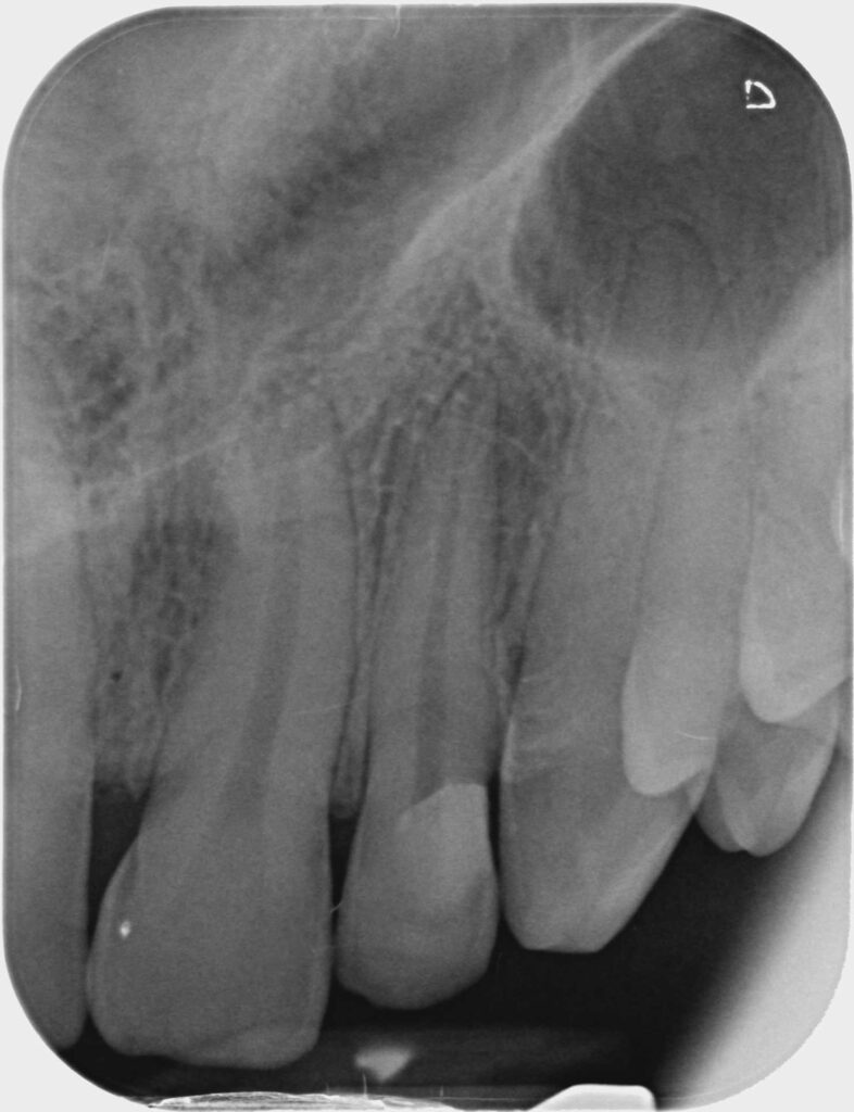
A distanza di due anni, l’elemento risulta ancora positivo ai test di vitalità e il parodonto è in completa salute (Figura 8). Non è insorta alcuna sintomatologia algica a carico dell’elemento. In ogni caso, si ritiene opportuno mantenere controlli periodici futuri per intercettare possibili recidive.

Riassorbimento cervicale esterno

Discussione

Nel trattamento dei riassorbimenti cervicali è opportuno adottare i principi dell’odontoiatria conservativa avendo come priorità il mantenimento dell’elemento e, quando possibile, la preservazione della sua vitalità. Il corretto isolamento del campo e l’adeguato utilizzo delle tecniche adesive consentono di ridurre al minimo la sensibilità postoperatoria e la necessità di eseguire una terapia canalare con particolare riferimento ai casi dove non è presente destruenza. L’accesso chirurgico è spesso necessario sia per poter completare un corretto isolamento sia per ottenere una completa pulizia di queste lesioni.

Conclusioni

La tecnica impiegata in questo e in altri casi simili gestiti ha consentito di ottenere un successo clinico duraturo. Si ritiene ragionevole, nella gestione dei riassorbimenti cervicali, mantenere una cadenza di follow-up regolari nel tempo, in quanto il rischio di recidiva è ampiamente noto (5).

 

Bibliografia
  1. Chen Y, Huang Y, Deng X. A review of external cervical resorption. J Endod. 2021;47(6):883-894. doi:10.1016/j.joen.2021.03.004
  2. Irinakis E, Aleksejuniene J, Shen S, Haapasalo M. External cervical resorption: a retrospective case-control study. J Endod. 2020;46(10):1420-1427. doi:10.1016/j.joen.2020.05.021
  3. Nosrat A, Dianat O, Verma P, Levin MD, Price JB, Aminoshariae A, Piola Rizzante FA. External cervical resorption: a volumetric analysis on evolution of defects over time. J Endod. 2023;49(1):36-44. doi:10.1016/j.joen.2022.10.010
  4. Bardini G, Orrù C, Ideo F, Nagendrababu V, Dummer PMH, Cotti E. Clinical management of external cervical resorption: a systematic review. Aust Endod J. 2023;49(3):769-787. doi:10.1111/aej.12794
  5. Sousa J, Azevêdo AB, Santos R, Silva M, Farias Z, Sobral AP. Survival of teeth with external cervical resorption after internal and external repair: a systematic review. J Clin Exp Dent. 2024;16(12):e1555-e1563. doi:10.4317/jced.62050

 

[paperlit_lastnumber id=”prj_5c6d8cea0db39″]

Abbonati a Il Dentista Moderno

Riassorbimento cervicale esterno - Ultima modifica: 2026-03-17T15:47:54+01:00 da Paola Brambilla
Riassorbimento cervicale esterno - Ultima modifica: 2026-03-17T15:47:54+01:00 da Paola Brambilla